Suppr超能文献

鉴别先验-先验图像约束的低剂量 CT 成像压缩感知重建。

Discriminative Prior - Prior Image Constrained Compressed Sensing Reconstruction for Low-Dose CT Imaging.

机构信息

Laboratory of Image Science and Technology, School of Computer Science and Engineering, Southeast University, Nanjing, 210096, China.

Key Laboratory of Computer Network and Information Integration (Southeast University), Ministry of Education, Nanjing, 210096, China.

出版信息

Sci Rep. 2017 Oct 24;7(1):13868. doi: 10.1038/s41598-017-13520-y.

Abstract

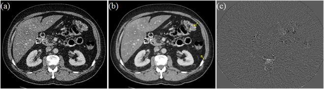
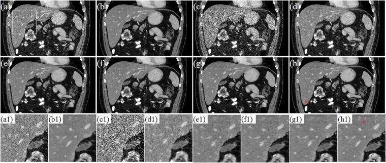
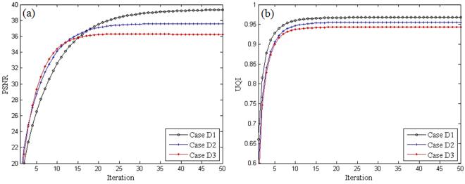
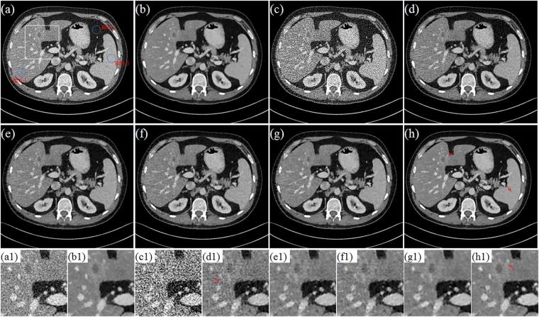
X-ray computed tomography (CT) has been widely used to provide patient-specific anatomical information in the forms of tissue attenuation. However, the cumulative radiation induced in CT scan has raised extensive concerns in recently years. How to maintain reconstruction image quality is a major challenge for low-dose CT (LDCT) imaging. Generally, LDCT imaging can be greatly improved by incorporating prior knowledge in some specific forms. A joint estimation framework termed discriminative prior-prior image constrained compressed sensing (DP-PICCS) reconstruction is proposed in this paper. This DP-PICCS algorithm utilizes discriminative prior knowledge via two feature dictionary constraints which built on atoms from the samples of tissue attenuation feature patches and noise-artifacts residual feature patches, respectively. Also, the prior image construction relies on a discriminative feature representation (DFR) processing by two feature dictionary. Its comparison to other competing methods through experiments on low-dose projections acquired from torso phantom simulation study and clinical abdomen study demonstrated that the DP-PICCS method achieved promising improvement in terms of the effectively-suppressed noise and the well-retained structures.

摘要

X 射线计算机断层扫描(CT)已广泛用于提供组织衰减形式的患者特定解剖信息。然而,近年来 CT 扫描引起的累积辐射引起了广泛关注。如何在保持重建图像质量是低剂量 CT(LDCT)成像的主要挑战。通常,可以通过以某些特定形式合并先验知识来大大改善 LDCT 成像。本文提出了一种称为鉴别先验-先验图像约束压缩感知(DP-PICCS)重建的联合估计框架。该 DP-PICCS 算法通过分别基于组织衰减特征补丁和噪声-伪影残差特征补丁的样本的原子构建的两个特征字典约束来利用鉴别先验知识。此外,通过对来自体模模拟研究和临床腹部研究的低剂量投影的实验,先验图像的构建依赖于两个特征字典的鉴别特征表示(DFR)处理。通过与其他竞争方法的比较,DP-PICCS 方法在有效抑制噪声和保留结构方面取得了有希望的改进。

https://cdn.ncbi.nlm.nih.gov/pmc/blobs/1f27/5655040/9d13d7a3e311/41598_2017_13520_Fig1_HTML.jpg

文献AI研究员

20分钟写一篇综述,助力文献阅读效率提升50倍。

立即体验

用中文搜PubMed

大模型驱动的PubMed中文搜索引擎

马上搜索

文档翻译

学术文献翻译模型,支持多种主流文档格式。

立即体验