• 文献检索
  • 文档翻译
  • 深度研究
  • 学术资讯
  • Suppr Zotero 插件Zotero 插件
  • 邀请有礼
  • 套餐&价格
  • 历史记录
应用&插件
Suppr Zotero 插件Zotero 插件浏览器插件Mac 客户端Windows 客户端微信小程序
定价
高级版会员购买积分包购买API积分包
服务
文献检索文档翻译深度研究API 文档MCP 服务
关于我们
关于 Suppr公司介绍联系我们用户协议隐私条款
关注我们

Suppr 超能文献

核心技术专利:CN118964589B侵权必究
粤ICP备2023148730 号-1Suppr @ 2026

文献检索

告别复杂PubMed语法,用中文像聊天一样搜索,搜遍4000万医学文献。AI智能推荐,让科研检索更轻松。

立即免费搜索

文件翻译

保留排版,准确专业,支持PDF/Word/PPT等文件格式,支持 12+语言互译。

免费翻译文档

深度研究

AI帮你快速写综述,25分钟生成高质量综述,智能提取关键信息,辅助科研写作。

立即免费体验

采用两级截骨术和内置延长钉治疗生长紊乱所致股骨远端屈曲畸形。

Distal femoral flexion deformity from growth disturbance treated with a two-level osteotomy and internal lengthening nail.

作者信息

Fragomen Austin T, Fragomen Fiona R

机构信息

Weill Medical College, Cornell University, 535 East 70th Street, New York, NY, 10021, USA.

Hospital for Special Surgery, 535 East 70th Street, New York, NY, 10021, USA.

出版信息

Strategies Trauma Limb Reconstr. 2017 Nov;12(3):159-167. doi: 10.1007/s11751-017-0298-2. Epub 2017 Oct 16.

DOI:10.1007/s11751-017-0298-2
PMID:29039128
原文链接:https://pmc.ncbi.nlm.nih.gov/articles/PMC5653604/
Abstract

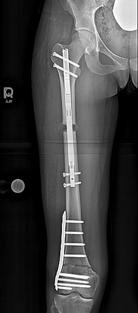
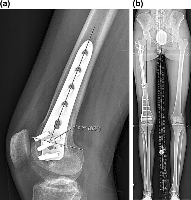
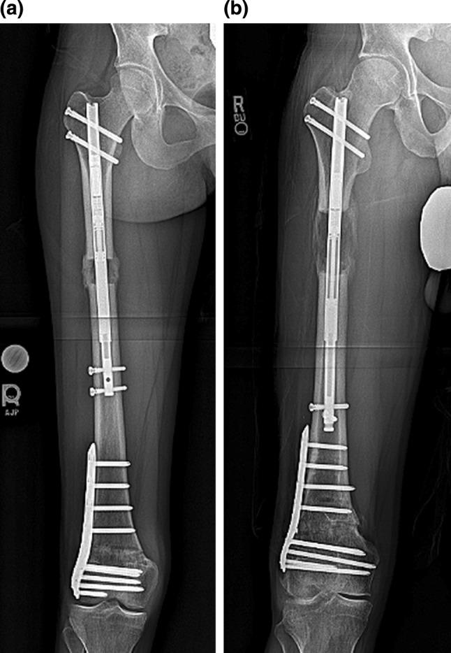
Salter Harris fractures of the distal femur can lead to growth disturbance with resulting leg length inequality and knee deformity. We have looked at a case series (3) of patients who presented with a distal femur flexion malunion and shortening treated with a distal femoral osteotomy and plating and a proximal femoral osteotomy with a magnetic internal lengthening nail. Does a two-level osteotomy and internal fixation approach provide a reliable result both radiographically and functionally? The average knee extension loss was 12°, LLD 47 mm, PDFA 65°, MAD 2 mm. The patients were treated with an acute, posterior, opening wedge osteotomy of the distal femur stabilized with a lateral plate and screws and grafted with cancellous chips and putty. A second osteotomy was made proximally in the femur percutaneously, and the internal lengthening nail was inserted. Lengthening was done at approximately 1 mm/day. The average extension gain was 12°; amount of lengthening at the proximal site was 40 mm, LLD was 3 mm. The average PDFA was 81°, and MAD 3 mm. There were no complications. Functional results were excellent. Bone healing index was 24 days/cm. The average distance from the distal osteotomy to the joint line was 57 mm. The technique of two-level femur osteotomy stabilized with a plate and lengthening nail yielded excellent results with acceptable correction of deformity, full knee extension, and improved function. There were no complications including implant failure, infection, need for blood transfusion, knee stiffness, nonunion, compartment syndrome, or malunion.

