Department of Neurology, The First Affiliated Hospital of China Medical University, 155 North Nanjing Street, Heping District, Shenyang, 110001, People's Republic of China.
J Neuroinflammation. 2017 Nov 16;14(1):223. doi: 10.1186/s12974-017-0994-3.
Neuroinflammation plays a critical role in the onset and development of neurodegeneration disorders such as Parkinson's disease. The immune activities of the central nervous system are profoundly affected by peripheral immune activities. Immune tolerance refers to the unresponsiveness of the immune system to continuous or repeated stimulation to avoid excessive inflammation and unnecessary by-stander injury in the face of continuous antigen threat. It has been proved that the immune tolerance could suppress the development of various peripheral inflammation-related diseases. However, the role of immune tolerance in neuroinflammation and neurodegenerative diseases was not clear.
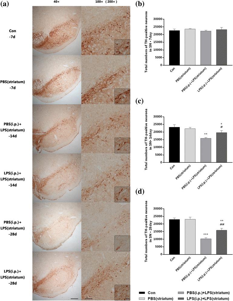
Rats were injected with repeated low-dose lipopolysaccharide (LPS, 0.3 mg/kg) intraperitoneally for 4 days to induce peripheral immune tolerance. Neuroinflammation was produced using intracranial LPS (15 μg) injection. Inflammation cytokines were measured using enzyme-linked immunosorbent assay (ELISA) and quantitative real-time polymerase chain reaction (qRT-PCR). Microglial activation were measured using immunostaining of Iba-1 and ED-1. Dopaminergic neuronal damage was evaluated using immunochemistry staining and stereological counting of TH-positive neurons. Behavioral impairment was evaluated using amphetamine-induced rotational behavioral assessment.
Compared with the non-immune tolerated animals, pre-treatment of peripheral immune tolerance significantly decreased the production of inflammatory cytokines, suppressed the microglial activation, and increased the number of dopaminergic neuronal survival in the substantia nigra.
Our results indicated that peripheral immune tolerance attenuated neuroinflammation and inhibited neuroinflammation-induced dopaminergic neuronal death.
神经炎症在帕金森病等神经退行性疾病的发病和发展中起着关键作用。中枢神经系统的免疫活性受到外周免疫活性的深刻影响。免疫耐受是指免疫系统对持续或反复刺激无反应,以避免在持续抗原威胁下出现过度炎症和不必要的旁观者损伤。已经证明免疫耐受可以抑制各种与外周炎症相关的疾病的发展。然而,免疫耐受在神经炎症和神经退行性疾病中的作用尚不清楚。
通过腹腔内注射重复低剂量脂多糖(LPS,0.3mg/kg)4 天来诱导外周免疫耐受,用脑内 LPS(15μg)注射来产生神经炎症。采用酶联免疫吸附试验(ELISA)和实时定量聚合酶链反应(qRT-PCR)测量炎症细胞因子。通过 Iba-1 和 ED-1 的免疫染色测量小胶质细胞激活。通过免疫化学染色和 TH 阳性神经元的立体学计数评估多巴胺能神经元损伤。通过安非他命诱导的旋转行为评估行为损伤。
与非免疫耐受动物相比,外周免疫耐受预处理显著降低了炎症细胞因子的产生,抑制了小胶质细胞激活,并增加了黑质中多巴胺能神经元的存活数量。
我们的结果表明,外周免疫耐受减轻了神经炎症,并抑制了神经炎症诱导的多巴胺能神经元死亡。