• 文献检索
  • 文档翻译
  • 深度研究
  • 学术资讯
  • Suppr Zotero 插件Zotero 插件
  • 邀请有礼
  • 套餐&价格
  • 历史记录
应用&插件
Suppr Zotero 插件Zotero 插件浏览器插件Mac 客户端Windows 客户端微信小程序
定价
高级版会员购买积分包购买API积分包
服务
文献检索文档翻译深度研究API 文档MCP 服务
关于我们
关于 Suppr公司介绍联系我们用户协议隐私条款
关注我们

Suppr 超能文献

核心技术专利:CN118964589B侵权必究
粤ICP备2023148730 号-1Suppr @ 2026

文献检索

告别复杂PubMed语法,用中文像聊天一样搜索,搜遍4000万医学文献。AI智能推荐,让科研检索更轻松。

立即免费搜索

文件翻译

保留排版,准确专业,支持PDF/Word/PPT等文件格式,支持 12+语言互译。

免费翻译文档

深度研究

AI帮你快速写综述,25分钟生成高质量综述,智能提取关键信息,辅助科研写作。

立即免费体验

原发性骨平滑肌肉瘤:一例病例报告及文献复习

Primary leiomyosarcoma of the bone: a case report and a review of the literature.

作者信息

Recine Federica, Bongiovanni Alberto, Casadei Roberto, Pieri Federica, Riva Nada, De Vita Alessandro, Mercatali Laura, Liverani Chiara, Spadazzi Chiara, Miserocchi Giacomo, Fausti Valentina, Amadori Dino, Ibrahim Toni

机构信息

Osteoncology and Rare Tumors Center, Istituto Scientifico Romagnolo per lo Studio e la Cura dei Tumori (IRST) IRCCS, Meldola Department of Orthopedics, Istituto Ortopedico Rizzoli, University of Bologna, Bologna Pathology Unit, Morgagni-Pierantoni Hospital, Forlì, Italy.

出版信息

Medicine (Baltimore). 2017 Nov;96(45):e8545. doi: 10.1097/MD.0000000000008545.

DOI:10.1097/MD.0000000000008545
PMID:29137065
原文链接:https://pmc.ncbi.nlm.nih.gov/articles/PMC5690758/
Abstract

RATIONALE

Leiomyosarcoma (LMS) is a malignant sarcoma that can occur in different anatomic sites, including the bone, showing similar histological characteristics but heterogeneous clinical behavior and prognosis. Primary bone LMS was first described in 1965. It is a very rare sarcoma, accounting for <0.7% of all primary malignant bone tumors.

PATIENT CONCERNS

We report the case of a 52-year-old male with primary bone LMS who presented with a solitary osteolytic lesion with focal cortical destruction in the left clavicle, seen on an x-ray and subsequent computed tomography (CT) scan.

DIAGNOSIS

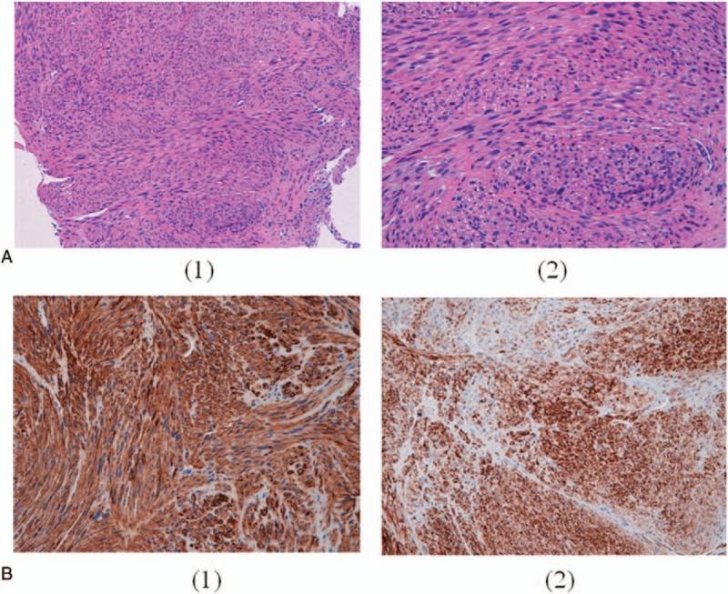
The multidisciplinary Osteoncology team of our institute planned a biopsy that revealed the presence of spindle and pleomorphic cells with a positive reaction for smooth muscle actin and desmin at immunohistochemical analysis, without the presence of cartilage or bone matrix. These results were consistent with a high-grade malignant LMS arising from the bone.

