• 文献检索
  • 文档翻译
  • 深度研究
  • 学术资讯
  • Suppr Zotero 插件Zotero 插件
  • 邀请有礼
  • 套餐&价格
  • 历史记录
应用&插件
Suppr Zotero 插件Zotero 插件浏览器插件Mac 客户端Windows 客户端微信小程序
定价
高级版会员购买积分包购买API积分包
服务
文献检索文档翻译深度研究API 文档MCP 服务
关于我们
关于 Suppr公司介绍联系我们用户协议隐私条款
关注我们

Suppr 超能文献

核心技术专利:CN118964589B侵权必究
粤ICP备2023148730 号-1Suppr @ 2026

文献检索

告别复杂PubMed语法,用中文像聊天一样搜索,搜遍4000万医学文献。AI智能推荐,让科研检索更轻松。

立即免费搜索

文件翻译

保留排版,准确专业,支持PDF/Word/PPT等文件格式,支持 12+语言互译。

免费翻译文档

深度研究

AI帮你快速写综述,25分钟生成高质量综述,智能提取关键信息,辅助科研写作。

立即免费体验

泛素羧基末端水解酶L1在中国大鲵睾丸发育和精子发生中的表达及定位

UCHL1 expression and localization on testicular development and spermatogenesis of Chinese giant salamanders.

作者信息

Wang Yuanxian, Wang Liqing, Gao Huihui, Gao Yao, Yang Changming, Ji Hong, Dong Wuzi

机构信息

College of Animal Science and Technology, Northwest A&F University, Yangling 712100, China.

Animal Husbandry and Veterinary Station of Chenggu County, Hanzhong 723200, China.

出版信息

Oncotarget. 2017 Sep 15;8(49):86043-86055. doi: 10.18632/oncotarget.20910. eCollection 2017 Oct 17.

DOI:10.18632/oncotarget.20910
PMID:29156776
原文链接:https://pmc.ncbi.nlm.nih.gov/articles/PMC5689666/
Abstract

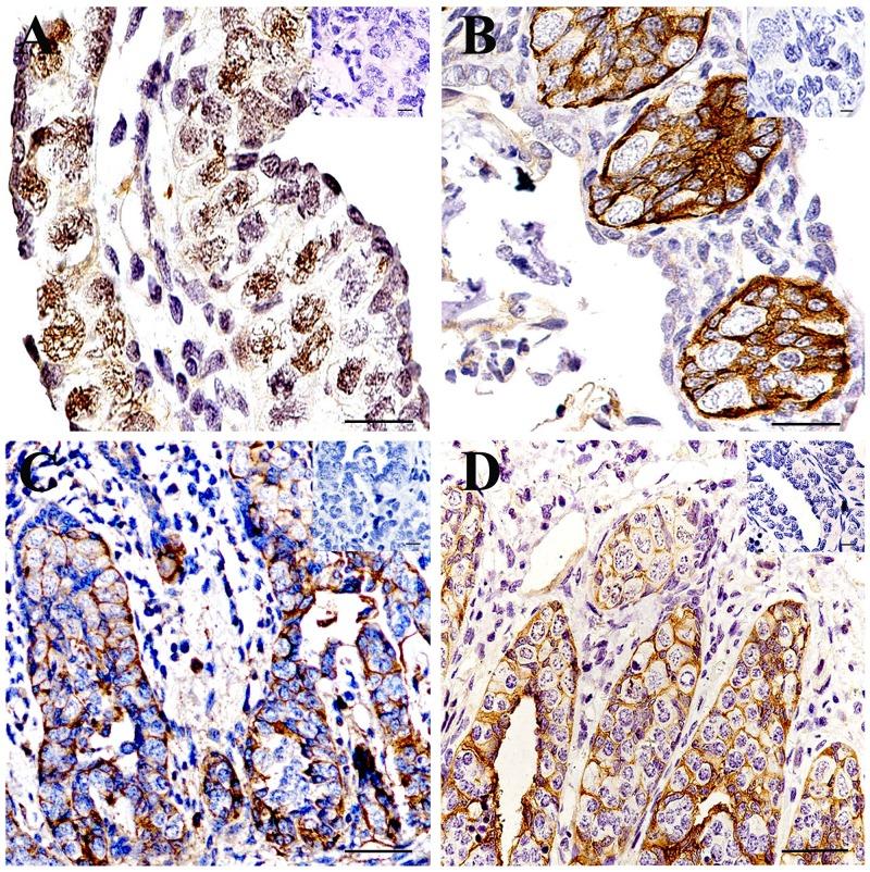
Ubiquitin carboxyl-terminal hydrolase L1 (UCHL1), which is extensively expressed in vertebrates, is a deubiquitinating enzymes that inhibits the degradation of proteins by reversing ubiquitination modification. Herein, a 1087-bp sequence encoding UCHL1 was identified from the Chinese giant salamander (CGS; ). The coding sequences (CDS) of encoded a putative poly peptide of 222 amino acids. The CGS UCHL1 isoforms were more related to their human and mouse counterparts. The phylogenic tree of vertebrate UCHL1 indicated that CGS UCHL1 has the closest relationship with human UCHL1 (up to 73.99 %). Before the gonads of male CGSs matured, the peak level of UCHL1 expression in testes appeared in 3-year-old CGSs according to RT-qPCR and western blot. In adult testes, the level of UCHL1 protein was lower in the breeding period than in the post-breeding period, whereas the level of UCHL1 protein in interstitial fluid of adult CGS testes was higher during the breeding period than during the post-breeding period. In testicular seminiferous lobules in the developmental stage of CGSs, immunohistochemistry displayed three kinds of localizing patterns of UCHL1, including nuclear localization at half year old, cytoplasmic localization from one year to three years old, and extracellular localization in adult. In testicular seminiferous lobules of adult CGS, the different developmental germ cells were separated by cysts containing UCHL1 protein, but UCHL1 did not localize on the mature sperm. The results showed that extracellular UCHL1 loaded on exosomes, as a component of the homogeneous germ cell cysts, could regulate the synchronous development of sperm in testes of adult CGS.

