Suppr超能文献

侵袭性幕上室管膜瘤,RELA融合阳性伴颅外转移:一例报告

Aggressive Supratentorial Ependymoma, RELA Fusion-Positive with Extracranial Metastasis: A Case Report.

作者信息

Kim Seong-Ik, Lee Yoojin, Kim Seung Ki, Kang Hyoung Jin, Park Sung-Hye

机构信息

Department of Pathology, Seoul National University Children's Hospital, Seoul, Korea.

Department of Neurosurgery, Seoul National University Children's Hospital, Seoul, Korea.

出版信息

J Pathol Transl Med. 2017 Nov;51(6):588-593. doi: 10.4132/jptm.2017.08.10. Epub 2017 Nov 15.

Abstract

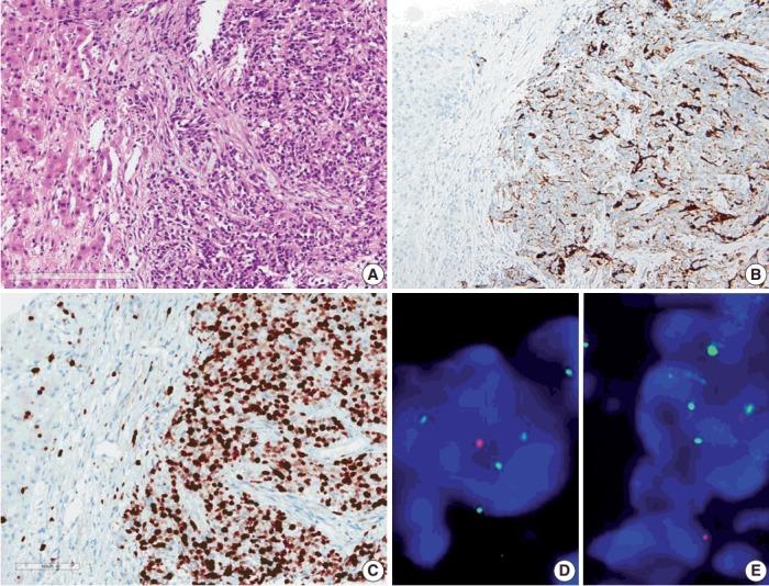
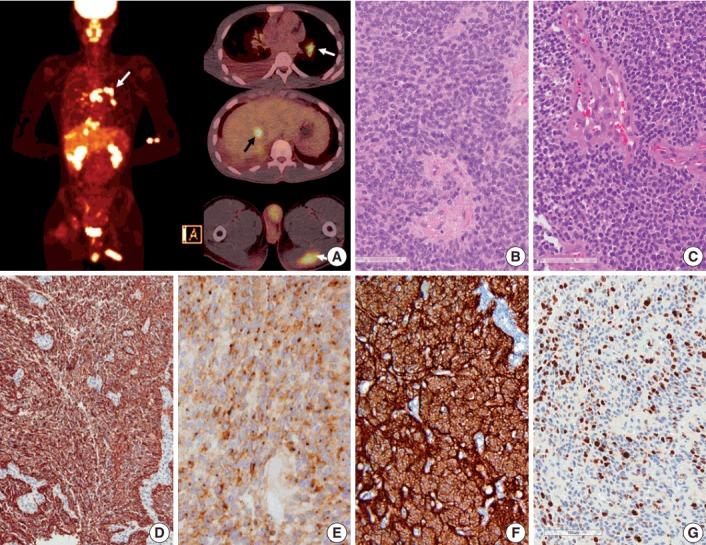
Ependymoma is the third most common pediatric primary brain tumor. Ependymomas are categorized according to their locations and genetic abnormalities, and these two parameters are important prognostic factors for patient outcome. For supratentorial (ST) ependymomas, RELA fusion-positive ependymomas show a more aggressive behavior than YAP1 fusion-positive ependymomas. Extracranial metastases of intra-axial neuroepithelial tumors are extremely rare. In this paper, we report a case of aggressive anaplastic ependymoma arising in the right frontoparietal lobe, which had genetically 1q25 gain, CDKN2A homozygous deletion, and L1CAM overexpression. The patient was a 10-year-old boy who underwent four times of tumor removal and seven times of gamma knife surgery. Metastatic loci were scalp and temporalis muscle overlying primary operation site, lung, liver, buttock, bone, and mediastinal lymph nodes. He had the malignancy for 10 years and died. This tumor is a representative case of RELA fusion-positive ST ependymoma, showing aggressive behavior.

摘要

室管膜瘤是第三常见的小儿原发性脑肿瘤。室管膜瘤根据其位置和基因异常进行分类,这两个参数是患者预后的重要预测因素。对于幕上(ST)室管膜瘤,RELA融合阳性的室管膜瘤比YAP1融合阳性的室管膜瘤表现出更具侵袭性的行为。轴内神经上皮肿瘤的颅外转移极为罕见。在本文中,我们报告了一例发生在右额顶叶的侵袭性间变性室管膜瘤病例,该肿瘤在基因上存在1q25增益、CDKN2A纯合缺失和L1CAM过表达。患者为一名10岁男孩,接受了4次肿瘤切除术和7次伽玛刀手术。转移部位为头皮和原发手术部位上方的颞肌、肺、肝、臀部、骨和纵隔淋巴结。他患恶性肿瘤10年后死亡。该肿瘤是RELA融合阳性ST室管膜瘤的典型病例,表现出侵袭性行为。

https://cdn.ncbi.nlm.nih.gov/pmc/blobs/975e/5700879/9da39d4ff8b0/jptm-2017-08-10f1.jpg

文献AI研究员

20分钟写一篇综述,助力文献阅读效率提升50倍。

立即体验

用中文搜PubMed

大模型驱动的PubMed中文搜索引擎

马上搜索

文档翻译

学术文献翻译模型,支持多种主流文档格式。

立即体验