Key Laboratory of Basic Pharmacology of Ministry of Education and Joint International Research Laboratory of Ethnomedicine of Ministry of Education and Key Laboratory of Basic Pharmacology of Guizhou Province and Laboratory Animal Center, Zunyi Medical University, Zunyi, China.
CNS Neurosci Ther. 2022 Oct;28(10):1624-1636. doi: 10.1111/cns.13906. Epub 2022 Jul 4.
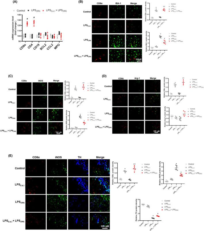
Current studies have documented neuroinflammation is implicated in Parkinson's disease. Recently, growing evidence indicated peripheral inflammation plays an important role in regulation of neuroinflammation and thus conferring protection against dopamine (DA) neuronal damage. However, the underlying mechanisms are not clearly illuminated.
The effects of intraperitoneal injection of LPS (LPS )-induced peripheral inflammation on substantia nigra (SN) injection of LPS (LPS )-elicited DA neuronal damage in rat midbrain were investigated. Rats were intraperitoneally injected with LPS (0.5 mg/kg) daily for 4 consecutive days and then given single injection of LPS (8 μg) into SN with an interval of 0 (LPS 0 day ± LPS ), 30 (LPS 30 days ± LPS ), and 90 (LPS 90 days ± LPS ) days after LPS administration.
LPS increased the levels of inflammatory factors in peripheral blood in (LPS 0 day ± LPS ). Importantly, in (LPS 0 day ± LPS ) and (LPS 30 days ± LPS ), LPS attenuated LPS -induced DA neuronal loss in SN. Besides, LPS reduced LPS -induced microglia and astrocytes activation in SN. Furtherly, LPS reduced pro-inflammatory M1 microglia markers mRNA levels and increased anti-inflammatory M2 microglia markers mRNA levels. In addition, the increased T-cell marker expression and the decreased M1 microglia marker expression and more DA neuronal survival were discerned at the same area of rat midbrain in LPS -induced DA neuronal damage 30 days after LPS application.
This study suggested LPS -induced peripheral inflammation might cause T cells to infiltrate the brain to regulate microglia-mediated neuroinflammation, thereby protecting DA neurons.
目前的研究表明,神经炎症与帕金森病有关。最近,越来越多的证据表明,外周炎症在调节神经炎症中起着重要作用,从而对多巴胺(DA)神经元损伤起到保护作用。然而,其潜在机制尚不清楚。
研究了腹腔注射脂多糖(LPS)诱导的外周炎症对大鼠中脑黑质(SN)注射 LPS 诱导的 DA 神经元损伤的影响。大鼠连续 4 天每天腹腔注射 LPS(0.5mg/kg),然后间隔 0(LPS 0 天±LPS)、30(LPS 30 天±LPS)和 90(LPS 90 天±LPS)天给予 SN 单次注射 LPS(8μg)。
LPS 增加了 LPS 0 天±LPS 时外周血中炎症因子的水平。重要的是,在 LPS 0 天±LPS 和 LPS 30 天±LPS 时,LPS 减轻了 LPS 诱导的 SN 中 DA 神经元丢失。此外,LPS 减少了 LPS 诱导的 SN 中小胶质细胞和星形胶质细胞的激活。此外,LPS 降低了促炎 M1 小胶质细胞标志物的 mRNA 水平,增加了抗炎 M2 小胶质细胞标志物的 mRNA 水平。此外,在 LPS 应用 30 天后 LPS 诱导的 DA 神经元损伤的大鼠中脑同一区域,观察到 T 细胞标记物表达增加,M1 小胶质细胞标记物表达减少,更多的 DA 神经元存活。
本研究表明,LPS 诱导的外周炎症可能导致 T 细胞浸润大脑,调节小胶质细胞介导的神经炎症,从而保护 DA 神经元。