摘要

股骨远端的Salter Harris骨折可导致生长紊乱,进而造成腿长不等和膝关节畸形。我们研究了一组(3例)患者,这些患者因股骨远端屈曲畸形愈合和缩短而接受了股骨远端截骨钢板固定术以及使用磁性髓内延长钉的股骨近端截骨术。两级截骨内固定方法在影像学和功能方面是否能提供可靠的结果?平均膝关节伸展损失为12°,下肢长度差异(LLD)为47毫米,近端股骨远端角(PDFA)为65°,机械轴偏差(MAD)为2毫米。患者接受了股骨远端急性、后侧、开放楔形截骨术,并用外侧钢板和螺钉固定,植入松质骨碎块和骨泥。在股骨近端经皮进行第二次截骨,并插入髓内延长钉。延长速度约为每天1毫米。平均伸展增加为12°;近端部位的延长量为40毫米,LLD为3毫米。平均PDFA为81°,MAD为3毫米。无并发症发生。功能结果极佳。骨愈合指数为24天/厘米。远端截骨处至关节线的平均距离为57毫米。采用钢板和延长钉固定的两级股骨截骨技术取得了极佳的效果,畸形矫正可接受,膝关节完全伸展,功能得到改善。未出现包括植入物失败、感染、输血需求、膝关节僵硬、骨不连、骨筋膜室综合征或畸形愈合在内的并发症。

https://cdn.ncbi.nlm.nih.gov/pmc/blobs/17a7/5653604/964920c6bf40/11751_2017_298_Fig9_HTML.jpg
https://cdn.ncbi.nlm.nih.gov/pmc/blobs/17a7/5653604/fc596ae1ee52/11751_2017_298_Fig1_HTML.jpg
https://cdn.ncbi.nlm.nih.gov/pmc/blobs/17a7/5653604/0f95cf2efa70/11751_2017_298_Fig2_HTML.jpg
https://cdn.ncbi.nlm.nih.gov/pmc/blobs/17a7/5653604/0723cb707066/11751_2017_298_Fig3_HTML.jpg
https://cdn.ncbi.nlm.nih.gov/pmc/blobs/17a7/5653604/f15b1bc26dfe/11751_2017_298_Fig4_HTML.jpg
https://cdn.ncbi.nlm.nih.gov/pmc/blobs/17a7/5653604/60dcdb94b738/11751_2017_298_Fig5_HTML.jpg
https://cdn.ncbi.nlm.nih.gov/pmc/blobs/17a7/5653604/05df52249558/11751_2017_298_Fig6_HTML.jpg
https://cdn.ncbi.nlm.nih.gov/pmc/blobs/17a7/5653604/5730b2db595c/11751_2017_298_Fig7_HTML.jpg
https://cdn.ncbi.nlm.nih.gov/pmc/blobs/17a7/5653604/25e747b5c533/11751_2017_298_Fig8_HTML.jpg
https://cdn.ncbi.nlm.nih.gov/pmc/blobs/17a7/5653604/964920c6bf40/11751_2017_298_Fig9_HTML.jpg
https://cdn.ncbi.nlm.nih.gov/pmc/blobs/17a7/5653604/fc596ae1ee52/11751_2017_298_Fig1_HTML.jpg
https://cdn.ncbi.nlm.nih.gov/pmc/blobs/17a7/5653604/0f95cf2efa70/11751_2017_298_Fig2_HTML.jpg
https://cdn.ncbi.nlm.nih.gov/pmc/blobs/17a7/5653604/0723cb707066/11751_2017_298_Fig3_HTML.jpg
https://cdn.ncbi.nlm.nih.gov/pmc/blobs/17a7/5653604/f15b1bc26dfe/11751_2017_298_Fig4_HTML.jpg
https://cdn.ncbi.nlm.nih.gov/pmc/blobs/17a7/5653604/60dcdb94b738/11751_2017_298_Fig5_HTML.jpg
https://cdn.ncbi.nlm.nih.gov/pmc/blobs/17a7/5653604/05df52249558/11751_2017_298_Fig6_HTML.jpg
https://cdn.ncbi.nlm.nih.gov/pmc/blobs/17a7/5653604/5730b2db595c/11751_2017_298_Fig7_HTML.jpg
https://cdn.ncbi.nlm.nih.gov/pmc/blobs/17a7/5653604/25e747b5c533/11751_2017_298_Fig8_HTML.jpg
https://cdn.ncbi.nlm.nih.gov/pmc/blobs/17a7/5653604/964920c6bf40/11751_2017_298_Fig9_HTML.jpg

