Suppr超能文献

一名患有神经母细胞瘤儿童的免疫性血小板减少症

Immune Thrombocytopenia in a Child with Neuroblastoma.

作者信息

Ikizoglu Hasan Tarkan, Ayan Inci, Tokat Fatma, Tecimer Tulay, Topuzlu Tekant Gonca

机构信息

Department of Pediatrics, Acibadem University Medical Faculty, Istanbul, Turkey.

Department of Pediatrics, Acibadem Maslak Hospital, Istanbul, Turkey.

出版信息

Case Rep Pediatr. 2017;2017:1329489. doi: 10.1155/2017/1329489. Epub 2017 Sep 14.

Abstract

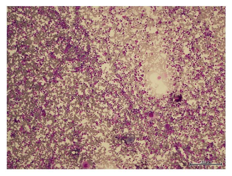
Thrombocytopenia is a frequent finding in patients with solid tumors. It is usually caused by bone marrow infiltration or by myelosuppression due to anticancer therapy; however immune thrombocytopenia (ITP) associated with solid tumors is rare. Neuroblastoma is the most common extracranial solid tumor in children. Here we report the case of a two-year-nine-month-old patient with adrenal neuroblastoma who presented with ITP. Paraneoplastic ITP was considered in the differential diagnosis. Bone marrow infiltration and other causes of thrombocytopenia were excluded and the patient was treated with intravenous immunoglobulin and tumor resection. Platelet count increased rapidly after surgery and complete remission of ITP was achieved.

摘要

血小板减少症在实体瘤患者中很常见。它通常由骨髓浸润或抗癌治疗引起的骨髓抑制所致;然而,与实体瘤相关的免疫性血小板减少症(ITP)却很罕见。神经母细胞瘤是儿童最常见的颅外实体瘤。在此,我们报告一例两岁九个月大的肾上腺神经母细胞瘤患者出现ITP的病例。副肿瘤性ITP被列入鉴别诊断。排除了骨髓浸润和其他血小板减少的原因,患者接受了静脉注射免疫球蛋白和肿瘤切除术治疗。术后血小板计数迅速上升,ITP实现完全缓解。

https://cdn.ncbi.nlm.nih.gov/pmc/blobs/caf3/5618744/1691287dfa8e/CRIPE2017-1329489.001.jpg

文献AI研究员

20分钟写一篇综述,助力文献阅读效率提升50倍。

立即体验

用中文搜PubMed

大模型驱动的PubMed中文搜索引擎

马上搜索

文档翻译

学术文献翻译模型,支持多种主流文档格式。

立即体验