• 文献检索
  • 文档翻译
  • 深度研究
  • 学术资讯
  • Suppr Zotero 插件Zotero 插件
  • 邀请有礼
  • 套餐&价格
  • 历史记录
应用&插件
Suppr Zotero 插件Zotero 插件浏览器插件Mac 客户端Windows 客户端微信小程序
定价
高级版会员购买积分包购买API积分包
服务
文献检索文档翻译深度研究API 文档MCP 服务
关于我们
关于 Suppr公司介绍联系我们用户协议隐私条款
关注我们

Suppr 超能文献

核心技术专利:CN118964589B侵权必究
粤ICP备2023148730 号-1Suppr @ 2026

文献检索

告别复杂PubMed语法,用中文像聊天一样搜索,搜遍4000万医学文献。AI智能推荐,让科研检索更轻松。

立即免费搜索

文件翻译

保留排版,准确专业,支持PDF/Word/PPT等文件格式,支持 12+语言互译。

免费翻译文档

深度研究

AI帮你快速写综述,25分钟生成高质量综述,智能提取关键信息,辅助科研写作。

立即免费体验

使用空心松质骨螺钉治疗孤立性Hoffa骨折的功能结果

Functional Outcome of Isolated Hoffa Fractures Treated with Cannulated Cancellous Screw.

作者信息

Singh R, Singh R B, Mahendra M

机构信息

Department of Orthopaedics, Sardar Vallabhbhai Patel Hospital, New Delhi, India.

出版信息

Malays Orthop J. 2017 Jul;11(2):20-24. doi: 10.5704/MOJ.1707.016.

DOI:10.5704/MOJ.1707.016
PMID:29021874
原文链接:https://pmc.ncbi.nlm.nih.gov/articles/PMC5630046/
Abstract

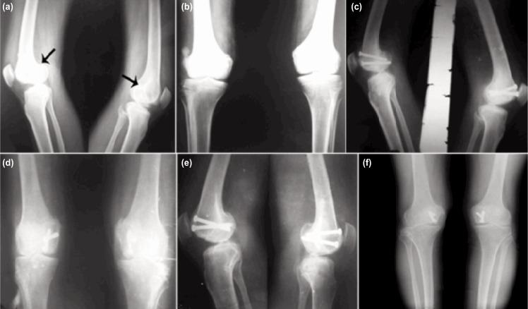
Isolated Hoffa fracture is an infrequent injury and little research has been done on this subject. The purpose of this study was to evaluate the functional outcome and complications of surgically managed Hoffa fractures with cannulated cancellous screw. Between 2011 and 2014, eight isolated Hoffa fractures in seven adult patients with mean age 39.8±11.9 years (range 25-60 years) were managed with cannulated cancellous screw of 6.5mm diameter applied in anterior to posterior direction using swashbuckler and medial parapatellar approach for lateral and medial Hoffa fractures respectively. All patients were evaluated using knee evaluation score after two years or longer. Mean follow up was 28±3.8 months (range 24-36 months). All fractures in the eight patients healed clinicoradiologically by the 16th week with excellent result in 87.5% cases and good in 12.5% cases. By the end of union, the range of motion (ROM) of the knee was 0° to 110° except in two patients. One patient had ROM 10°-100° and other had 15°-90°. Mean knee evaluation score was 87.5±10.4. There was no incidence of non-union, infection or avascular changes in the patients or loss of reduction till final follow up. Open reduction and fixation with two 6.5 mm cannulated cancellous screws with early mobilization yielded good functional outcome in isolated Hoffa fractures.

摘要

孤立性Hoffa骨折是一种罕见的损伤,对此主题的研究较少。本研究的目的是评估采用空心松质骨螺钉手术治疗Hoffa骨折的功能结果和并发症。2011年至2014年期间,对7例成年患者(平均年龄39.8±11.9岁,范围25 - 60岁)的8例孤立性Hoffa骨折进行了治疗,分别采用“海盗”入路和内侧髌旁入路,对外侧和内侧Hoffa骨折从前向后方向应用直径6.5mm的空心松质骨螺钉。所有患者在两年或更长时间后使用膝关节评估评分进行评估。平均随访时间为28±3.8个月(范围24 - 36个月)。8例患者的所有骨折在第16周时临床影像学愈合,87.5%的病例结果优秀,12.5%的病例结果良好。到骨折愈合结束时,除2例患者外,膝关节的活动范围(ROM)为0°至110°。1例患者的ROM为10° - 100°,另1例为15° - 90°。平均膝关节评估评分为87.5±10.4。直至最终随访,患者未发生骨不连、感染或缺血性改变,也没有复位丢失的情况。采用两枚6.5mm空心松质骨螺钉切开复位内固定并早期活动,在孤立性Hoffa骨折中取得了良好的功能结果。