相似文献

1
Distal femoral flexion deformity from growth disturbance treated with a two-level osteotomy and internal lengthening nail.采用两级截骨术和内置延长钉治疗生长紊乱所致股骨远端屈曲畸形。
Strategies Trauma Limb Reconstr. 2017 Nov;12(3):159-167. doi: 10.1007/s11751-017-0298-2. Epub 2017 Oct 16.
2
Combined antegrade femur lengthening and distal deformity correction: a case series.股骨近端延长与远端畸形矫正联合应用:病例系列报告。
J Orthop Surg Res. 2021 Jan 15;16(1):60. doi: 10.1186/s13018-020-02168-6.
3
Medial Open-wedge Osteotomy with Double-plate Fixation for Varus Malunion of the Distal Femur.股骨远端内翻畸形愈合的内侧开放楔形截骨双钢板固定术
Orthop Surg. 2019 Feb;11(1):82-90. doi: 10.1111/os.12421. Epub 2019 Feb 5.
4
Blocking Screw-assisted Intramedullary Nailing Using the Reverse-rule-of-thumbs for Limb Lengthening and Deformity Correction.使用反拇指法则的阻挡螺钉辅助髓内钉技术治疗肢体延长与畸形矫正
Strategies Trauma Limb Reconstr. 2019 May-Aug;14(2):77-84. doi: 10.5005/jp-journals-10080-1430.
5
Simultaneous Acute Femoral Deformity Correction and Gradual Limb Lengthening Using a Retrograde Femoral Nail: Technique and Clinical Results.逆行股骨髓内钉同期矫正急性股骨干畸形并逐渐延长肢体:技术与临床结果。
J Am Acad Orthop Surg. 2018 Apr 1;26(7):241-250. doi: 10.5435/JAAOS-D-16-00573.
6
Retrograde magnetic internal lengthening nail for acute femoral deformity correction and limb lengthening.用于急性股骨畸形矫正和肢体延长的逆行磁性髓内延长钉
Expert Rev Med Devices. 2017 Oct;14(10):811-820. doi: 10.1080/17434440.2017.1378092. Epub 2017 Sep 17.
7
[Physeal distraction for limb length discrepancy and angular deformity].[用于肢体长度差异和角畸形的骨骺牵张术]
Rev Chir Orthop Reparatrice Appar Mot. 2005 May;91(3):199-207. doi: 10.1016/s0035-1040(05)84305-3.
8
Changes in the femoral osteotomy level coefficient and neck shaft angle during limb lengthening with an intramedullary magnetic nail.使用髓内磁性钉进行肢体延长过程中股骨截骨水平系数和颈干角的变化
Arch Orthop Trauma Surg. 2022 Aug;142(8):1739-1742. doi: 10.1007/s00402-020-03740-9. Epub 2021 Feb 8.
9
Fixator-assisted acute femoral deformity correction and consecutive lengthening over an intramedullary nail.髓内钉固定辅助下急性股骨畸形矫正及连续延长术
J Bone Joint Surg Am. 2009 Jan;91(1):152-9. doi: 10.2106/JBJS.H.00114.
10
Lateral Opening-wedge Distal Femoral Osteotomy: Pain Relief, Functional Improvement, and Survivorship at 5 Years.股骨远端外侧开口楔形截骨术:5年时的疼痛缓解、功能改善及假体生存率
Clin Orthop Relat Res. 2015 Jun;473(6):2009-15. doi: 10.1007/s11999-014-4106-8. Epub 2014 Dec 24.

