• 文献检索
  • 文档翻译
  • 深度研究
  • 学术资讯
  • Suppr Zotero 插件Zotero 插件
  • 邀请有礼
  • 套餐&价格
  • 历史记录
应用&插件
Suppr Zotero 插件Zotero 插件浏览器插件Mac 客户端Windows 客户端微信小程序
定价
高级版会员购买积分包购买API积分包
服务
文献检索文档翻译深度研究API 文档MCP 服务
关于我们
关于 Suppr公司介绍联系我们用户协议隐私条款
关注我们

Suppr 超能文献

核心技术专利:CN118964589B侵权必究
粤ICP备2023148730 号-1Suppr @ 2026

文献检索

告别复杂PubMed语法,用中文像聊天一样搜索,搜遍4000万医学文献。AI智能推荐,让科研检索更轻松。

立即免费搜索

文件翻译

保留排版,准确专业,支持PDF/Word/PPT等文件格式,支持 12+语言互译。

免费翻译文档

深度研究

AI帮你快速写综述,25分钟生成高质量综述,智能提取关键信息,辅助科研写作。

立即免费体验

一例罕见的高位起始右冠状动脉偶然发现:病例报告。

An incidental encounter of a rare high take-off right coronary artery: A case report.

作者信息

Deng Xicheng, Huang Peng, Chen Wenjuan, Yang Xiaohui, Liu Qianjun, Xiao Yunbin, He Cheng

机构信息

Heart Center Department of Ultrasound and Echocardiography, Hunan Children's Hospital, Hunan, China Department of Cardiothoracic Surgery, Alfred Hospital, Melbourne, Victoria, Australia.

出版信息

Medicine (Baltimore). 2017 Nov;96(45):e8614. doi: 10.1097/MD.0000000000008614.

DOI:10.1097/MD.0000000000008614
PMID:29137093
原文链接:https://pmc.ncbi.nlm.nih.gov/articles/PMC5690786/
Abstract

RATIONALE

High take-off of the coronary arteries is a rare cardiac anatomic anomaly, which may occur independently or with other congenital heart defects. In the clinical setting, it is noteworthy as a cause of sudden cardiac death. Further, it is vital to identify such anomalies to avoid intraoperative catastrophes in surgeries for congenital heart defects.

PATIENT CONCERNS

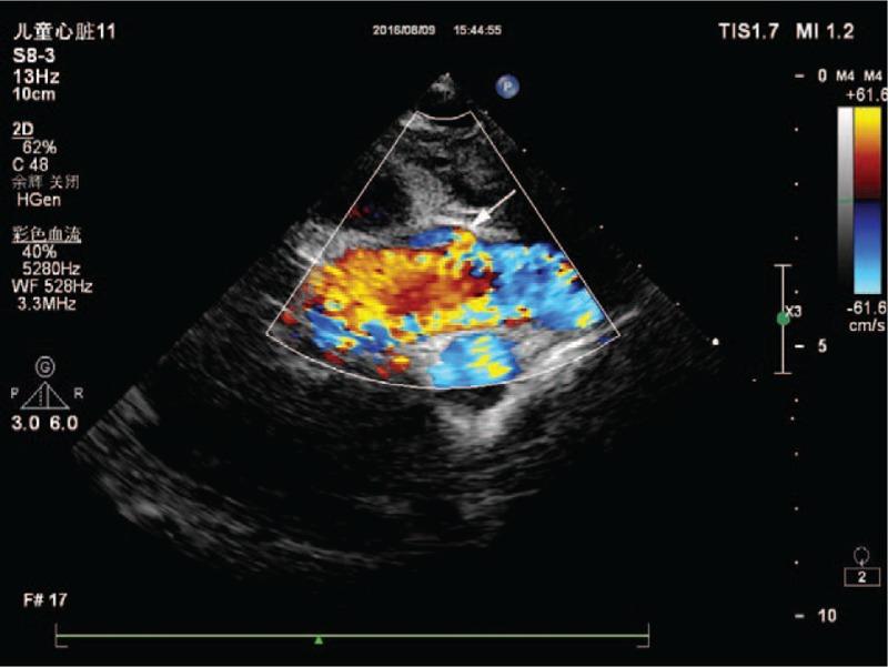
A II/6 systolic heart murmur on physical examination was incidentally found in a 9-year-old boy; he was confirmed to have a secundum-type atrial septal defect on echocardiography. He was referred to our institution for elective surgery.

DIAGNOSES

The preoperative echocardiogram confirmed the presence of an atrial septal defect, and during the surgical procedure, a high take-off right coronary artery was found.

INTERVENTIONS

The atrial septal defect was closed surgically, and care was taken to avoid clamping the anomalous right coronary artery when placing the aortic cross-clamp.

OUTCOMES

Postoperative echocardiogram verified the presence of the high take-off right coronary artery and a satisfactory repair of the atrial septal defect. The postoperative course was uneventful, and the patient was discharged on postoperative day 5.