https://cdn.ncbi.nlm.nih.gov/pmc/blobs/fbac/5630046/f678f9bb791c/moj-11-020-f3.jpg
https://cdn.ncbi.nlm.nih.gov/pmc/blobs/fbac/5630046/c69c07258751/moj-11-020-f1.jpg
https://cdn.ncbi.nlm.nih.gov/pmc/blobs/fbac/5630046/1cec589d42a7/moj-11-020-f2.jpg
https://cdn.ncbi.nlm.nih.gov/pmc/blobs/fbac/5630046/f678f9bb791c/moj-11-020-f3.jpg
https://cdn.ncbi.nlm.nih.gov/pmc/blobs/fbac/5630046/c69c07258751/moj-11-020-f1.jpg
https://cdn.ncbi.nlm.nih.gov/pmc/blobs/fbac/5630046/1cec589d42a7/moj-11-020-f2.jpg
https://cdn.ncbi.nlm.nih.gov/pmc/blobs/fbac/5630046/f678f9bb791c/moj-11-020-f3.jpg

相似文献

1
Functional Outcome of Isolated Hoffa Fractures Treated with Cannulated Cancellous Screw.使用空心松质骨螺钉治疗孤立性Hoffa骨折的功能结果
Malays Orthop J. 2017 Jul;11(2):20-24. doi: 10.5704/MOJ.1707.016.
2
Locking Plate Alone or in Combination with Cannulated Screws for Hoffa Fractures: A Retrospective Study.单纯锁定钢板与空心螺钉治疗 Hoffa 骨折:一项回顾性研究。
Orthop Surg. 2022 Mar;14(3):492-500. doi: 10.1111/os.13201. Epub 2022 Jan 30.
3
Analysis of functional outcome of Hoffa fractures: A retrospective review of 32 patients.Hoffa骨折功能预后分析:32例患者的回顾性研究
J Orthop Surg (Hong Kong). 2017 May-Aug;25(2):2309499017718928. doi: 10.1177/2309499017718928.
4
Surgical treatment and rehabilitation of medial Hoffa fracture fixed by locking plate and additional screws: A retrospective cohort study.锁定钢板附加螺钉固定内侧 Hoffa 骨折的手术治疗和康复:一项回顾性队列研究。
Int J Surg. 2015 Jul;19:95-102. doi: 10.1016/j.ijsu.2015.05.027. Epub 2015 May 26.
5
Lateral Buttress Plate Along with Cancellous Screw Fixation for Hoffa Fracture Using Swashbuckler Approach.采用海盗式入路,使用外侧支撑钢板联合松质骨螺钉固定治疗Hoffa骨折
Indian J Orthop. 2021 Jan 2;55(3):780-785. doi: 10.1007/s43465-020-00312-2. eCollection 2021 Jun.
6
The Functional and Radiological Outcome of Hoffa's Fracture Treated With Cannulated Cancellous Screws.空心松质骨螺钉治疗Hoffa骨折的功能及影像学结果
Cureus. 2022 Apr 4;14(4):e23829. doi: 10.7759/cureus.23829. eCollection 2022 Apr.
7
Surgically treated Hoffa Fractures with poor long-term functional results.手术治疗的Hoffa骨折长期功能结果不佳。
Injury. 2018 Feb;49(2):398-403. doi: 10.1016/j.injury.2017.11.026. Epub 2017 Nov 24.
8
Novel approach of plate assisted buttressing in Hoffa fracture.霍法骨折中钢板辅助支撑的新方法。
Chin J Traumatol. 2025 May;28(3):175-180. doi: 10.1016/j.cjtee.2024.02.003. Epub 2024 Feb 27.
9
[Cannulated lag screw combined with lateral supporting plate for treatment of Hoffa fracture of Letenneur type I and type III].空心拉力螺钉联合外侧支撑钢板治疗Letenneur I型和III型Hoffa骨折
Zhongguo Xiu Fu Chong Jian Wai Ke Za Zhi. 2013 Sep;27(9):1050-3.
10
Treatment of the Hoffa fracture of the lateral femoral condyle with cannulated screws in combination with an anti-gliding steel plate, a retrospective observational study.外侧股骨髁 Hoffa 骨折采用空心螺钉联合防滑钢板治疗的回顾性观察研究。
BMC Surg. 2022 Oct 3;22(1):354. doi: 10.1186/s12893-022-01803-9.

引用本文的文献

1
Isolated Double Hoffa Fracture of the Distal Femur without Intercondylar Extension: A Rare Case Report.孤立性股骨远端双Hoffa骨折且无髁间延伸:一例罕见病例报告
J Orthop Case Rep. 2025 Sep;15(9):66-70. doi: 10.13107/jocr.2025.v15.i09.6018.
2
Hoffa fractures are slower to heal than entire condyle fractures of the distal femur: an analysis of type 33B fractures.霍法骨折比股骨远端全髁骨折愈合更慢:33B型骨折的分析
Eur J Orthop Surg Traumatol. 2024 Dec 12;35(1):38. doi: 10.1007/s00590-024-04118-y.
3
Novel approach of plate assisted buttressing in Hoffa fracture.