INTERVENTIONS

Complete surgical resection of the tumor was performed and a decision was made with the patient not to proceed with adjuvant chemotherapy or radiotherapy.

OUTCOMES

After more than 1 year of surgery, the patient is well, with no evidence of recurrent or metastatic disease. Follow-up is ongoing.

LESSONS

Little is known about the biology and clinical behavior of bone LMS due to its extreme rarity. A multidisciplinary team in a specialized center is needed for the optimal management of the disease. Surgery with a curative intent is the cornerstone of treatment of localized disease. No data are available about chemotherapy in neoadjuvant, adjuvant, or advanced settings. Further research is needed to identify more effective therapies.

摘要

理论依据

平滑肌肉瘤(LMS)是一种恶性肉瘤,可发生于不同解剖部位,包括骨骼,其组织学特征相似,但临床行为和预后存在异质性。原发性骨平滑肌肉瘤于1965年首次被描述。它是一种非常罕见的肉瘤,占所有原发性恶性骨肿瘤的比例不到0.7%。

患者情况

我们报告了一例52岁男性原发性骨平滑肌肉瘤患者,X线及后续计算机断层扫描(CT)显示其左锁骨有一个孤立的溶骨性病变,伴有局灶性皮质破坏。

诊断

我们研究所的多学科骨肿瘤团队计划进行活检,免疫组织化学分析显示存在梭形和多形性细胞,平滑肌肌动蛋白和结蛋白呈阳性反应,且不存在软骨或骨基质。这些结果与起源于骨的高级别恶性平滑肌肉瘤一致。

干预措施

对肿瘤进行了完整的手术切除,并与患者决定不进行辅助化疗或放疗。

结果

手术后1年多,患者情况良好,无复发或转移疾病迹象。随访正在进行中。

经验教训

由于骨平滑肌肉瘤极为罕见,对其生物学特性和临床行为了解甚少。对于该疾病的最佳管理需要专业中心的多学科团队。以治愈为目的的手术是局限性疾病治疗的基石。关于新辅助、辅助或晚期情况下化疗的数据尚无可用。需要进一步研究以确定更有效的治疗方法。

https://cdn.ncbi.nlm.nih.gov/pmc/blobs/0a74/5690758/62ee9b4d2821/medi-96-e8545-g002.jpg
https://cdn.ncbi.nlm.nih.gov/pmc/blobs/0a74/5690758/24cc02462094/medi-96-e8545-g001.jpg
https://cdn.ncbi.nlm.nih.gov/pmc/blobs/0a74/5690758/62ee9b4d2821/medi-96-e8545-g002.jpg
https://cdn.ncbi.nlm.nih.gov/pmc/blobs/0a74/5690758/24cc02462094/medi-96-e8545-g001.jpg
https://cdn.ncbi.nlm.nih.gov/pmc/blobs/0a74/5690758/62ee9b4d2821/medi-96-e8545-g002.jpg

