• 文献检索
  • 文档翻译
  • 深度研究
  • 学术资讯
  • Suppr Zotero 插件Zotero 插件
  • 邀请有礼
  • 套餐&价格
  • 历史记录
应用&插件
Suppr Zotero 插件Zotero 插件浏览器插件Mac 客户端Windows 客户端微信小程序
定价
高级版会员购买积分包购买API积分包
服务
文献检索文档翻译深度研究API 文档MCP 服务
关于我们
关于 Suppr公司介绍联系我们用户协议隐私条款
关注我们

Suppr 超能文献

核心技术专利:CN118964589B侵权必究
粤ICP备2023148730 号-1Suppr @ 2026

文献检索

告别复杂PubMed语法,用中文像聊天一样搜索,搜遍4000万医学文献。AI智能推荐,让科研检索更轻松。

立即免费搜索

文件翻译

保留排版,准确专业,支持PDF/Word/PPT等文件格式,支持 12+语言互译。

免费翻译文档

深度研究

AI帮你快速写综述,25分钟生成高质量综述,智能提取关键信息,辅助科研写作。

立即免费体验

Bax抑制肽减轻博来霉素诱导的小鼠肺损伤。

Bax-inhibiting peptide attenuates bleomycin-induced lung injury in mice.

作者信息

Suzuki Kunihiro, Yanagihara Toyoshi, Yokoyama Tetsuya, Maeyama Takashige, Ogata-Suetsugu Saiko, Arimura-Omori Masako, Mikumo Hironori, Hamada Naoki, Harada Eiji, Kuwano Kazuyoshi, Harada Taishi, Nakanishi Yoichi

机构信息

Research Institute for Diseases of the Chest, Graduate School of Medical Sciences, Kyushu University, Fukuoka, 812-8582, Japan.

Research Institute for Diseases of the Chest, Graduate School of Medical Sciences, Kyushu University, Fukuoka, 812-8582, Japan

出版信息

Biol Open. 2017 Dec 15;6(12):1869-1875. doi: 10.1242/bio.026005.

DOI:10.1242/bio.026005
PMID:29138212
原文链接:https://pmc.ncbi.nlm.nih.gov/articles/PMC5769644/
Abstract

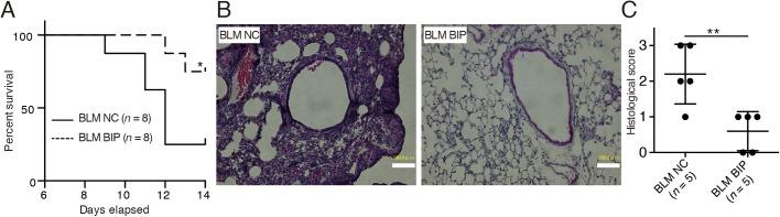
Bax is a pro-apoptotic member of the Bcl-2 family of proteins, and plays a central role in mitochondria-dependent apoptosis. Several lines of evidence have implied that Bax is involved in both epithelial apoptosis and fibroblast proliferation in idiopathic pulmonary fibrosis; however, the mechanisms remain unknown. Bax-inhibiting peptide V5 (BIP-V5) exhibits membrane permeability and inhibits the activation of Bax.The purpose of this study was to investigate whether the control of Bax activity by BIP-V5 reduces the degree of bleomycin-induced lung injury. C57BL/6J mice were administered bleomycin and BIP-V5 intratracheally on day 0. Bronchoalveolar lavage fluid and lung tissue were obtained on day 7. Human pulmonary alveolar epithelial cells (A549 cells) and mouse pulmonary alveolar epithelial cells (LA-4 cells) were stimulated with bleomycin to induce apoptosis.Administration of BIP-V5 improved the survival rate and degree of bleomycin-induced lung injury by suppressing Bax activation in mice. BIP-V5 treatment decreased bleomycin-induced apoptosis of alveolar epithelial cell lines (A549 cells and LA-4 cells) by suppressing Bax activation. These results indicate that administration of BIP-V5 may constitute a novel therapeutic strategy against lung injury.

