Suppr超能文献

跟骨骨折:我们目前的进展如何?

Calcaneal fractures: Where are we now?

作者信息

Razik Aisha, Harris Mark, Trompeter Alex

机构信息

St George's Hospital, Blackshaw Road, Tooting, London, SW17 0QT, UK.

出版信息

Strategies Trauma Limb Reconstr. 2018 Apr;13(1):1-11. doi: 10.1007/s11751-017-0297-3. Epub 2017 Oct 20.

Abstract

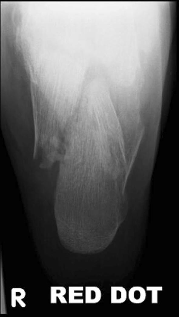
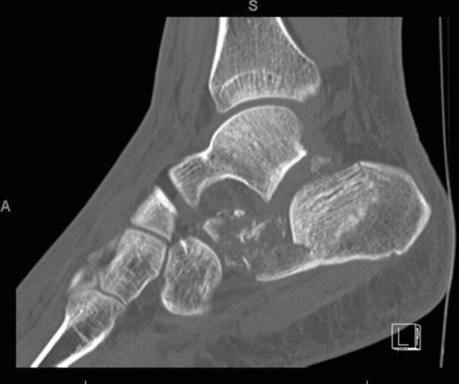
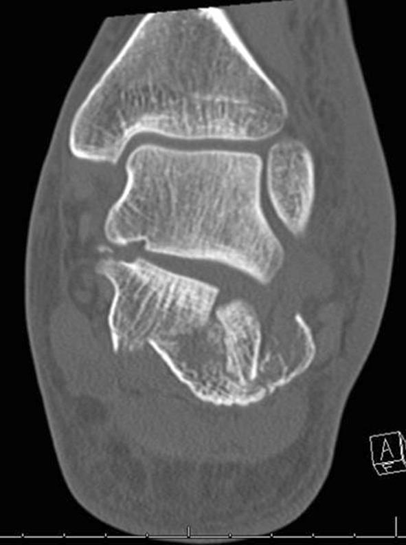
This review article on the current management for calcaneal fractures discusses the advantages and disadvantages of different treatment options including the problems encountered. Controversies are described and the evidence reviewed. The management of some types of displaced intra-articular calcaneal fractures remains contentious; is there a preferred stabilisation method for each type of calcaneal fracture? How constant is the "constant fragment" in an intra-articular calcaneal fracture and what is the evidence for primary arthrodesis and what is its place in these fractures?

摘要

这篇关于跟骨骨折当前治疗方法的综述文章讨论了不同治疗方案的优缺点,包括所遇到的问题。阐述了争议点并对证据进行了回顾。某些类型的移位性关节内跟骨骨折的治疗仍存在争议;对于每种类型的跟骨骨折,是否有一种首选的稳定方法?关节内跟骨骨折中的“恒定骨折块”有多恒定?一期关节融合术的证据是什么,其在这些骨折中的地位如何?

https://cdn.ncbi.nlm.nih.gov/pmc/blobs/4753/5862705/b7f8efff2ac7/11751_2017_297_Fig1_HTML.jpg

文献AI研究员

20分钟写一篇综述,助力文献阅读效率提升50倍。

立即体验

用中文搜PubMed

大模型驱动的PubMed中文搜索引擎

马上搜索

文档翻译

学术文献翻译模型,支持多种主流文档格式。

立即体验