相似文献

1
Primary leiomyosarcoma of the bone: a case report and a review of the literature.原发性骨平滑肌肉瘤:一例病例报告及文献复习
Medicine (Baltimore). 2017 Nov;96(45):e8545. doi: 10.1097/MD.0000000000008545.
2
Primary bone leiomyosarcoma of distal femur: case report and literature review.股骨远端原发性骨平滑肌肉瘤:病例报告及文献复习。
Rom J Morphol Embryol. 2022 Jul-Sep;63(3):569-574. doi: 10.47162/RJME.63.3.12.
3
Primary leiomyosarcoma of bone: a clinicopathologic, immunohistochemical, and ultrastructural study of 33 patients and a literature review.骨原发性平滑肌肉瘤:33例患者的临床病理、免疫组织化学及超微结构研究并文献复习
Am J Surg Pathol. 1997 Nov;21(11):1281-94. doi: 10.1097/00000478-199711000-00003.
4
Primary leiomyosarcoma of bone--a clinicopathologic study of 8 uncommon cases with immunohistochemical analysis and clinical outcomes.骨原发性平滑肌肉瘤——8 例罕见病例的临床病理研究,包括免疫组织化学分析和临床结果。
Ann Diagn Pathol. 2011 Jun;15(3):147-56. doi: 10.1016/j.anndiagpath.2010.11.006. Epub 2011 Mar 10.
5
[Pleomorphic and dedifferentiated leiomyosarcoma: a clinicopathologic analysis].[多形性与去分化平滑肌肉瘤:一项临床病理分析]
Zhonghua Bing Li Xue Za Zhi. 2018 Feb 8;47(2):87-93. doi: 10.3760/cma.j.issn.0529-5807.2018.02.002.
6
Primary leiomyosarcoma of the spine: A case report and literature review.脊柱原发性平滑肌肉瘤:一例报告及文献复习
Medicine (Baltimore). 2017 Mar;96(9):e6227. doi: 10.1097/MD.0000000000006227.
7
Primary leiomyosarcoma in the colon: A case report.结肠原发性平滑肌肉瘤:一例报告。
Medicine (Baltimore). 2018 Feb;97(7):e9923. doi: 10.1097/MD.0000000000009923.
8
Leiomyosarcoma of bone. A clinicopathologic, immunohistochemical, and ultrastructural study of five cases.骨平滑肌肉瘤。5例临床病理、免疫组化及超微结构研究。
Cancer. 1991 Feb 15;67(4):1051-6. doi: 10.1002/1097-0142(19910215)67:4<1051::aid-cncr2820670431>3.0.co;2-4.
9
Primary epithelioid leiomyosarcoma of bone. Case report and literature review.骨原发性上皮样平滑肌肉瘤。病例报告及文献复习。
Virchows Arch. 1999 Apr;434(4):367-71. doi: 10.1007/s004280050354.
10
Metatarsal leiomyosarcoma masquerading as acute osteomyelitis - A diagnostic trap unveiled by vigilant clinical, radiologic and pathologic analysis.伪装成急性骨髓炎的跖骨平滑肌肉瘤——警惕的临床、放射学和病理学分析揭示的诊断陷阱
Foot (Edinb). 2016 Jun;27:10-5. doi: 10.1016/j.foot.2015.09.003. Epub 2015 Sep 14.

引用本文的文献

1
Primary Osseous Leiomyosarcoma of Talus Mimicking Idiopathic Transient Osteoporosis: A Case Report and Literature Review.酷似特发性短暂性骨质疏松症的距骨原发性骨平滑肌肉瘤:一例报告及文献复习
Cureus. 2025 May 14;17(5):e84127. doi: 10.7759/cureus.84127. eCollection 2025 May.
2
Leiomyosarcoma of the Bone: A Case Report on the Critical Role of Biomarkers in Differential Diagnosis.骨平滑肌肉瘤:一例关于生物标志物在鉴别诊断中关键作用的病例报告
Sage Open Pathol. 2025 Mar 31;18:30502098251327064. doi: 10.1177/30502098251327064. eCollection 2025 Jan-Dec.
3
Anterior Clinoid Process Metastasis with Sudden Loss of Vision: Role of Emergency Optic Nerve Decompression.