摘要

Bax是Bcl-2蛋白家族中的一种促凋亡成员,在依赖线粒体的细胞凋亡中起核心作用。多项证据表明,Bax参与了特发性肺纤维化中的上皮细胞凋亡和成纤维细胞增殖;然而,其机制仍不清楚。Bax抑制肽V5(BIP-V5)具有膜通透性,并能抑制Bax的激活。本研究的目的是探讨BIP-V5对Bax活性的调控是否能减轻博来霉素诱导的肺损伤程度。在第0天对C57BL/6J小鼠气管内给予博来霉素和BIP-V5。在第7天获取支气管肺泡灌洗液和肺组织。用博来霉素刺激人肺泡上皮细胞(A549细胞)和小鼠肺泡上皮细胞(LA-4细胞)以诱导细胞凋亡。给予BIP-V5可通过抑制小鼠体内Bax的激活来提高博来霉素诱导的肺损伤的存活率和减轻损伤程度。BIP-V5处理通过抑制Bax激活降低了博来霉素诱导的肺泡上皮细胞系(A549细胞和LA-4细胞)的凋亡。这些结果表明,给予BIP-V5可能构成一种针对肺损伤的新型治疗策略。

https://cdn.ncbi.nlm.nih.gov/pmc/blobs/c0ae/5769644/6f0df103d8d4/biolopen-6-026005-g6.jpg
https://cdn.ncbi.nlm.nih.gov/pmc/blobs/c0ae/5769644/3e00dc8080a6/biolopen-6-026005-g1.jpg
https://cdn.ncbi.nlm.nih.gov/pmc/blobs/c0ae/5769644/7ef6ee13ceae/biolopen-6-026005-g2.jpg
https://cdn.ncbi.nlm.nih.gov/pmc/blobs/c0ae/5769644/8510dc9cb097/biolopen-6-026005-g3.jpg
https://cdn.ncbi.nlm.nih.gov/pmc/blobs/c0ae/5769644/0d414a1f9d71/biolopen-6-026005-g4.jpg
https://cdn.ncbi.nlm.nih.gov/pmc/blobs/c0ae/5769644/f18d45445312/biolopen-6-026005-g5.jpg
https://cdn.ncbi.nlm.nih.gov/pmc/blobs/c0ae/5769644/6f0df103d8d4/biolopen-6-026005-g6.jpg
https://cdn.ncbi.nlm.nih.gov/pmc/blobs/c0ae/5769644/3e00dc8080a6/biolopen-6-026005-g1.jpg
https://cdn.ncbi.nlm.nih.gov/pmc/blobs/c0ae/5769644/7ef6ee13ceae/biolopen-6-026005-g2.jpg
https://cdn.ncbi.nlm.nih.gov/pmc/blobs/c0ae/5769644/8510dc9cb097/biolopen-6-026005-g3.jpg
https://cdn.ncbi.nlm.nih.gov/pmc/blobs/c0ae/5769644/0d414a1f9d71/biolopen-6-026005-g4.jpg
https://cdn.ncbi.nlm.nih.gov/pmc/blobs/c0ae/5769644/f18d45445312/biolopen-6-026005-g5.jpg
https://cdn.ncbi.nlm.nih.gov/pmc/blobs/c0ae/5769644/6f0df103d8d4/biolopen-6-026005-g6.jpg

