• 文献检索
  • 文档翻译
  • 深度研究
  • 学术资讯
  • Suppr Zotero 插件Zotero 插件
  • 邀请有礼
  • 套餐&价格
  • 历史记录
应用&插件
Suppr Zotero 插件Zotero 插件浏览器插件Mac 客户端Windows 客户端微信小程序
定价
高级版会员购买积分包购买API积分包
服务
文献检索文档翻译深度研究API 文档MCP 服务
关于我们
关于 Suppr公司介绍联系我们用户协议隐私条款
关注我们

Suppr 超能文献

核心技术专利:CN118964589B侵权必究
粤ICP备2023148730 号-1Suppr @ 2026

文献检索

告别复杂PubMed语法,用中文像聊天一样搜索,搜遍4000万医学文献。AI智能推荐,让科研检索更轻松。

立即免费搜索

文件翻译

保留排版,准确专业,支持PDF/Word/PPT等文件格式,支持 12+语言互译。

免费翻译文档

深度研究

AI帮你快速写综述,25分钟生成高质量综述,智能提取关键信息,辅助科研写作。

立即免费体验

褪黑素和N-乙酰半胱氨酸对曲马多诱导的白化大鼠肝毒性的治疗作用

Melatonin and N- Acetylcysteine as Remedies for Tramadol-Induced Hepatotoxicity in Albino Rats.

作者信息

Adikwu Elias, Bokolo Bonsome

机构信息

Department of Pharmacology, Faculty of Basic Medical Sciences, University of Port Harcourt, Choba, Rivers State, Nigeria.

Department of Pharmacology, Faculty of Basic Medical Sciences, Niger Delta University Wilberforce Island, Bayelsa State, Nigeria.

出版信息

Adv Pharm Bull. 2017 Sep;7(3):367-374. doi: 10.15171/apb.2017.044. Epub 2017 Sep 25.

DOI:10.15171/apb.2017.044
PMID:29071218
原文链接:https://pmc.ncbi.nlm.nih.gov/articles/PMC5651057/
Abstract