摘要

泛素羧基末端水解酶L1(UCHL1)在脊椎动物中广泛表达,是一种去泛素化酶,可通过逆转泛素化修饰来抑制蛋白质降解。在此,从中国大鲵(CGS)中鉴定出一段编码UCHL1的1087 bp序列。该序列的编码序列(CDS)编码一个推定的222个氨基酸的多肽。CGS UCHL1亚型与人类和小鼠的对应物关系更为密切。脊椎动物UCHL1的系统发育树表明,CGS UCHL1与人类UCHL1的关系最为密切(高达73.99%)。根据RT-qPCR和蛋白质印迹法,在雄性CGS的性腺成熟之前,睾丸中UCHL1表达的峰值出现在3岁的CGS中。在成年睾丸中,繁殖期UCHL1蛋白水平低于繁殖后期,而成年CGS睾丸间质液中UCHL1蛋白水平在繁殖期高于繁殖后期。在CGS发育阶段的睾丸生精小叶中,免疫组织化学显示UCHL1有三种定位模式,包括半岁时的核定位、1岁至3岁时的细胞质定位以及成年时的细胞外定位。在成年CGS的睾丸生精小叶中,不同发育阶段的生殖细胞被含有UCHL1蛋白的囊肿分隔开,但UCHL1并不定位于成熟精子上。结果表明,作为同质生殖细胞囊肿的一个组成部分,负载在外泌体上的细胞外UCHL1可以调节成年CGS睾丸中精子的同步发育。

https://cdn.ncbi.nlm.nih.gov/pmc/blobs/f8ce/5689666/846b740c0a95/oncotarget-08-86043-g008.jpg
https://cdn.ncbi.nlm.nih.gov/pmc/blobs/f8ce/5689666/ebe6c79ffcba/oncotarget-08-86043-g001.jpg
https://cdn.ncbi.nlm.nih.gov/pmc/blobs/f8ce/5689666/75682029932a/oncotarget-08-86043-g002.jpg
https://cdn.ncbi.nlm.nih.gov/pmc/blobs/f8ce/5689666/48259ab742bf/oncotarget-08-86043-g003.jpg
https://cdn.ncbi.nlm.nih.gov/pmc/blobs/f8ce/5689666/045d3cdb8a56/oncotarget-08-86043-g004.jpg
https://cdn.ncbi.nlm.nih.gov/pmc/blobs/f8ce/5689666/cc9e08ad4fec/oncotarget-08-86043-g005.jpg
https://cdn.ncbi.nlm.nih.gov/pmc/blobs/f8ce/5689666/9155534b0a04/oncotarget-08-86043-g006.jpg
https://cdn.ncbi.nlm.nih.gov/pmc/blobs/f8ce/5689666/0442a88eed78/oncotarget-08-86043-g007.jpg
https://cdn.ncbi.nlm.nih.gov/pmc/blobs/f8ce/5689666/846b740c0a95/oncotarget-08-86043-g008.jpg
https://cdn.ncbi.nlm.nih.gov/pmc/blobs/f8ce/5689666/ebe6c79ffcba/oncotarget-08-86043-g001.jpg
https://cdn.ncbi.nlm.nih.gov/pmc/blobs/f8ce/5689666/75682029932a/oncotarget-08-86043-g002.jpg
https://cdn.ncbi.nlm.nih.gov/pmc/blobs/f8ce/5689666/48259ab742bf/oncotarget-08-86043-g003.jpg
https://cdn.ncbi.nlm.nih.gov/pmc/blobs/f8ce/5689666/045d3cdb8a56/oncotarget-08-86043-g004.jpg
https://cdn.ncbi.nlm.nih.gov/pmc/blobs/f8ce/5689666/cc9e08ad4fec/oncotarget-08-86043-g005.jpg
https://cdn.ncbi.nlm.nih.gov/pmc/blobs/f8ce/5689666/9155534b0a04/oncotarget-08-86043-g006.jpg
https://cdn.ncbi.nlm.nih.gov/pmc/blobs/f8ce/5689666/0442a88eed78/oncotarget-08-86043-g007.jpg
https://cdn.ncbi.nlm.nih.gov/pmc/blobs/f8ce/5689666/846b740c0a95/oncotarget-08-86043-g008.jpg

