• 文献检索
  • 文档翻译
  • 深度研究
  • 学术资讯
  • Suppr Zotero 插件Zotero 插件
  • 邀请有礼
  • 套餐&价格
  • 历史记录
应用&插件
Suppr Zotero 插件Zotero 插件浏览器插件Mac 客户端Windows 客户端微信小程序
定价
高级版会员购买积分包购买API积分包
服务
文献检索文档翻译深度研究API 文档MCP 服务
关于我们
关于 Suppr公司介绍联系我们用户协议隐私条款
关注我们

Suppr 超能文献

核心技术专利:CN118964589B侵权必究
粤ICP备2023148730 号-1Suppr @ 2026

文献检索

告别复杂PubMed语法,用中文像聊天一样搜索,搜遍4000万医学文献。AI智能推荐,让科研检索更轻松。

立即免费搜索

文件翻译

保留排版,准确专业,支持PDF/Word/PPT等文件格式,支持 12+语言互译。

免费翻译文档

深度研究

AI帮你快速写综述,25分钟生成高质量综述,智能提取关键信息,辅助科研写作。

立即免费体验

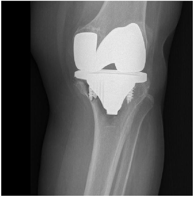
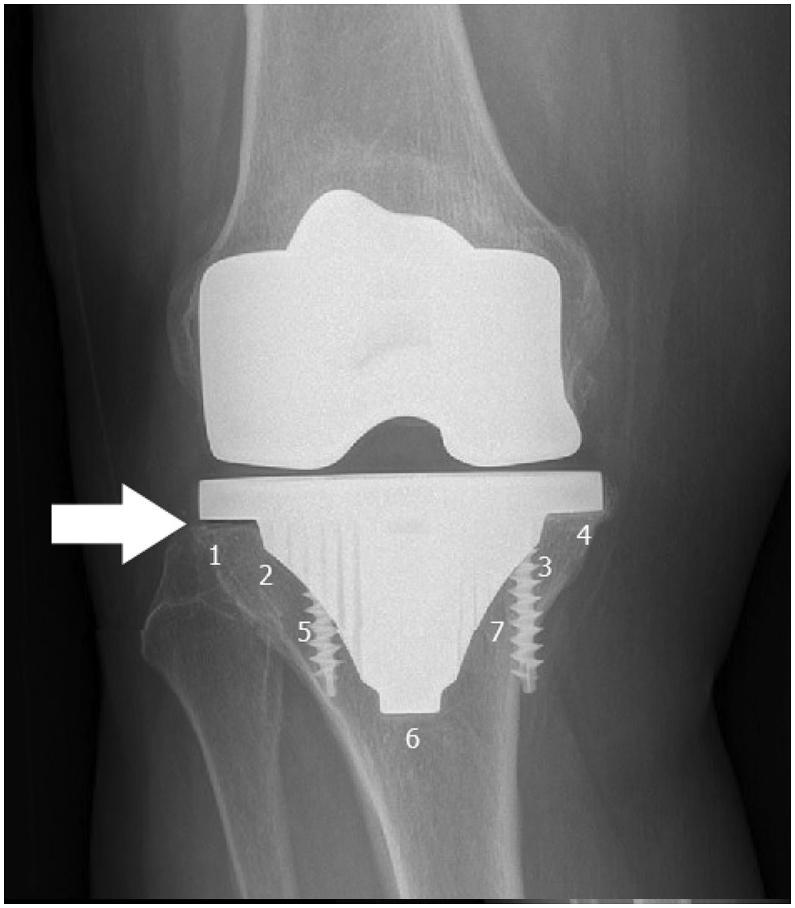
全膝关节置换术——带螺钉的非骨水泥胫骨固定:10年随访结果

Total knee replacement-cementless tibial fixation with screws: 10-year results.

作者信息

Ersan Önder, Öztürk Alper, Çatma Mehmet Faruk, Ünlü Serhan, Akdoğan Mutlu, Ateş Yalım

机构信息

University of Health Sciences, Dışkapı Yıldırım Beyazıt Training and Research Hospital, Ankara, Turkey.

出版信息

Acta Orthop Traumatol Turc. 2017 Dec;51(6):433-436. doi: 10.1016/j.aott.2017.10.008. Epub 2017 Nov 1.

DOI:10.1016/j.aott.2017.10.008
PMID:29102502
原文链接:https://pmc.ncbi.nlm.nih.gov/articles/PMC6197464/
Abstract

BACKGROUND

The aim of this study was to evaluate the long term clinical and radiological results of cementless total knee replacement.

METHODS

A total of 51 knees of 49 patients (33 female and 16 male; mean age: 61.6 years (range, 29-66 years)) who underwent TKR surgery with a posterior stabilized hydroxyapatite coated knee implant were included in this study. All of the tibial components were fixed with screws. The HSS scores were examined preoperatively and at the final follow-up. Radiological assessment was performed with Knee Society evaluating and scoring system. Kaplan-Meier survival analysis was performed to rule out the survival of the tibial component.