相似文献

1
Bax-inhibiting peptide attenuates bleomycin-induced lung injury in mice.Bax抑制肽减轻博来霉素诱导的小鼠肺损伤。
Biol Open. 2017 Dec 15;6(12):1869-1875. doi: 10.1242/bio.026005.
2
Effects of elastase inhibitor on the epithelial cell apoptosis in bleomycin-induced pulmonary fibrosis.弹性蛋白酶抑制剂对博来霉素诱导的肺纤维化中上皮细胞凋亡的影响。
Exp Lung Res. 2009 Dec;35(10):817-29. doi: 10.3109/01902140902912527.
3
Maresin 1 Inhibits Epithelial-to-Mesenchymal Transition in Vitro and Attenuates Bleomycin Induced Lung Fibrosis in Vivo.maresin 1在体外抑制上皮-间质转化并在体内减轻博来霉素诱导的肺纤维化。
Shock. 2015 Nov;44(5):496-502. doi: 10.1097/SHK.0000000000000446.
4
Prominin-1/CD133+ lung epithelial progenitors protect from bleomycin-induced pulmonary fibrosis.Prominin-1/CD133+肺上皮祖细胞可预防博来霉素诱导的肺纤维化。
Am J Respir Crit Care Med. 2009 May 15;179(10):939-49. doi: 10.1164/rccm.200809-1390OC. Epub 2009 Feb 20.
5
Ghrelin ameliorates bleomycin-induced acute lung injury by protecting alveolar epithelial cells and suppressing lung inflammation.Ghrelin 通过保护肺泡上皮细胞和抑制肺炎症来改善博来霉素诱导的急性肺损伤。
Eur J Pharmacol. 2011 Dec 15;672(1-3):153-8. doi: 10.1016/j.ejphar.2011.09.183. Epub 2011 Oct 6.
6
Recombinant human erythropoietin reduces epithelial cell apoptosis and attenuates bleomycin-induced pneumonitis in mice.重组人促红细胞生成素可减少小鼠上皮细胞凋亡并减轻博来霉素诱导的肺炎。
Respirology. 2008 Sep;13(5):639-45. doi: 10.1111/j.1440-1843.2008.01324.x.
7
Histone deacetylase inhibitor restores surfactant protein-C expression in alveolar-epithelial type II cells and attenuates bleomycin-induced pulmonary fibrosis in vivo.组蛋白去乙酰化酶抑制剂可恢复肺泡II型上皮细胞中表面活性蛋白C的表达,并在体内减轻博来霉素诱导的肺纤维化。
Exp Lung Res. 2015;41(8):422-34. doi: 10.3109/01902148.2015.1060275. Epub 2015 Jul 7.
8
Biphasic effects of free radical scavengers against bleomycin-induced pulmonary fibrosis.自由基清除剂对博来霉素诱导的肺纤维化的双相作用。
Pulm Pharmacol Ther. 2008 Oct;21(5):805-11. doi: 10.1016/j.pupt.2008.06.006. Epub 2008 Jul 8.
9
Imbalance in the pro-hepatocyte growth factor activation system in bleomycin-induced lung fibrosis in mice.在博来霉素诱导的小鼠肺纤维化中,促肝细胞生长因子激活系统失衡。
Am J Respir Cell Mol Biol. 2010 Mar;42(3):286-93. doi: 10.1165/rcmb.2008-0305OC. Epub 2009 May 15.
10
Apoptotic cell instillation after bleomycin attenuates lung injury through hepatocyte growth factor induction.博来霉素处理后细胞凋亡的灌输通过诱导肝细胞生长因子减轻肺损伤。
Eur Respir J. 2012 Aug;40(2):424-35. doi: 10.1183/09031936.00096711. Epub 2012 Mar 22.

引用本文的文献

1
Pro-apoptotic gene BAX is a pan-cancer predictive biomarker for prognosis and immunotherapy efficacy.促凋亡基因 BAX 是一种泛癌预测性生物标志物,可用于预后和免疫治疗疗效评估。
Aging (Albany NY). 2024 Jul 5;16(14):11289-11317. doi: 10.18632/aging.206003.
2
Physiological and pharmacological modulation of BAX.BAX的生理与药理调节
Trends Pharmacol Sci. 2022 Mar;43(3):206-220. doi: 10.1016/j.tips.2021.11.001. Epub 2021 Nov 27.
3
Cytoplasmic DNA: sources, sensing, and role in aging and disease.细胞质 DNA:来源、检测及在衰老和疾病中的作用。