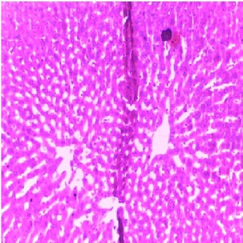
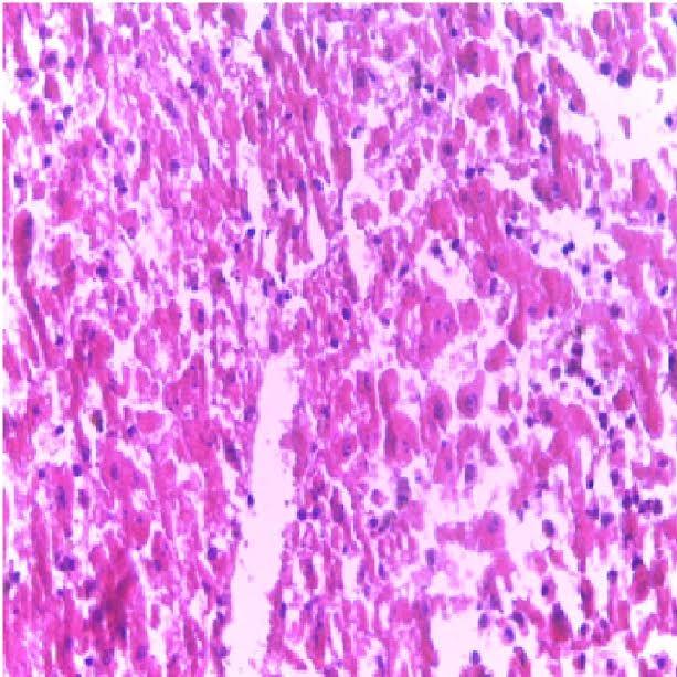
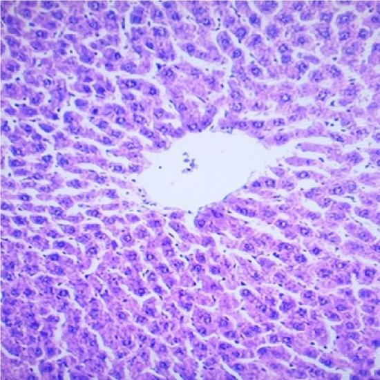
The therapeutic benefit derived from the clinical use of tramadol (TD) has been characterized by hepatotoxicity due to misuse and abuse. The implications of drug-induced hepatotoxicity include socio-economic burden which makes the search for remedy highly imperative. The present study investigated the protective effects of melatonin (MT) and n-acetylcysteine (NAC) on TD-induced hepatotoxicity in albino rats. Forty five adult rats used for this study were divided into nine groups of five rats each. The rats were pretreated with 10mg/kg/day of NAC, 10mg/kg/day of MT and combined doses of NAC and MT prior to the administration of 15 mg/kg/day of TD intraperitoneally for 7 days respectively. At the termination of drug administration, rats were weighed, sacrificed, and serum was extracted and evaluated for liver function parameters. The liver was harvested, weighed and evaluated for oxidative stress indices and liver enzymes. Alanine aminotransferase, alkaline phosphatase, aspartate aminotransferase, total bilirubin, conjugated bilirubin, and malondialdehyde levels were significantly (P<0.05) increased in rats administered with TD when compared to control. Furthermore, glutathione, superoxide dismutase and catalase levels were decreased significantly (P<0.05) in rats administered with TD when compared to control. The Liver of TD-treated rats showed necrosis of hepatocytes. However, the observed biochemical and liver histological alterations in TD-treated rats were attenuated in NAC and MT pretreated rats. Interestingly, pretreatment with combined doses of NAC and MT produced significant (P<0.05) effects on all evaluated parameters in comparison to their individual doses. Based on the findings in this study, melatonin and n- acetylcysteine could be used clinically as remedies for tramadol associated hepatotoxity.

摘要

曲马多(TD)临床使用所带来的治疗益处因误用和滥用而表现为肝毒性。药物性肝毒性的影响包括社会经济负担,这使得寻找补救措施迫在眉睫。本研究调查了褪黑素(MT)和N-乙酰半胱氨酸(NAC)对TD诱导的白化大鼠肝毒性的保护作用。本研究使用的45只成年大鼠分为9组,每组5只。在分别腹腔注射15mg/kg/天的TD共7天之前,大鼠分别用10mg/kg/天的NAC、10mg/kg/天的MT以及NAC和MT的联合剂量进行预处理。在药物给药结束时,对大鼠称重、处死,提取血清并评估肝功能参数。摘取肝脏,称重并评估氧化应激指标和肝酶。与对照组相比,给予TD的大鼠丙氨酸氨基转移酶、碱性磷酸酶、天冬氨酸氨基转移酶、总胆红素、结合胆红素和丙二醛水平显著(P<0.05)升高。此外,与对照组相比,给予TD的大鼠谷胱甘肽、超氧化物歧化酶和过氧化氢酶水平显著(P<0.05)降低。TD处理大鼠的肝脏显示肝细胞坏死。然而,在NAC和MT预处理的大鼠中,TD处理大鼠中观察到的生化和肝脏组织学改变有所减轻。有趣的是,与它们的单独剂量相比,NAC和MT联合剂量预处理对所有评估参数均产生显著(P<0.05)影响。基于本研究的结果,褪黑素和N-乙酰半胱氨酸可在临床上用作曲马多相关肝毒性的补救措施。