相似文献

1
UCHL1 expression and localization on testicular development and spermatogenesis of Chinese giant salamanders.泛素羧基末端水解酶L1在中国大鲵睾丸发育和精子发生中的表达及定位
Oncotarget. 2017 Sep 15;8(49):86043-86055. doi: 10.18632/oncotarget.20910. eCollection 2017 Oct 17.
2
Iridoviral infection can be reduced by UCHL1-loaded exosomes from the testis of Chinese giant salamanders (Andrias davidianus).UCHL1 负载的外泌体可减少中国大鲵(Andrias davidianus)睾丸中的虹彩病毒感染。
Vet Microbiol. 2018 Oct;224:50-57. doi: 10.1016/j.vetmic.2018.08.025. Epub 2018 Aug 29.
3
Autophagy and apoptosis induced by Chinese giant salamander (Andrias davidianus) iridovirus (CGSIV).中国大鲵虹彩病毒(CGSIV)诱导的自噬和凋亡
Vet Microbiol. 2016 Nov 15;195:87-95. doi: 10.1016/j.vetmic.2016.09.011. Epub 2016 Sep 21.
4
Ubiquitin C-terminal hydrolase L-1 is essential for the early apoptotic wave of germinal cells and for sperm quality control during spermatogenesis.泛素羧基末端水解酶L-1对于生殖细胞的早期凋亡波以及精子发生过程中的精子质量控制至关重要。
Biol Reprod. 2005 Jul;73(1):29-35. doi: 10.1095/biolreprod.104.037077. Epub 2005 Mar 2.
5
Conserved expression of ubiquitin carboxyl-terminal esterase L1 (UCHL1) in mammalian testes.泛素羧基末端酯酶L1(UCHL1)在哺乳动物睾丸中的保守表达。
Indian J Exp Biol. 2015 May;53(5):305-12.
6
Molecular characterisation of oestrogen receptor ERα and the effects of bisphenol A on its expression during sexual development in the Chinese giant salamander (Andrias davidianus).
Reprod Fertil Dev. 2019 Jan;31(2):261-271. doi: 10.1071/RD18107.
7
Using the Ratio of Urine Testosterone to Estrone-3-Glucuronide to Identify the Sex of Chinese Giant Salamanders ().利用尿睾酮与雌酮 -3-葡萄糖醛酸苷的比值来鉴定中国大鲵的性别() 。 (括号内容原文未完整给出翻译)
Animals (Basel). 2022 Apr 26;12(9):1112. doi: 10.3390/ani12091112.
8
Bacteria in Abnormal Eggs of Chinese Giant Salamanders (Andrias davidianus) May Derive from Gut.中国大鲵(Andrias davidianus)异常卵中的细菌可能源自肠道。
Zoolog Sci. 2018 Aug;35(4):314-320. doi: 10.2108/zs180013.
9
Overexpression of ubiquitin carboxyl-terminal hydrolase 1 (UCHL1) in boys with cryptorchidism.隐睾症男孩中泛素羧基末端水解酶1(UCHL1)的过表达。
PLoS One. 2018 Feb 5;13(2):e0191806. doi: 10.1371/journal.pone.0191806. eCollection 2018.
10
Cloning, sequence analysis and expression profiles of Toll-like receptor 7 from Chinese giant salamander Andrias davidianus.中国大鲵(Andrias davidianus)Toll样受体7的克隆、序列分析及表达谱
Comp Biochem Physiol B Biochem Mol Biol. 2015 Jun;184:52-7. doi: 10.1016/j.cbpb.2015.02.006. Epub 2015 Mar 6.