LESSONS

This case suggests that it is critical to perform echocardiography to assess the anatomy of the coronary arteries, especially in pediatric cardiac patients. In addition, multi-detector computed tomography may be considered if appropriate. Care should be taken to assess the coronary anatomy for anomalies during interventional therapy or surgery, especially in congenital cases.

摘要

理论依据

冠状动脉高位起始是一种罕见的心脏解剖异常,可单独出现或与其他先天性心脏缺陷并存。在临床环境中,它作为心源性猝死的一个原因值得关注。此外,识别此类异常对于避免先天性心脏缺陷手术中的术中灾难至关重要。

患者情况

一名9岁男孩在体格检查时偶然发现II/6级收缩期心脏杂音;超声心动图证实他患有继发孔型房间隔缺损。他被转诊至我院进行择期手术。

诊断

术前超声心动图证实存在房间隔缺损,手术过程中发现右冠状动脉高位起始。

干预措施

通过手术闭合房间隔缺损,在放置主动脉交叉钳夹时注意避免钳夹异常的右冠状动脉。

结果

术后超声心动图证实右冠状动脉高位起始存在,房间隔缺损修复满意。术后过程顺利,患者于术后第5天出院。

经验教训

该病例表明,进行超声心动图检查以评估冠状动脉解剖结构至关重要,尤其是在小儿心脏患者中。此外,如有必要可考虑使用多排螺旋计算机断层扫描。在介入治疗或手术期间,尤其是先天性病例,应注意评估冠状动脉解剖结构是否存在异常。

https://cdn.ncbi.nlm.nih.gov/pmc/blobs/0341/5690786/d623be7d5420/medi-96-e8614-g004.jpg
https://cdn.ncbi.nlm.nih.gov/pmc/blobs/0341/5690786/81fab105cb37/medi-96-e8614-g001.jpg
https://cdn.ncbi.nlm.nih.gov/pmc/blobs/0341/5690786/3c79f54e9909/medi-96-e8614-g002.jpg
https://cdn.ncbi.nlm.nih.gov/pmc/blobs/0341/5690786/98c3baab61c9/medi-96-e8614-g003.jpg
https://cdn.ncbi.nlm.nih.gov/pmc/blobs/0341/5690786/d623be7d5420/medi-96-e8614-g004.jpg
https://cdn.ncbi.nlm.nih.gov/pmc/blobs/0341/5690786/81fab105cb37/medi-96-e8614-g001.jpg
https://cdn.ncbi.nlm.nih.gov/pmc/blobs/0341/5690786/3c79f54e9909/medi-96-e8614-g002.jpg
https://cdn.ncbi.nlm.nih.gov/pmc/blobs/0341/5690786/98c3baab61c9/medi-96-e8614-g003.jpg
https://cdn.ncbi.nlm.nih.gov/pmc/blobs/0341/5690786/d623be7d5420/medi-96-e8614-g004.jpg

相似文献

1
An incidental encounter of a rare high take-off right coronary artery: A case report.一例罕见的高位起始右冠状动脉偶然发现:病例报告。
Medicine (Baltimore). 2017 Nov;96(45):e8614. doi: 10.1097/MD.0000000000008614.
2
A hazardous finding of a rare anomalous left main coronary artery in a patient with a secundum atrial septal defect.一名继发孔型房间隔缺损患者发现罕见的异常左冠状动脉,这是一个危险的发现。
Vasc Health Risk Manag. 2008;4(1):259-62. doi: 10.2147/vhrm.2008.04.01.259.
3
Coronary Confusion? An Unexpected Congenital Anomaly in a Patient with an Ostium Secundum Atrial Septal Defect.冠状动脉紊乱?继发孔型房间隔缺损患者中一种意外的先天性异常。
J Cardiothorac Vasc Anesth. 2019 Sep;33(9):2600-2603. doi: 10.1053/j.jvca.2019.03.028. Epub 2019 Mar 16.
4
Anomalous origin of the right coronary artery from the pulmonary artery in an infant with a heart murmur: Case report.一名患有心脏杂音的婴儿右冠状动脉起源于肺动脉异常:病例报告。
Arch Argent Pediatr. 2018 Dec 1;116(6):e789-e792. doi: 10.5546/aap.2018.eng.e789.
5
A rare case of unroofed coronary sinus with a secundum atrial septal defect incidentally detected by computed tomography.计算机断层扫描偶然发现的1例罕见的无顶冠状静脉窦合并继发孔型房间隔缺损。
J Cardiovasc Comput Tomogr. 2020 Nov-Dec;14(6):e105-e106. doi: 10.1016/j.jcct.2019.03.001. Epub 2019 Mar 13.
6
Percutaneous closure of atrial septal defects in patients with an aberrant retroaortic coronary artery: is it safe?
Congenit Heart Dis. 2014 Sep-Oct;9(5):E163-8. doi: 10.1111/chd.12116. Epub 2013 Jul 3.
7
A circumflex coronary artery-to-right atrial fistula in a 10-month-old child.一名10个月大儿童的冠状动脉回旋支至右心房瘘。
Cardiovasc J Afr. 2016 Dec 23;27(6):e1-e3. doi: 10.5830/CVJA-2016-044.
8
Anomalous origin of the circumflex coronary artery in a patient with atrial and ventricular septal defects.一名患有房间隔和室间隔缺损患者的回旋支冠状动脉异常起源。
Cardiol Young. 2004 Feb;14(1):96-8. doi: 10.1017/s1047951104001192.
9
Hybrid repair of pectus excavatum and congenital heart disease: A case report.漏斗胸与先天性心脏病的杂交修复术:一例报告
Medicine (Baltimore). 2017 Dec;96(51):e9503. doi: 10.1097/MD.0000000000009503.
10
Myocardial ischemia induced by anomalous aortic origin of the right coronary artery in a patient with atrial septal defect.
Jpn Heart J. 2001 May;42(3):371-6. doi: 10.1536/jhj.42.371.