https://cdn.ncbi.nlm.nih.gov/pmc/blobs/ead0/5651057/e578a5487519/apb-7-367-g007.jpg
https://cdn.ncbi.nlm.nih.gov/pmc/blobs/ead0/5651057/f2348f01c56a/apb-7-367-g001.jpg
https://cdn.ncbi.nlm.nih.gov/pmc/blobs/ead0/5651057/856d3c2d2334/apb-7-367-g002.jpg
https://cdn.ncbi.nlm.nih.gov/pmc/blobs/ead0/5651057/8e2258c7c716/apb-7-367-g003.jpg
https://cdn.ncbi.nlm.nih.gov/pmc/blobs/ead0/5651057/6739093c915f/apb-7-367-g004.jpg
https://cdn.ncbi.nlm.nih.gov/pmc/blobs/ead0/5651057/a7f72c499e37/apb-7-367-g005.jpg
https://cdn.ncbi.nlm.nih.gov/pmc/blobs/ead0/5651057/18bff68ada09/apb-7-367-g006.jpg
https://cdn.ncbi.nlm.nih.gov/pmc/blobs/ead0/5651057/e578a5487519/apb-7-367-g007.jpg
https://cdn.ncbi.nlm.nih.gov/pmc/blobs/ead0/5651057/f2348f01c56a/apb-7-367-g001.jpg
https://cdn.ncbi.nlm.nih.gov/pmc/blobs/ead0/5651057/856d3c2d2334/apb-7-367-g002.jpg
https://cdn.ncbi.nlm.nih.gov/pmc/blobs/ead0/5651057/8e2258c7c716/apb-7-367-g003.jpg
https://cdn.ncbi.nlm.nih.gov/pmc/blobs/ead0/5651057/6739093c915f/apb-7-367-g004.jpg
https://cdn.ncbi.nlm.nih.gov/pmc/blobs/ead0/5651057/a7f72c499e37/apb-7-367-g005.jpg
https://cdn.ncbi.nlm.nih.gov/pmc/blobs/ead0/5651057/18bff68ada09/apb-7-367-g006.jpg
https://cdn.ncbi.nlm.nih.gov/pmc/blobs/ead0/5651057/e578a5487519/apb-7-367-g007.jpg

相似文献

1
Melatonin and N- Acetylcysteine as Remedies for Tramadol-Induced Hepatotoxicity in Albino Rats.褪黑素和N-乙酰半胱氨酸对曲马多诱导的白化大鼠肝毒性的治疗作用
Adv Pharm Bull. 2017 Sep;7(3):367-374. doi: 10.15171/apb.2017.044. Epub 2017 Sep 25.
2
Cytoprotective effects of amifostine, ascorbic acid and N-acetylcysteine against methotrexate-induced hepatotoxicity in rats.氨磷汀、抗坏血酸和N-乙酰半胱氨酸对甲氨蝶呤诱导的大鼠肝毒性的细胞保护作用。
World J Gastroenterol. 2014 Aug 7;20(29):10158-65. doi: 10.3748/wjg.v20.i29.10158.
3
The effects of N-acetylcysteine on bile duct ligation-induced liver fibrosis in rats.N-乙酰半胱氨酸对大鼠胆管结扎诱导的肝纤维化的影响。