本文引用的文献

1
Coronal plane partial articular fractures of the distal femoral condyle: current concepts in management.股骨远端冠状面关节内部分骨折:治疗的新概念。
Bone Joint J. 2013 Sep;95-B(9):1165-71. doi: 10.1302/0301-620X.95B9.30656.
2
Conjoint bicondylar Hoffa fracture in an adult.成人双髁联合霍法骨折
Indian J Orthop. 2013 May;47(3):302-6. doi: 10.4103/0019-5413.111509.
3
Surgical treatment of lateral Hoffa fracture with a locking plate through the lateral approach.经外侧入路使用锁定钢板治疗外侧Hoffa骨折
霍法骨折中钢板辅助支撑的新方法。
Chin J Traumatol. 2025 May;28(3):175-180. doi: 10.1016/j.cjtee.2024.02.003. Epub 2024 Feb 27.
4
Bilateral Hoffa Fractures of the Medial Femoral Condyles: A Case Report and Review of the Literature.双侧股骨内侧髁霍法骨折:一例报告并文献复习
J Orthop Case Rep. 2023 Dec;13(12):121-124. doi: 10.13107/jocr.2023.v13.i12.4102.
5
Hoffa fractures are associated with concomitant soft tissue injures and a high postoperative complication rate.Hoffa 骨折常伴有软组织损伤,术后并发症发生率高。
Arch Orthop Trauma Surg. 2024 Feb;144(2):747-754. doi: 10.1007/s00402-023-05133-0. Epub 2023 Dec 13.
6
Busch-Hoffa fracture: A systematic review.Busch-Hoffa 骨折:系统综述。
Medicine (Baltimore). 2023 Dec 1;102(48):e36161. doi: 10.1097/MD.0000000000036161.
7
The Functional and Radiological Outcome of Hoffa's Fracture Treated With Cannulated Cancellous Screws.空心松质骨螺钉治疗Hoffa骨折的功能及影像学结果
Cureus. 2022 Apr 4;14(4):e23829. doi: 10.7759/cureus.23829. eCollection 2022 Apr.
8
A modified anterolateral swashbuckler approach for distal femoral fractures: description and outcomes.改良前外侧劈砍入路治疗股骨远端骨折:描述与结果。
Acta Biomed. 2022 Mar 14;93(1):e2022005. doi: 10.23750/abm.v93i1.12091.
9
Hoffa's fracture in an adolescent treated with an innovative surgical procedure: A case report.采用创新手术方法治疗的青少年霍法骨折:一例报告。
World J Clin Cases. 2022 Feb 6;10(4):1410-1416. doi: 10.12998/wjcc.v10.i4.1410.
10
Locking Plate Alone or in Combination with Cannulated Screws for Hoffa Fractures: A Retrospective Study.单纯锁定钢板与空心螺钉治疗 Hoffa 骨折:一项回顾性研究。
Orthop Surg. 2022 Mar;14(3):492-500. doi: 10.1111/os.13201. Epub 2022 Jan 30.
Eur J Orthop Surg Traumatol. 2014 May;24(4):587-92. doi: 10.1007/s00590-013-1224-z. Epub 2013 Apr 25.
4
Isolated Hoffa fracture of the medial femoral condyle in a skeletally immature patient.一名骨骼未成熟患者的股骨内侧髁孤立性霍法骨折。
Bull NYU Hosp Jt Dis. 2011;69(4):335-8.
5
Conjoint bicondylar Hoffa fracture in a child: a rare variant treated by minimally invasive approach.儿童 Hoffa 骨折合并双侧髁骨折:一种罕见的变异型,采用微创方法治疗。
J Orthop Traumatol. 2011 Jun;12(2):111-4. doi: 10.1007/s10195-011-0133-3. Epub 2011 Apr 21.
6
Hoffa fracture in a 14-year-old.一名14岁患者的霍法骨折。
Orthopedics. 2011 Jan 1;34(2):138. doi: 10.3928/01477447-20101221-30.
7
Bicondylar Hoffa fracture: open reduction internal fixation using the swashbuckler approach.双髁霍法骨折:采用“海盗式”入路切开复位内固定术
J Knee Surg. 2010 Mar;23(1):21-4. doi: 10.1055/s-0030-1262319.
8
A mechanical evaluation of two fixation methods using cancellous screws for coronal fractures of the lateral condyle of the distal femur (OTA type 33B).使用松质骨螺钉对股骨远端外侧髁冠状骨折(OTA 33B型)的两种固定方法的力学评估
J Orthop Trauma. 2006 Apr;20(4):273-6. doi: 10.1097/00005131-200604000-00007.
9
Coronal fractures of the distal femoral condyle: a biomechanical evaluation of four internal fixation constructs.股骨远端髁冠状面骨折:四种内固定结构的生物力学评估
Injury. 2005 Sep;36(9):1103-6. doi: 10.1016/j.injury.2005.02.013.
10
Coronal fractures of the femoral condyle: a brief report of five cases.股骨髁冠状面骨折:5例简要报告
J Orthop Trauma. 2004 May-Jun;18(5):316-9. doi: 10.1097/00005131-200405000-00010.