RESULTS

The mean HSS scores were 45.8 (range 38-60) and 88.1 (range 61-93), preoperatively and at the final follow-up respectively. Complete radiological assessment was performed for 48 knees. Lucent lines at the tibial component were observed in 4 patients; one of these patients underwent a revision surgery due to the loosening of the tibial component. The 10-year survival rate of a tibial component was 98%.

CONCLUSION

Cementless total knee replacement has satisfactory long term clinical results. Primary fixation of the tibial component with screws provides adequate stability even in elderly patients with good bone quality.

LEVEL OF EVIDENCE

Level IV, Therapeutic study.

摘要

背景

本研究旨在评估非骨水泥型全膝关节置换术的长期临床和影像学结果。

方法

本研究纳入了49例患者的51个膝关节(33例女性和16例男性;平均年龄:61.6岁(范围,29 - 66岁)),这些患者接受了后稳定型羟基磷灰石涂层膝关节假体的全膝关节置换术。所有胫骨组件均用螺钉固定。术前和末次随访时检查HSS评分。采用膝关节协会评估和评分系统进行影像学评估。进行Kaplan-Meier生存分析以排除胫骨组件的生存率。

结果

术前和末次随访时的平均HSS评分分别为45.8(范围38 - 60)和88.1(范围61 - 93)。对48个膝关节进行了完整的影像学评估。4例患者观察到胫骨组件处有透亮线;其中1例患者因胫骨组件松动接受了翻修手术。胫骨组件的10年生存率为98%。

结论

非骨水泥型全膝关节置换术具有令人满意的长期临床结果。即使在骨质良好的老年患者中,用螺钉对胫骨组件进行初次固定也能提供足够的稳定性。

证据水平

IV级,治疗性研究。

https://cdn.ncbi.nlm.nih.gov/pmc/blobs/14f5/6197464/a716687ce526/gr3.jpg
https://cdn.ncbi.nlm.nih.gov/pmc/blobs/14f5/6197464/9e1c788a8e06/gr1.jpg
https://cdn.ncbi.nlm.nih.gov/pmc/blobs/14f5/6197464/32ef21b04b24/gr2.jpg
https://cdn.ncbi.nlm.nih.gov/pmc/blobs/14f5/6197464/a716687ce526/gr3.jpg
https://cdn.ncbi.nlm.nih.gov/pmc/blobs/14f5/6197464/9e1c788a8e06/gr1.jpg
https://cdn.ncbi.nlm.nih.gov/pmc/blobs/14f5/6197464/32ef21b04b24/gr2.jpg
https://cdn.ncbi.nlm.nih.gov/pmc/blobs/14f5/6197464/a716687ce526/gr3.jpg

相似文献

1
Total knee replacement-cementless tibial fixation with screws: 10-year results.全膝关节置换术——带螺钉的非骨水泥胫骨固定:10年随访结果
Acta Orthop Traumatol Turc. 2017 Dec;51(6):433-436. doi: 10.1016/j.aott.2017.10.008. Epub 2017 Nov 1.
2
Total Knee Arthroplasty Using Cementless Porous Tantalum Monoblock Tibial Component: A Minimum 10-Year Follow-Up.使用非骨水泥型多孔钽单块胫骨组件的全膝关节置换术:至少10年随访
J Arthroplasty. 2016 Oct;31(10):2193-8. doi: 10.1016/j.arth.2016.03.057. Epub 2016 Apr 12.
3
Long-term results of porous-coated cementless total knee arthroplasty with screw fixation.带螺钉固定的多孔涂层非骨水泥全膝关节置换术的长期结果
Acta Orthop Traumatol Turc. 2013;47(5):347-53. doi: 10.3944/aott.2013.3196.
4
Tibial fixation without screws in cementless knee arthroplasty.非骨水泥膝关节置换术中胫骨的无钉固定。
J Arthroplasty. 2010 Jan;25(1):46-51. doi: 10.1016/j.arth.2008.09.023. Epub 2008 Dec 4.
5
Cementless, Cruciate-Retaining Primary Total Knee Arthroplasty Using Conventional Instrumentation: Technical Pearls and Intraoperative Considerations.使用传统器械的非骨水泥型、保留交叉韧带初次全膝关节置换术:技术要点与术中注意事项
JBJS Essent Surg Tech. 2024 Sep 13;14(3). doi: 10.2106/JBJS.ST.23.00036. eCollection 2024 Jul-Sep.
6
Cementless Posteriorly Stabilized Total Knee Arthroplasty: Seven-Year Minimum Follow-Up Report.非骨水泥后置稳定型全膝关节置换术:七年最低随访报告。
J Arthroplasty. 2018 May;33(5):1399-1403. doi: 10.1016/j.arth.2017.11.020. Epub 2017 Nov 16.
7
Cementless Versus Cemented Tibial Fixation in Posterior Stabilized Total Knee Replacement: A Randomized Trial.非骨水泥与骨水泥固定胫骨在后稳定型全膝关节置换中的比较:一项随机试验。
J Bone Joint Surg Am. 2020 Jun 17;102(12):1075-1082. doi: 10.2106/JBJS.19.01010.
8
Seventeen to Twenty Years of Follow-Up of the Low Contact Stress Rotating-Platform Total Knee Arthroplasty With a Cementless Tibia in All Cases.所有病例中采用低接触压旋转平台全膝关节置换术(非骨水泥固定胫骨)十七至二十年的随访结果。
J Arthroplasty. 2019 Mar;34(3):508-512. doi: 10.1016/j.arth.2018.11.024. Epub 2018 Nov 23.
9
Screw Track Osteolysis in the Cementless Total Knee Replacement Design.非骨水泥全膝关节置换设计中的螺钉轨迹骨溶解
J Arthroplasty. 2019 May;34(5):965-973. doi: 10.1016/j.arth.2018.12.040. Epub 2019 Jan 6.
10
Prospective study of the cementless "New Wave" total knee mobile-bearing arthroplasty: 8-year follow-up.非骨水泥型“新波”全膝关节活动轴承置换术的前瞻性研究:8年随访
Eur J Orthop Surg Traumatol. 2015 Feb;25(2):349-54. doi: 10.1007/s00590-014-1484-2. Epub 2014 May 25.