Dig Dis Sci. 2007 Dec;52(12):3348-54. doi: 10.1007/s10620-006-9717-9. Epub 2007 Apr 12.
4
The molecular and biochemical insight view of lycopene in ameliorating tramadol-induced liver toxicity in a rat model: implication of oxidative stress, apoptosis, and MAPK signaling pathways.番茄红素通过改善大鼠模型中转酞酶诱导的肝毒性的分子和生化机制:氧化应激、细胞凋亡和 MAPK 信号通路的作用。
Environ Sci Pollut Res Int. 2018 Nov;25(33):33119-33130. doi: 10.1007/s11356-018-3265-7. Epub 2018 Sep 24.
5
N-acetylcysteine pretreatment ameliorates mercuric chloride-induced oxidative renal damage in rats.N-乙酰半胱氨酸预处理可改善氯化汞诱导的大鼠肾氧化损伤。
Afr J Med Med Sci. 2010 Dec;39 Suppl:153-60.
6
Hepatotoxic activity of toluene inhalation and protective role of melatonin.吸入甲苯的肝毒性作用及褪黑素的保护作用
Toxicol Ind Health. 2011 Jun;27(5):465-73. doi: 10.1177/0748233710389853. Epub 2011 Feb 22.
7
Melatonin and N-acetylcysteine have beneficial effects during hepatic ischemia and reperfusion.褪黑素和N-乙酰半胱氨酸在肝脏缺血再灌注期间具有有益作用。
Life Sci. 2003 May 2;72(24):2707-18. doi: 10.1016/s0024-3205(03)00187-5.
8
Effect of N-acetyl cysteine (NAC), an organosulfur compound from Allium plants, on experimentally induced hepatic prefibrogenic events in Wistar rat.N-乙酰半胱氨酸(NAC)对实验诱导的 Wistar 大鼠肝前纤维形成事件的影响。N-乙酰半胱氨酸是一种来自葱属植物的有机硫化合物。
Phytomedicine. 2013 Jul 15;20(10):828-33. doi: 10.1016/j.phymed.2013.03.009. Epub 2013 Apr 9.
9
Effects of antioxidant agents against cyclosporine-induced hepatotoxicity.抗氧化剂对环孢素诱导的肝毒性的影响。
J Surg Res. 2015 Feb;193(2):658-66. doi: 10.1016/j.jss.2014.08.042. Epub 2014 Sep 1.
10
Biochemical and molecular mechanisms of N-acetyl cysteine and silymarin-mediated protection against maneb- and paraquat-induced hepatotoxicity in rats.N-乙酰半胱氨酸和水飞蓟素介导的对抗百草枯和代森锰诱导大鼠肝毒性的生化和分子机制。
Chem Biol Interact. 2013 Jan 25;201(1-3):9-18. doi: 10.1016/j.cbi.2012.10.027. Epub 2012 Nov 16.