引用本文的文献

1
The Role of MDCT Coronary Angiography in the Detection of Benign Varieties and Anomalies of Coronary Blood Vessels-A Narrative Review.多层螺旋CT冠状动脉造影在检测冠状动脉良性变异和异常中的作用——一项叙述性综述
Medicina (Kaunas). 2025 Apr 21;61(4):765. doi: 10.3390/medicina61040765.
2
High Reimplantation of Coronary Arteries After the Switch Procedure and Associated Stenoses.转换手术后冠状动脉的高再植入及相关狭窄
Pediatr Cardiol. 2025 Aug;46(6):1710-1718. doi: 10.1007/s00246-024-03592-9. Epub 2024 Jul 24.
3
Non-selective Aortic Root Angiographic Contrast Injection in a Case of Anomalous Right Coronary Artery Ostium.

本文引用的文献

1
A practical guide to pediatric coronary artery imaging with echocardiography.小儿冠状动脉超声心动图成像实用指南。
J Am Soc Echocardiogr. 2015 Apr;28(4):379-91. doi: 10.1016/j.echo.2015.01.008. Epub 2015 Feb 15.
2
Anomalous "High Take-Off" of the right coronary artery evaluated by coronary CT angiography.冠状动脉CT血管造影评估右冠状动脉异常“高位起始”
Catheter Cardiovasc Interv. 2013 Nov 15;82(6):E765-8. doi: 10.1002/ccd.22650. Epub 2010 Jun 1.
3
High anomalous origin of the right coronary artery associated with aortic stenosis: a word of caution.
一例右冠状动脉开口异常患者的非选择性主动脉根部血管造影对比剂注射
Cureus. 2023 Aug 4;15(8):e42945. doi: 10.7759/cureus.42945. eCollection 2023 Aug.
右冠状动脉高位起源合并主动脉瓣狭窄:需要谨慎。
Ann Thorac Surg. 2010 Mar;89(3):961-3. doi: 10.1016/j.athoracsur.2009.07.055.
4
High take-off of right coronary artery: an extremely rare case of RCA anomaly.右冠状动脉高位起始:一例极其罕见的右冠状动脉异常病例。
J Card Surg. 2009 May-Jun;24(3):343-5. doi: 10.1111/j.1540-8191.2009.00834.x.
5
Congenital coronary artery anomalies in adults: non-invasive assessment with multidetector CT.成人先天性冠状动脉异常:多层螺旋CT的无创评估
Br J Radiol. 2009 Mar;82(975):254-61. doi: 10.1259/bjr/80369775. Epub 2008 Nov 11.
6
Right coronary artery with high takeoff.
Ann Thorac Surg. 2007 May;83(5):1867-9. doi: 10.1016/j.athoracsur.2006.11.032.
7
Acute coronary syndrome due to high aortocoronary junction of the right coronary artery: the value of multislice CT.右冠状动脉主动脉冠状动脉连接处高位所致急性冠状动脉综合征:多层螺旋CT的价值
Int J Cardiol. 2008 Jan 24;123(3):e59-61. doi: 10.1016/j.ijcard.2006.11.154. Epub 2007 Mar 6.
8
Successful surgical repair of a ventricular septal defect and high take-off of the right coronary artery in an infant.婴儿室间隔缺损及右冠状动脉高位起始的成功手术修复
Jpn J Thorac Cardiovasc Surg. 2002 Oct;50(10):445-7. doi: 10.1007/BF02913181.
9
Anomalous origin of right coronary artery above the sinus of Valsalva: observation by transthoracic echocardiography.右冠状动脉发自主动脉瓣窦上方的异常起源:经胸超声心动图观察
J Am Soc Echocardiogr. 2002 Mar;15(3):264-6. doi: 10.1067/mje.2002.117900.
10
High origin of the right coronary artery with congenital heart disease.
Ann Thorac Surg. 1999 Feb;67(2):558-9. doi: 10.1016/s0003-4975(98)01293-4.