Suppr超能文献

微小RNA-21/145与Smad3结构域特异性磷酸化在肝细胞癌中的相互作用

Interaction of microRNA-21/145 and Smad3 domain-specific phosphorylation in hepatocellular carcinoma.

作者信息

Wang Ji Yu, Fang Meng, Boye Alex, Wu Chao, Wu Jia Jun, Ma Ying, Hou Shu, Kan Yue, Yang Yan

机构信息

Department of Pharmacology and Institute of Natural Medicine, Anhui Medical University, Hefei 230032, China.

出版信息

Oncotarget. 2017 May 9;8(49):84958-84973. doi: 10.18632/oncotarget.17709. eCollection 2017 Oct 17.

Abstract

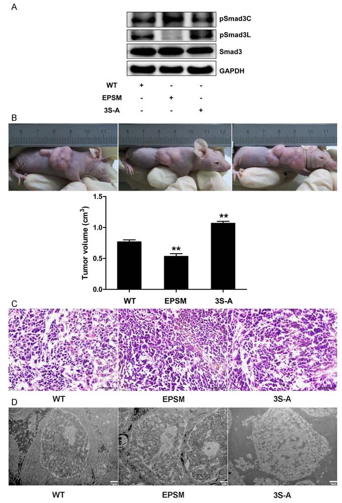
MicroRNAs 21 and 145 exhibit inverse expression in Hepatocellular carcinoma (HCC), but how they relate to Smad3 C-terminal and Link region phosphorylation (pSmad3C and pSmad3L) downstream of TGF-β/MAPK signaling, remains inconclusive. Our results suggest microRNA-145 targets Smad3 in HepG2 cells. Decreased tumor volume and increased apoptosis were produced in both microRNA-21 antagomir and microRNA-145 agomir groups compared to controls. Inhibition of TβRI and MAPK (ERK, JNK, and p38) activation respectively produced decreased microRNA-21 but increased microRNA-145 expression. Correspondingly, the expression level of pSmad3C obviously increased while pSmad3L decreased in microRNA-145 agomir-group and the expression of pSmad3C/3L were not markedly changed but pERK, pJNK, pp38 decreased in microRNA-21 antagomir-group compared to controls. On the other hand, microRNA-145 and 21 increased respectively in xenografts of HepG2 cells transfected with Smad3 EPSM and 3S-A plasmid, and this correlated with the overexpression of pSmad3C and pSmad3L respectively compared to control. To conclude, microRNA-21 promotes tumor progression in a MAPK-dependent manner while microRNA-145 suppresses it via domain-specific phosphorylation of Smad3 in HCC. Meanwhile, increased pSmad3C/3L lead to the up-regulation of microRNA-145/21 respectively. The interaction between pSmad3C/3L and microRNA-145/21 regulates HCC progression and the switch of pSmad3C/3L may serve as an important target for HCC therapy.

摘要

微小RNA 21和145在肝细胞癌(HCC)中呈反向表达,但它们与TGF-β/MAPK信号下游的Smad3 C末端和连接区磷酸化(pSmad3C和pSmad3L)之间的关系仍无定论。我们的结果表明,微小RNA - 145在HepG2细胞中靶向Smad3。与对照组相比,微小RNA - 21拮抗剂组和微小RNA - 145激动剂组的肿瘤体积均减小,细胞凋亡增加。分别抑制TβRI和MAPK(ERK、JNK和p38)的激活会导致微小RNA - 21表达降低,但微小RNA - 145表达增加。相应地,与对照组相比,微小RNA - 145激动剂组中pSmad3C的表达水平明显升高,而pSmad3L降低;微小RNA - 21拮抗剂组中pSmad3C/3L的表达无明显变化,但pERK、pJNK、pp38降低。另一方面,用Smad3 EPSM和3S - A质粒转染的HepG2细胞异种移植瘤中,微小RNA - 145和21分别增加,这分别与pSmad3C和pSmad3L的过表达相关。总之,微小RNA - 21以MAPK依赖的方式促进肿瘤进展,而微小RNA - 145通过HCC中Smad3的结构域特异性磷酸化抑制肿瘤进展。同时,pSmad3C/3L增加分别导致微小RNA - 145/21上调。pSmad3C/3L与微小RNA - 145/21之间的相互作用调节HCC进展,pSmad3C/3L的转换可能成为HCC治疗的重要靶点。

https://cdn.ncbi.nlm.nih.gov/pmc/blobs/9295/5689586/abfebc7bcb7a/oncotarget-08-84958-g001.jpg

文献AI研究员

20分钟写一篇综述,助力文献阅读效率提升50倍。

立即体验

用中文搜PubMed

大模型驱动的PubMed中文搜索引擎

马上搜索

文档翻译

学术文献翻译模型,支持多种主流文档格式。

立即体验