引用本文的文献

1
Reduced ischemia-reperfusion oxidative stress injury by melatonin and N-acetylcysteine in the male rat brain.褪黑素和N-乙酰半胱氨酸减轻雄性大鼠脑缺血再灌注氧化应激损伤
IBRO Neurosci Rep. 2024 Jul 21;17:131-137. doi: 10.1016/j.ibneur.2024.07.004. eCollection 2024 Dec.
2
Evaluation of mitochondrial dysfunction due to oxidative stress in therapeutic, toxic and lethal concentrations of tramadol.曲马多治疗浓度、中毒浓度和致死浓度下氧化应激所致线粒体功能障碍的评估
Toxicol Res (Camb). 2021 Nov 8;10(6):1162-1170. doi: 10.1093/toxres/tfab096. eCollection 2021 Dec.
3
Protective effects of melatonin and L-carnitine against methotrexate-induced toxicity in isolated rat hepatocytes.

本文引用的文献

1
Effect of oil on tramadol-induced hepato- and nephrotoxicity in adult male albino rats.油对成年雄性白化大鼠曲马多诱导的肝毒性和肾毒性的影响。
Toxicol Rep. 2015 Mar 14;2:512-519. doi: 10.1016/j.toxrep.2015.03.002. eCollection 2015.
2
Resources and biological activities of natural polyphenols.天然多酚的资源与生物活性
Nutrients. 2014 Dec 22;6(12):6020-47. doi: 10.3390/nu6126020.
3
Alleviating effects of melatonin on oxidative changes in the testes and pituitary glands evoked by subacute chlorpyrifos administration in Wistar rats.
褪黑素和左旋肉碱对甲氨蝶呤诱导的离体大鼠肝细胞毒性的保护作用。
Naunyn Schmiedebergs Arch Pharmacol. 2022 Jan;395(1):87-97. doi: 10.1007/s00210-021-02176-1. Epub 2021 Nov 25.
4
Ameliorative Effect of Melatonin Against Reproductive Toxicity of Tramadol in Rats via the Regulation of Oxidative Stress, Mitochondrial Dysfunction, and Apoptosis-related Gene Expression Signaling Pathway.褪黑素通过调节氧化应激、线粒体功能障碍和凋亡相关基因表达信号通路对曲马多所致大鼠生殖毒性的改善作用
Addict Health. 2020 Apr;12(2):118-129. doi: 10.22122/ahj.v12i2.265.
5
Oxidative-antioxidative status and hepatic and renal factors following melatonin administration in castrated and intact dogs.褪黑素给药后去势和未去势犬的氧化-抗氧化状态及肝脏和肾脏因素
Basic Clin Androl. 2019 Nov 15;29:14. doi: 10.1186/s12610-019-0094-6. eCollection 2019.
6
The molecular and biochemical insight view of lycopene in ameliorating tramadol-induced liver toxicity in a rat model: implication of oxidative stress, apoptosis, and MAPK signaling pathways.番茄红素通过改善大鼠模型中转酞酶诱导的肝毒性的分子和生化机制:氧化应激、细胞凋亡和 MAPK 信号通路的作用。
Environ Sci Pollut Res Int. 2018 Nov;25(33):33119-33130. doi: 10.1007/s11356-018-3265-7. Epub 2018 Sep 24.
褪黑素对毒死蜱亚急性给药诱发的Wistar大鼠睾丸和垂体氧化变化的缓解作用。
Asian Pac J Trop Biomed. 2012 Aug;2(8):645-50. doi: 10.1016/S2221-1691(12)60113-0.
4
Effect of melatonin and n-acetylcysteine on hepatic injury in rat induced by methanol intoxication: a comparative study.褪黑素和 N-乙酰半胱氨酸对甲醇中毒诱导的大鼠肝损伤的影响:一项对比研究。
Eur Rev Med Pharmacol Sci. 2012 Apr;16(4):437-44.
5
Antioxidants as therapeutic agents for liver disease.抗氧化剂作为肝脏疾病的治疗药物。
Liver Int. 2011 Nov;31(10):1432-48. doi: 10.1111/j.1478-3231.2011.02604.x. Epub 2011 Jul 29.
6
Hepatoprotective effect and its possible mechanism of Coptidis rhizoma aqueous extract on carbon tetrachloride-induced chronic liver hepatotoxicity in rats.黄连水提物对四氯化碳致大鼠慢性肝损伤的保肝作用及可能机制。
J Ethnopharmacol. 2011 Dec 8;138(3):683-90. doi: 10.1016/j.jep.2011.09.032. Epub 2011 Sep 22.
7
Advances in perioperative pain management: use of medications with dual analgesic mechanisms, tramadol & tapentadol.围手术期疼痛管理的进展:使用具有双重镇痛机制的药物,曲马多和他喷他多。
Anesthesiol Clin. 2010 Dec;28(4):647-66. doi: 10.1016/j.anclin.2010.08.009.
8
In vitro screening system for hepatotoxicity: comparison of bone-marrow-derived mesenchymal stem cells and Placenta-derived stem cells.体外肝细胞毒性筛选系统:骨髓间充质干细胞与胎盘源干细胞的比较。
J Cell Biochem. 2011 Jan;112(1):49-58. doi: 10.1002/jcb.22728.
9
Melatonin ameliorates experimental hepatic fibrosis induced by carbon tetrachloride in rats.褪黑素可改善四氯化碳诱导的大鼠实验性肝纤维化。
World J Gastroenterol. 2009 Mar 28;15(12):1452-8. doi: 10.3748/wjg.15.1452.
10
Effect of carbaryl on some biochemical changes in rats: the ameliorative effect of bee pollen.西维因对大鼠某些生化变化的影响:蜂花粉的改善作用。
Food Chem Toxicol. 2009 Jan;47(1):86-91. doi: 10.1016/j.fct.2008.10.013. Epub 2008 Oct 21.