• 文献检索
  • 文档翻译
  • 深度研究
  • 学术资讯
  • Suppr Zotero 插件Zotero 插件
  • 邀请有礼
  • 套餐&价格
  • 历史记录
应用&插件
Suppr Zotero 插件Zotero 插件浏览器插件Mac 客户端Windows 客户端微信小程序
定价
高级版会员购买积分包购买API积分包
服务
文献检索文档翻译深度研究API 文档MCP 服务
关于我们
关于 Suppr公司介绍联系我们用户协议隐私条款
关注我们

Suppr 超能文献

核心技术专利:CN118964589B侵权必究
粤ICP备2023148730 号-1Suppr @ 2026

文献检索

告别复杂PubMed语法,用中文像聊天一样搜索,搜遍4000万医学文献。AI智能推荐,让科研检索更轻松。

立即免费搜索

文件翻译

保留排版,准确专业,支持PDF/Word/PPT等文件格式,支持 12+语言互译。

免费翻译文档

深度研究

AI帮你快速写综述,25分钟生成高质量综述,智能提取关键信息,辅助科研写作。

立即免费体验

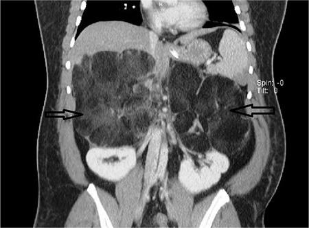
Giant Bilateral Adrenal Myelolipoma.

作者信息

Gupta Sushilkumar Satish, Kupfer Yizhak

机构信息

Department of Medicine, Maimonides Medical Center, New York, USA.

Department of Pulmonary and Critical Care Medicine, Maimonides Medical Center, New York, USA.

出版信息

Balkan Med J. 2017 Sep 29;34(5):476-477. doi: 10.4274/balkanmedj.2016.1749.

DOI:10.4274/balkanmedj.2016.1749
PMID:28990930
原文链接:https://pmc.ncbi.nlm.nih.gov/articles/PMC5635638/
Abstract
摘要
https://cdn.ncbi.nlm.nih.gov/pmc/blobs/2568/5635638/360d4b9e7c1a/BMJ-34-476-g3.jpg
https://cdn.ncbi.nlm.nih.gov/pmc/blobs/2568/5635638/0a45f4ab70a6/BMJ-34-476-g1.jpg
https://cdn.ncbi.nlm.nih.gov/pmc/blobs/2568/5635638/12756300f6b3/BMJ-34-476-g2.jpg
https://cdn.ncbi.nlm.nih.gov/pmc/blobs/2568/5635638/360d4b9e7c1a/BMJ-34-476-g3.jpg
https://cdn.ncbi.nlm.nih.gov/pmc/blobs/2568/5635638/0a45f4ab70a6/BMJ-34-476-g1.jpg
https://cdn.ncbi.nlm.nih.gov/pmc/blobs/2568/5635638/12756300f6b3/BMJ-34-476-g2.jpg
https://cdn.ncbi.nlm.nih.gov/pmc/blobs/2568/5635638/360d4b9e7c1a/BMJ-34-476-g3.jpg

相似文献

1
Giant Bilateral Adrenal Myelolipoma.巨大双侧肾上腺髓脂肪瘤
Balkan Med J. 2017 Sep 29;34(5):476-477. doi: 10.4274/balkanmedj.2016.1749.
2
Image of the month. Adrenal myelolipoma.本月影像。肾上腺髓质脂肪瘤。
Arch Surg. 2011 Dec;146(12):1445-6. doi: 10.1001/archsurg.146.12.1445.
3
[Myelolipoma of the adrenal gland].肾上腺髓质脂肪瘤
Ann Ital Chir. 1999 Jul-Aug;70(4):593-6.
4
[Adrenal myelolipoma: apropos a case with urologic symptomatology. A review of the literature].[肾上腺髓脂肪瘤:关于一例有泌尿系统症状的病例。文献综述]
Actas Urol Esp. 1995 Mar;19(3):243-6.
5
Adrenal Myelolipoma.肾上腺髓质脂肪瘤
Mayo Clin Proc. 2021 Dec;96(12):3186-3187. doi: 10.1016/j.mayocp.2021.10.007.
6
Giant adrenal myelolipoma.巨大肾上腺髓质脂肪瘤。
Indian J Pathol Microbiol. 2010 Apr-Jun;53(2):325-6. doi: 10.4103/0377-4929.64314.
7
[Giant bilateral adrenal myelolipoma associated with congenital adrenal hyperplasia].[巨大双侧肾上腺髓质脂肪瘤合并先天性肾上腺增生]
Zentralbl Chir. 2006 Feb;131(1):80-3. doi: 10.1055/s-2006-921375.
8
Visual vignette. Adrenal myelolipoma.视觉病例。肾上腺髓脂肪瘤。
Endocr Pract. 2006 Jan-Feb;12(1):109. doi: 10.4158/EP.12.1.109.
9
[Laparoscopic treatment of adrenal myelolipoma: case report and review of the literature].[腹腔镜治疗肾上腺髓质脂肪瘤:病例报告及文献复习]
G Chir. 2006 May;27(5):228-31.
10
Adrenal myelolipoma associated with hyperandrogenemia.肾上腺骨髓脂肪瘤伴高雄激素血症。
Int J Urol. 2012 Nov;19(11):1026-8. doi: 10.1111/j.1442-2042.2012.03100.x. Epub 2012 Jul 13.

引用本文的文献

1
Giant Bilateral Adrenal Myelolipoma: Case Report.巨大双侧肾上腺髓质脂肪瘤:病例报告
Indian J Endocrinol Metab. 2020 Nov-Dec;24(6):551-553. doi: 10.4103/ijem.IJEM_737_20. Epub 2021 Jan 12.

本文引用的文献

1
Giant bilateral adrenal myelolipoma with congenital adrenal hyperplasia.巨大双侧肾上腺髓质脂肪瘤伴先天性肾上腺增生。
Case Rep Surg. 2014;2014:728198. doi: 10.1155/2014/728198. Epub 2014 Jul 16.
2
Myelolipomas of both adrenal glands.双侧肾上腺髓质脂肪瘤
Korean J Urol. 2011 Aug;52(8):582-5. doi: 10.4111/kju.2011.52.8.582. Epub 2011 Aug 22.