引用本文的文献

1
The Transcriptional Cell Atlas of Testis Development in Sheep at Pre-Sexual Maturity.性成熟前绵羊睾丸发育的转录细胞图谱
Curr Issues Mol Biol. 2022 Jan 19;44(2):483-497. doi: 10.3390/cimb44020033.
2
Analysis of the autophagy gene expression profile of pancreatic cancer based on autophagy-related protein microtubule-associated protein 1A/1B-light chain 3.基于自噬相关蛋白微管相关蛋白 1A/1B-轻链 3 分析胰腺癌的自噬基因表达谱。
World J Gastroenterol. 2019 May 7;25(17):2086-2098. doi: 10.3748/wjg.v25.i17.2086.

本文引用的文献

1
Identification and characterization of known and novel microRNAs in three tissues of Chinese giant salamander base on deep sequencing approach.基于深度测序方法对中国大鲵三种组织中已知和新型微小RNA的鉴定与表征
Genomics. 2017 Jul;109(3-4):258-264. doi: 10.1016/j.ygeno.2017.04.007. Epub 2017 May 2.
2
Sequencing and de novo transcriptome assembly of the Chinese giant salamander ().中国大鲵的测序与从头转录组组装()。 (原文括号部分内容缺失,译文括号保留原文形式)
Genom Data. 2017 Mar 27;12:109-110. doi: 10.1016/j.gdata.2017.03.011. eCollection 2017 Jun.
3
UCH-L1-containing exosomes mediate chemotherapeutic resistance transfer in breast cancer.
含泛素羧基末端水解酶L1的外泌体介导乳腺癌化疗耐药性的转移。
J Surg Oncol. 2017 Jun;115(8):932-940. doi: 10.1002/jso.24614. Epub 2017 Mar 23.
4
Protein Characterization of Extracellular Microvesicles/Exosomes Released from Cytotoxin-Challenged Rat Cerebrocortical Mixed Culture and Mouse N2a Cells.细胞毒素刺激的大鼠大脑皮质混合培养细胞和小鼠 N2a 细胞释放的细胞外微囊泡/外泌体的蛋白质特性。
Mol Neurobiol. 2018 Mar;55(3):2112-2124. doi: 10.1007/s12035-017-0474-x. Epub 2017 Mar 10.
5
Autophagy and apoptosis induced by Chinese giant salamander (Andrias davidianus) iridovirus (CGSIV).中国大鲵虹彩病毒(CGSIV)诱导的自噬和凋亡
Vet Microbiol. 2016 Nov 15;195:87-95. doi: 10.1016/j.vetmic.2016.09.011. Epub 2016 Sep 21.
6
Boar seminal plasma exosomes maintain sperm function by infiltrating into the sperm membrane.公猪精浆外泌体通过渗入精子膜来维持精子功能。
Oncotarget. 2016 Sep 13;7(37):58832-58847. doi: 10.18632/oncotarget.11315.
7
Proteomic analysis of the skin from Chinese fire-bellied newt and comparison to Chinese giant salamander.中国林蛙皮肤的蛋白质组学分析及其与中国大鲵的比较。
Comp Biochem Physiol Part D Genomics Proteomics. 2016 Sep;19:71-77. doi: 10.1016/j.cbd.2016.06.004. Epub 2016 Jun 16.
8
Testicular structure and germ cells morphology in salamanders.蝾螈的睾丸结构和生殖细胞形态
Spermatogenesis. 2015 Mar 12;4(3):e988090. doi: 10.4161/21565562.2014.988090. eCollection 2014 Sep-Dec.
9
Comparative testicular structure and spermatogenesis in bony fishes.硬骨鱼类睾丸结构与精子发生的比较
Spermatogenesis. 2015 Feb 23;4(3):e983400. doi: 10.4161/21565562.2014.983400. eCollection 2014 Sep-Dec.
10
From cyst to tubule: innovations in vertebrate spermatogenesis.从囊肿到细管:脊椎动物精子发生的创新
Wiley Interdiscip Rev Dev Biol. 2016 Jan-Feb;5(1):119-31. doi: 10.1002/wdev.204. Epub 2015 Aug 25.