• 文献检索
  • 文档翻译
  • 深度研究
  • 学术资讯
  • Suppr Zotero 插件Zotero 插件
  • 邀请有礼
  • 套餐&价格
  • 历史记录
应用&插件
Suppr Zotero 插件Zotero 插件浏览器插件Mac 客户端Windows 客户端微信小程序
定价
高级版会员购买积分包购买API积分包
服务
文献检索文档翻译深度研究API 文档MCP 服务
关于我们
关于 Suppr公司介绍联系我们用户协议隐私条款
关注我们

Suppr 超能文献

核心技术专利:CN118964589B侵权必究
粤ICP备2023148730 号-1Suppr @ 2026

文献检索

告别复杂PubMed语法,用中文像聊天一样搜索,搜遍4000万医学文献。AI智能推荐,让科研检索更轻松。

立即免费搜索

文件翻译

保留排版,准确专业,支持PDF/Word/PPT等文件格式,支持 12+语言互译。

免费翻译文档

深度研究

AI帮你快速写综述,25分钟生成高质量综述,智能提取关键信息,辅助科研写作。

立即免费体验

假牙导致的乙状结肠穿孔——一例罕见病例报告

Sigmoid perforation caused by dentures-A rare case report.

作者信息

Abdullah Mariya, Cui Jason, Hendaheva Rasika

机构信息

Caboolture Public Hospital, Queensland, 4510, Australia.

出版信息

Int J Surg Case Rep. 2017;41:280-282. doi: 10.1016/j.ijscr.2017.10.030. Epub 2017 Nov 8.

DOI:10.1016/j.ijscr.2017.10.030
PMID:29127915
原文链接:https://pmc.ncbi.nlm.nih.gov/articles/PMC5683739/
Abstract

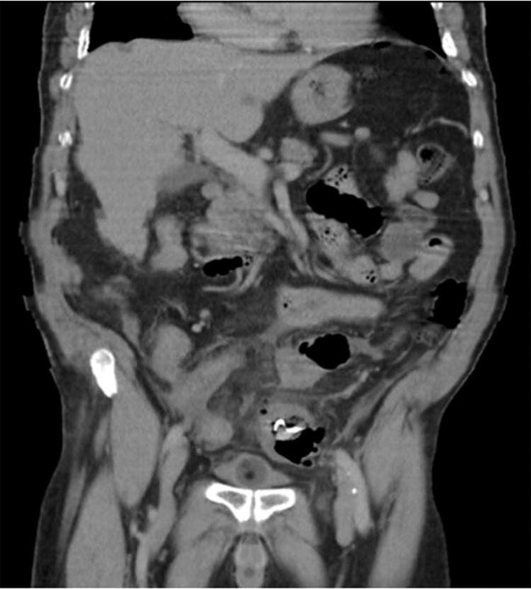
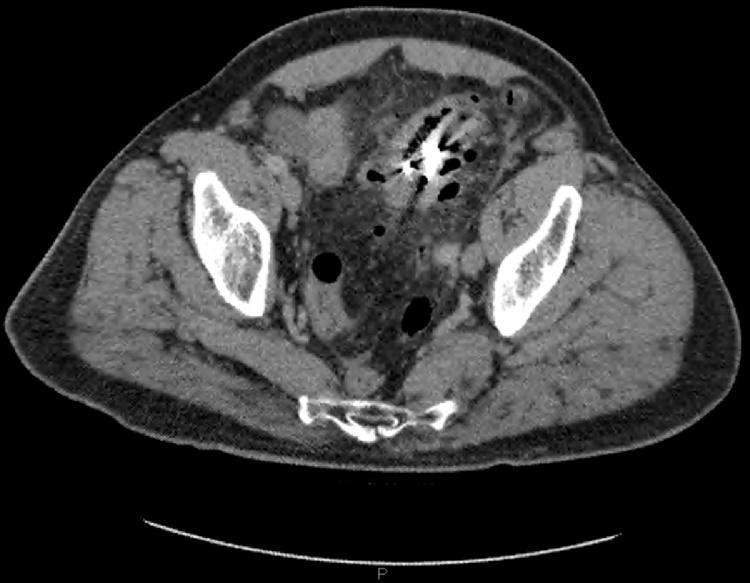
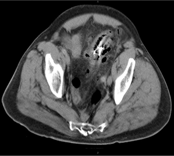
Rare case of an elderly male presenting to the emergency department with an acute abdomen few days post accidental ingestion of his dentures. A detailed history along with a CT abdomen showed perforation in the sigmoid colon adjacent to the site of the swallowed denture.

摘要

一名老年男性在意外吞食假牙几天后因急腹症就诊于急诊科,这种情况较为罕见。详细病史及腹部CT显示,乙状结肠在吞食假牙部位附近出现穿孔。

https://cdn.ncbi.nlm.nih.gov/pmc/blobs/6a08/5683739/52616376aad6/gr3.jpg
https://cdn.ncbi.nlm.nih.gov/pmc/blobs/6a08/5683739/a78180dc5c8d/gr1.jpg
https://cdn.ncbi.nlm.nih.gov/pmc/blobs/6a08/5683739/be872f742597/gr2.jpg
https://cdn.ncbi.nlm.nih.gov/pmc/blobs/6a08/5683739/52616376aad6/gr3.jpg
https://cdn.ncbi.nlm.nih.gov/pmc/blobs/6a08/5683739/a78180dc5c8d/gr1.jpg
https://cdn.ncbi.nlm.nih.gov/pmc/blobs/6a08/5683739/be872f742597/gr2.jpg
https://cdn.ncbi.nlm.nih.gov/pmc/blobs/6a08/5683739/52616376aad6/gr3.jpg