本文引用的文献

1
Forty-eight cases of leiomyosarcoma of bone in Japan: A multicenter study from the Japanese musculoskeletal oncology group.日本48例骨平滑肌肉瘤:来自日本肌肉骨骼肿瘤学组的多中心研究。
J Surg Oncol. 2016 Sep;114(4):495-500. doi: 10.1002/jso.24322. Epub 2016 Jun 15.
2
Cancer statistics, 2016.癌症统计数据,2016 年。
CA Cancer J Clin. 2016 Jan-Feb;66(1):7-30. doi: 10.3322/caac.21332. Epub 2016 Jan 7.
3
Long-term recurrence of soft tissue sarcomas: prognostic factors and implications for prolonged follow-up.软组织肉瘤的长期复发:预后因素及其对长期随访的影响。
前床突转移瘤伴突发视力丧失:急诊视神经减压术的作用
Asian J Neurosurg. 2025 Mar 24;20(2):423-426. doi: 10.1055/s-0045-1806729. eCollection 2025 Jun.
4
Rare Case of Primary Leiomyosarcoma of Bone - Findings on 18F-fluorodeoxyglucose Positron Emission Tomography/Computed Tomography.骨原发性平滑肌肉瘤罕见病例——18F-氟脱氧葡萄糖正电子发射断层扫描/计算机断层扫描结果
Indian J Nucl Med. 2024 Jan-Feb;39(1):52-54. doi: 10.4103/ijnm.ijnm_85_23. Epub 2024 Mar 27.
5
What Is the Impact of Multimodal Treatment in Patients with Leiomyosarcoma of Bone? A Multicenter Study of 35 Patients with an Ultra-Rare Tumor Entity.多模式治疗对骨平滑肌肉瘤患者有何影响?一项针对35例超罕见肿瘤实体患者的多中心研究。
Cancers (Basel). 2024 Apr 24;16(9):1633. doi: 10.3390/cancers16091633.
6
Proximal Tibia Primary Leiomyosarcoma: A Case Report and Review of Literature.胫骨近端原发性平滑肌肉瘤:一例报告并文献复习
Cureus. 2023 Aug 18;15(8):e43712. doi: 10.7759/cureus.43712. eCollection 2023 Aug.
7
Case report and literature review: Primary leiomyosarcoma of the bone in the trochanteric region of the femur.病例报告与文献综述:股骨转子区原发性骨平滑肌肉瘤
Front Surg. 2023 Jan 10;9:1045307. doi: 10.3389/fsurg.2022.1045307. eCollection 2022.
8
Primary bone leiomyosarcoma of distal femur: case report and literature review.股骨远端原发性骨平滑肌肉瘤:病例报告及文献复习。
Rom J Morphol Embryol. 2022 Jul-Sep;63(3):569-574. doi: 10.47162/RJME.63.3.12.
9
Primary leiomyosarcoma of the spine: an analysis of imaging manifestations and clinicopathological findings.脊柱原发性平滑肌肉瘤:影像学表现与临床病理结果分析
Insights Imaging. 2022 Dec 15;13(1):195. doi: 10.1186/s13244-022-01336-y.
10
Case report: High-grade endometrial stromal sarcoma with adrenal glands metastases: An unreported site of metastasis.病例报告:伴有肾上腺转移的高级别子宫内膜间质肉瘤:一个未报道过的转移部位。
Front Oncol. 2022 Nov 23;12:1058700. doi: 10.3389/fonc.2022.1058700. eCollection 2022.
Cancer. 2014 Oct 1;120(19):3003-6. doi: 10.1002/cncr.28836. Epub 2014 Jun 18.
4
Doxorubicin alone versus intensified doxorubicin plus ifosfamide for first-line treatment of advanced or metastatic soft-tissue sarcoma: a randomised controlled phase 3 trial.多柔比星单药与强化多柔比星联合异环磷酰胺一线治疗晚期或转移性软组织肉瘤的随机对照 3 期试验。
Lancet Oncol. 2014 Apr;15(4):415-23. doi: 10.1016/S1470-2045(14)70063-4. Epub 2014 Mar 5.
5
Diagnosis, prognosis, and management of leiomyosarcoma: recognition of anatomic variants.平滑肌肉瘤的诊断、预后和处理:解剖变异的识别。
Curr Opin Oncol. 2013 Jul;25(4):384-9. doi: 10.1097/CCO.0b013e3283622c77.
6
Primary leiomyosarcoma of bone: analysis of prognosis.骨原发性平滑肌肉瘤:预后分析
Sarcoma. 2012;2012:636849. doi: 10.1155/2012/636849. Epub 2012 Mar 11.
7
The 'other' bone sarcomas: prognostic factors and outcomes of spindle cell sarcomas of bone.“其他”骨肉瘤:骨梭形细胞肉瘤的预后因素及结果
J Bone Joint Surg Br. 2011 Sep;93(9):1271-8. doi: 10.1302/0301-620X.93B9.27166.
8
Primary leiomyosarcoma of bone--a clinicopathologic study of 8 uncommon cases with immunohistochemical analysis and clinical outcomes.骨原发性平滑肌肉瘤——8 例罕见病例的临床病理研究,包括免疫组织化学分析和临床结果。
Ann Diagn Pathol. 2011 Jun;15(3):147-56. doi: 10.1016/j.anndiagpath.2010.11.006. Epub 2011 Mar 10.
9
Primary leiomyosarcoma of extragnathic bone: clinicopathologic features and reevaluation of prognosis.颌骨外原发性平滑肌肉瘤:临床病理特征及预后再评估
Arch Pathol Lab Med. 2009 Sep;133(9):1448-56. doi: 10.5858/133.9.1448.
10
Primary leiomyosarcoma of bone: a report on three patients.骨原发性平滑肌肉瘤:三例病例报告
Clin Imaging. 2008 Jul-Aug;32(4):321-5. doi: 10.1016/j.clinimag.2007.10.022.