引用本文的文献

1
MAPLE-prepared graphene oxide-based coatings for improved orthopedic screws used in knee interventions.用于膝关节介入的改良骨科螺钉的 MAPLE 制备氧化石墨烯基涂层。
Rom J Morphol Embryol. 2024 Jul-Sep;65(3):433-442. doi: 10.47162/RJME.65.3.05.

本文引用的文献

1
To Cement or Not? Two-Year Results of a Prospective, Randomized Study Comparing Cemented Vs. Cementless Total Knee Arthroplasty (TKA).使用骨水泥与否?一项比较骨水泥型与非骨水泥型全膝关节置换术(TKA)的前瞻性随机研究的两年结果
J Arthroplasty. 2015 Sep;30(9 Suppl):55-8. doi: 10.1016/j.arth.2015.04.049. Epub 2015 Jun 3.
2
Long-term results of porous-coated cementless total knee arthroplasty with screw fixation.带螺钉固定的多孔涂层非骨水泥全膝关节置换术的长期结果
Acta Orthop Traumatol Turc. 2013;47(5):347-53. doi: 10.3944/aott.2013.3196.
3
Uncemented HA-coated implant is the optimum fixation for TKA in the young patient.
非骨水泥型羟基磷灰石涂层植入物是年轻患者全膝关节置换术的最佳固定方式。
Clin Orthop Relat Res. 2006 Jul;448:129-39. doi: 10.1097/01.blo.0000224003.33260.74.
4
The press-fit condylar modular total knee system with a posterior cruciate-substituting design. A concise follow-up of a previous report.具有后交叉韧带替代设计的压配型髁模块化全膝关节系统。对上一份报告的简要随访。
J Bone Joint Surg Am. 2006 May;88(5):1006-10. doi: 10.2106/JBJS.C.01104.
5
Tibial fixation without screws in cementless total knee arthroplasty.
J Arthroplasty. 2006 Feb;21(2):237-41. doi: 10.1016/j.arth.2005.04.029.
6
The outcome of the cementless tibial component: a minimum 14-year clinical evaluation.非骨水泥型胫骨假体的结果:至少14年的临床评估
Clin Orthop Relat Res. 2004 Nov(428):214-20. doi: 10.1097/01.blo.0000148572.95121.f0.
7
Higher cumulative revision rate of knee arthroplasties in younger patients with osteoarthritis.年轻骨关节炎患者膝关节置换术的累积翻修率更高。
Clin Orthop Relat Res. 2004 Apr(421):162-8. doi: 10.1097/01.blo.0000127115.05754.ce.
8
The AGC all-polyethylene tibial component: a ten-year clinical evaluation.AGC全聚乙烯胫骨部件:十年临床评估
J Bone Joint Surg Am. 2003 Mar;85(3):489-93. doi: 10.2106/00004623-200303000-00014.
9
Session I: Long-term followup after total knee arthroplasty.第一场:全膝关节置换术后的长期随访
Clin Orthop Relat Res. 2002 Nov(404):32-3. doi: 10.1097/00003086-200211000-00006.
10
Coventry Award paper. Backsurface wear and deformation in polyethylene tibial inserts retrieved postmortem.考文垂奖论文。死后取出的聚乙烯胫骨衬垫的背面磨损与变形
Clin Orthop Relat Res. 2002 Nov(404):14-23. doi: 10.1097/00003086-200211000-00004.