相似文献

1
Sigmoid perforation caused by dentures-A rare case report.假牙导致的乙状结肠穿孔——一例罕见病例报告
Int J Surg Case Rep. 2017;41:280-282. doi: 10.1016/j.ijscr.2017.10.030. Epub 2017 Nov 8.
2
A rare Case Report of Sigmoid Colon Perforation Due to Accidental Swallowing of Partial Denture.一例因意外吞咽局部义齿导致乙状结肠穿孔的罕见病例报告。
Indian J Surg. 2015 Apr;77(2):152-4. doi: 10.1007/s12262-015-1299-3. Epub 2015 Jun 5.
3
Impaction of swallowed dentures in the sigmoid colon requiring sigmoid colectomy.吞咽的假牙嵌顿于乙状结肠,需行乙状结肠切除术。
Int J Surg Case Rep. 2018;47:89-91. doi: 10.1016/j.ijscr.2018.04.033. Epub 2018 May 7.
4
Sigmoid Perforation by an Ingested Foreign Body Mimicking Acute Appendicitis: A Case Report.吞食异物模拟急性阑尾炎导致乙状结肠穿孔:一例报告
Cureus. 2024 Aug 14;16(8):e66855. doi: 10.7759/cureus.66855. eCollection 2024 Aug.
5
Swallowed dentures: Two cases and a review.吞咽假牙:两例病例及文献综述
Ann Med Surg (Lond). 2015 Oct 22;4(4):407-13. doi: 10.1016/j.amsu.2015.10.008. eCollection 2015 Dec.
6
Descending Colon Perforation Due to Ingestion of Foreign Body.因吞食异物导致降结肠穿孔
Cureus. 2023 Oct 22;15(10):e47479. doi: 10.7759/cureus.47479. eCollection 2023 Oct.
7
Colonic Perforation: A Case Report of a Rare Delayed Complication Due to Accidental Swallowing of Denture.结肠穿孔:一例因意外吞入假牙导致罕见延迟并发症的病例报告
Cureus. 2022 Jun 30;14(6):e26461. doi: 10.7759/cureus.26461. eCollection 2022 Jun.
8
Perforation of the sigmoid colon by swallowed chicken bone: case reports and review of literature.吞食鸡骨导致乙状结肠穿孔:病例报告及文献综述
Int Surg. 1981 Apr-Jun;66(2):181-3.
9
Duodenal perforation nine months after accidental foreign body ingestion, a case report.误吞异物九个月后十二指肠穿孔:一例报告
BMC Surg. 2019 Sep 10;19(1):132. doi: 10.1186/s12893-019-0594-5.
10
Surgically treated perforations of the gastrointestinal tract caused by ingested foreign bodies.因吞食异物导致的胃肠道穿孔的手术治疗
Colorectal Dis. 2008 Sep;10(7):701-7. doi: 10.1111/j.1463-1318.2007.01401.x. Epub 2007 Nov 12.

引用本文的文献

1
Perforation of the sigmoid colon with formation of a sigmoido-ureteral fistula caused by an ingested denture: a case report.因吞食假牙导致乙状结肠穿孔并形成乙状结肠-输尿管瘘:一例报告
J Surg Case Rep. 2025 Feb 10;2025(2):rjaf041. doi: 10.1093/jscr/rjaf041. eCollection 2025 Feb.
2
An unusual etiology of acute intestinal occlusion: The swallowed missing dentures a case reports and literature review.急性肠梗阻的一种罕见病因:吞咽缺失假牙——病例报告及文献综述
Int J Surg Case Rep. 2023 Sep;110:108770. doi: 10.1016/j.ijscr.2023.108770. Epub 2023 Aug 31.
3
Intestinal Perforation Secondary to Pits of Jujube Ingestion: A Single-Center Experience with 18 Cases.

本文引用的文献

1
Diagnosis and endoscopic management of upper gastrointestinal foreign bodies.上消化道异物的诊断和内镜处理。
Am J Med Sci. 2012 Mar;343(3):192-5. doi: 10.1097/MAJ.0b013e3182263035.
2
Surgically treated perforations of the gastrointestinal tract caused by ingested foreign bodies.因吞食异物导致的胃肠道穿孔的手术治疗
Colorectal Dis. 2008 Sep;10(7):701-7. doi: 10.1111/j.1463-1318.2007.01401.x. Epub 2007 Nov 12.
3
Unsuspected swallowing of a partial denture.意外吞咽局部义齿。
误食枣核继发肠穿孔:单中心18例经验
World J Surg. 2019 May;43(5):1198-1206. doi: 10.1007/s00268-018-04902-y.
AJNR Am J Neuroradiol. 2007 Oct;28(9):1734-5. doi: 10.3174/ajnr.A0658. Epub 2007 Sep 20.
4
Swallowed partial dentures.吞咽了局部义齿。
J R Soc Med. 2004 Feb;97(2):72-5. doi: 10.1177/014107680409700206.
5
Foreign bodies.异物
Radiographics. 2003 May-Jun;23(3):731-57. doi: 10.1148/rg.233025137.
6
Management of foreign bodies of the upper gastrointestinal tract: update.上消化道异物的处理:最新进展
Gastrointest Endosc. 1995 Jan;41(1):39-51. doi: 10.1016/s0016-5107(95)70274-1.