引用本文的文献

1
Combined antegrade femur lengthening and distal deformity correction: a case series.股骨近端延长与远端畸形矫正联合应用:病例系列报告。
J Orthop Surg Res. 2021 Jan 15;16(1):60. doi: 10.1186/s13018-020-02168-6.

本文引用的文献

1
Deformity Correction about Knee with Ilizarov Technique: Accuracy of Correction and Effectiveness of Gradual Distraction after Conventional Straight Cut Osteotomy.应用伊里扎洛夫技术矫正膝关节畸形:传统直线截骨术后的矫正精度及缓慢牵张的有效性
Ortop Traumatol Rehabil. 2015 Nov-Dec;17(6):587-92. doi: 10.5604/15093492.1193011.
2
The importance of reaming the posterior femoral cortex before inserting lengthening nails and calculation of the amount of reaming.在插入延长钉之前对股骨后皮质进行扩髓的重要性以及扩髓量的计算。
J Orthop Surg Res. 2016 Jan 16;11:11. doi: 10.1186/s13018-016-0345-6.
3
Patient Satisfaction After Limb Lengthening With Internal and External Devices.
使用内固定和外固定装置进行肢体延长后的患者满意度
J Surg Orthop Adv. 2015 Fall;24(3):174-9.
4
Plate-assisted Lengthening of the Femur and Tibia in Pediatric Patients.小儿股骨和胫骨的钢板辅助延长术
J Pediatr Orthop. 2017 Oct/Nov;37(7):473-478. doi: 10.1097/BPO.0000000000000645.
5
Lengthening in Congenital Femoral Deficiency: A Comparison of Circular External Fixation and a Motorized Intramedullary Nail.先天性股骨缺损的延长治疗:环形外固定与电动髓内钉的比较
J Bone Joint Surg Am. 2015 Sep 2;97(17):1432-40. doi: 10.2106/JBJS.N.00932.
6
Reconstruction of femoral bone loss with a monoplane external fixator and bone transport.使用单平面外固定器和骨搬运技术重建股骨骨缺损。
Orthop Traumatol Surg Res. 2015 Sep;101(5):583-7. doi: 10.1016/j.otsr.2015.04.001. Epub 2015 Jun 1.
7
Precision of the PRECICE internal bone lengthening nail.PRECICE髓内骨延长钉的精度
Clin Orthop Relat Res. 2014 Dec;472(12):3869-78. doi: 10.1007/s11999-014-3575-0.
8
The effect on mechanical axis deviation of femoral lengthening with an intramedullary telescopic nail.带髓内伸缩钉的股骨延长对机械轴偏差的影响。
J Bone Joint Surg Br. 2012 Sep;94(9):1241-5. doi: 10.1302/0301-620X.94B9.28672.
9
Treatment of fixed knee flexion deformity by anterior distal femoral stapling.经股骨前远端骨钉固定治疗固定性膝关节屈曲畸形。
Knee Surg Sports Traumatol Arthrosc. 2012 Dec;20(12):2413-8. doi: 10.1007/s00167-012-1915-8. Epub 2012 Feb 4.
10
Does lengthening and then plating (LAP) shorten duration of external fixation?骨延长后再钢板固定(LAP)是否能缩短外固定的时间?
Clin Orthop Relat Res. 2012 Jun;470(6):1771-81. doi: 10.1007/s11999-011-2178-2. Epub 2011 Nov 15.