本文引用的文献

1
Control of apoptosis by the BCL-2 protein family: implications for physiology and therapy.BCL-2 蛋白家族对细胞凋亡的调控:对生理学和治疗的意义。
Nat Rev Mol Cell Biol. 2014 Jan;15(1):49-63. doi: 10.1038/nrm3722.
2
Building blocks of the apoptotic pore: how Bax and Bak are activated and oligomerize during apoptosis.凋亡孔的组成元件:Bax和Bak在凋亡过程中如何被激活并寡聚化。
Cell Death Differ. 2014 Feb;21(2):196-205. doi: 10.1038/cdd.2013.139. Epub 2013 Oct 25.
3
Prednisone, azathioprine, and N-acetylcysteine for pulmonary fibrosis.
Cell. 2021 Oct 28;184(22):5506-5526. doi: 10.1016/j.cell.2021.09.034.
4
Curcumin protects murine lung mesenchymal stem cells from HO by modulating the Akt/Nrf2/HO-1 pathway.姜黄素通过调节 Akt/Nrf2/HO-1 通路保护小鼠肺间充质干细胞免受 HO 的损伤。
J Int Med Res. 2020 Apr;48(4):300060520910665. doi: 10.1177/0300060520910665.
5
Pharmacological inhibition of Bax-induced cell death: Bax-inhibiting peptides and small compounds inhibiting Bax.抑制 Bax 诱导的细胞死亡的药理学方法:Bax 抑制肽和抑制 Bax 的小分子化合物。
Exp Biol Med (Maywood). 2019 May;244(8):621-629. doi: 10.1177/1535370219833624. Epub 2019 Mar 5.
泼尼松、硫唑嘌呤和N-乙酰半胱氨酸治疗肺纤维化。
N Engl J Med. 2012 Aug 30;367(9):869; author reply 870-1. doi: 10.1056/NEJMc1207471.
4
Ox-LDL-induced TGF-β1 production in human alveolar epithelial cells: involvement of the Ras/ERK/PLTP pathway.氧化型低密度脂蛋白诱导人肺泡上皮细胞转化生长因子-β1 的产生:Ras/ERK/PLTP 通路的参与。
J Cell Physiol. 2012 Sep;227(9):3185-91. doi: 10.1002/jcp.24005.
5
Efficacy of a tyrosine kinase inhibitor in idiopathic pulmonary fibrosis.特发性肺纤维化中酪氨酸激酶抑制剂的疗效。
N Engl J Med. 2011 Sep 22;365(12):1079-87. doi: 10.1056/NEJMoa1103690.
6
Platelet-derived growth factor-producing CD4+ Foxp3+ regulatory T lymphocytes promote lung fibrosis.血小板衍生生长因子产生的 CD4+Foxp3+调节性 T 淋巴细胞促进肺纤维化。
Am J Respir Crit Care Med. 2011 Dec 1;184(11):1270-81. doi: 10.1164/rccm.201103-0516OC. Epub 2011 Aug 25.
7
Post-treatment of Bax-inhibiting peptide reduces neuronal death and behavioral deficits following global cerebral ischemia.Bax 抑制肽处理可减少全脑缺血后神经元死亡和行为缺陷。
Neurochem Int. 2011 Feb;58(2):224-33. doi: 10.1016/j.neuint.2010.12.008. Epub 2010 Dec 15.
8
Neuroprotective effect of Bax-inhibiting peptide on neonatal brain injury.抑制 Bax 肽对新生儿脑损伤的神经保护作用。
Stroke. 2010 Sep;41(9):2050-5. doi: 10.1161/STROKEAHA.110.589051. Epub 2010 Jul 29.
9
The role of high mobility group box1 in pulmonary fibrosis.高迁移率族蛋白B1在肺纤维化中的作用。
Am J Respir Cell Mol Biol. 2008 Oct;39(4):440-7. doi: 10.1165/rcmb.2007-0330OC. Epub 2008 Apr 25.
10
Bax-inhibiting peptides derived from Ku70 and cell-penetrating pentapeptides.源自Ku70的Bax抑制肽和细胞穿透五肽。
Biochem Soc Trans. 2007 Aug;35(Pt 4):797-801. doi: 10.1042/BST0350797.