Department of Otorhinolaryngology, Union Hospital, Tongji Medical College, Huazhong University of Science and Technology, Wuhan 430022, China.
Department of Otorhinolaryngology, Union Hospital, Tongji Medical College, Huazhong University of Science and Technology, Wuhan 430022, China.
Redox Biol. 2018 Apr;14:361-370. doi: 10.1016/j.redox.2017.10.002. Epub 2017 Oct 7.
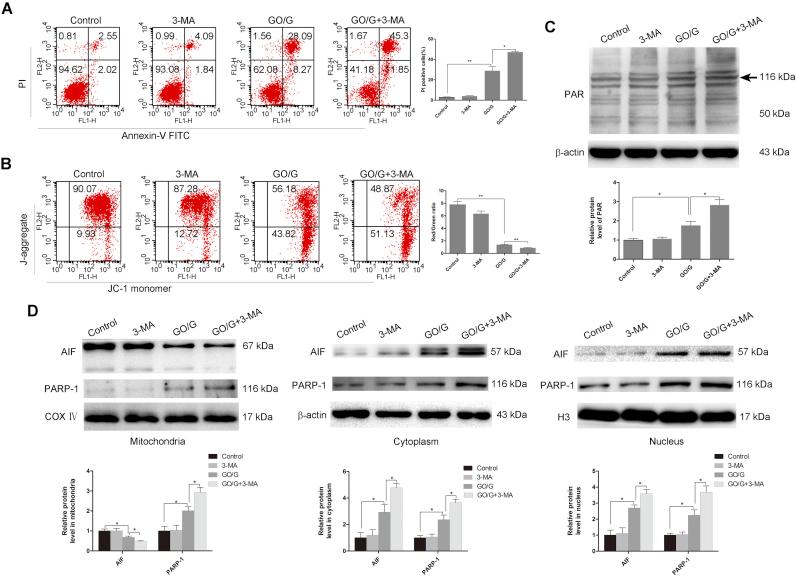
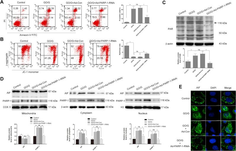
Oxidative stress is reported to regulate several apoptotic and necrotic cell death pathways in auditory tissues. Poly(ADP-ribose) polymerase-1 (PARP-1) can be activated under oxidative stress, which is the hallmark of parthanatos. Autophagy, which serves either a pro-survival or pro-death function, can also be stimulated by oxidative stress, but the role of autophagy and its relationship with parthanatos underlying this activation in the inner ear remains unknown. In this study, we established an oxidative stress model in vitro by glucose oxidase/glucose (GO/G), which could continuously generate low concentrations of HO to mimic continuous exposure to HO in physiological conditions, for investigation of oxidative stress-induced cell death mechanisms and the regulatory role of PARP-1 in this process. We observed that GO/G induced stria marginal cells (MCs) death via upregulation of PARP-1 expression, accumulation of polyADP-ribose (PAR) polymers, decline of mitochondrial membrane potential (MMP) and nuclear translocation of apoptosis-inducing factor (AIF), which all are biochemical features of parthanatos. PARP-1 knockdown rescued GO/G-induced MCs death, as well as abrogated downstream molecular events of PARP-1 activation. In addition, we demonstrated that GO/G stimulated autophagy and PARP-1 knockdown suppressed GO/G-induced autophagy in MCs. Interestingly, autophagy suppression by 3-Methyladenine (3-MA) accelerated GO/G-induced parthanatos, indicating a pro-survival function of autophagy in GO/G-induced MCs death. Taken together, these data suggested that PARP-1 played dual roles by modulating parthanatos and autophagy in oxidative stress-induced MCs death, which may be considered as a promising therapeutic target for ameliorating oxidative stress-related hearing disorders.
氧化应激被报道能调节听觉组织中的几种细胞凋亡和坏死途径。聚(ADP-核糖)聚合酶-1(PARP-1)在氧化应激下可被激活,这是 parthanatos 的标志。自噬在氧化应激下也可被刺激,但其在其中发挥促生存或促死亡的功能,以及其与 parthanatos 的关系在内耳中的作用尚不清楚。在这项研究中,我们通过葡萄糖氧化酶/葡萄糖(GO/G)建立了一个体外氧化应激模型,该模型可以持续产生低浓度的 HO,模拟生理条件下持续暴露于 HO,以研究氧化应激诱导的细胞死亡机制以及 PARP-1 在这一过程中的调节作用。我们观察到,GO/G 通过上调 PARP-1 的表达、聚 ADP-核糖(PAR)聚合物的积累、线粒体膜电位(MMP)的下降和凋亡诱导因子(AIF)的核转位,诱导边缘细胞(MCs)死亡,这都是 parthanatos 的生化特征。PARP-1 的敲低挽救了 GO/G 诱导的 MCs 死亡,并阻断了 PARP-1 激活的下游分子事件。此外,我们证明 GO/G 刺激了自噬,而 PARP-1 的敲低抑制了 GO/G 诱导的 MCs 中的自噬。有趣的是,3-甲基腺嘌呤(3-MA)抑制自噬加速了 GO/G 诱导的 parthanatos,表明自噬在 GO/G 诱导的 MCs 死亡中具有促生存作用。总之,这些数据表明,PARP-1 通过调节氧化应激诱导的 MCs 死亡中的 parthanatos 和自噬发挥双重作用,这可能被认为是改善与氧化应激相关的听力障碍的有前途的治疗靶点。