• 文献检索
  • 文档翻译
  • 深度研究
  • 学术资讯
  • Suppr Zotero 插件Zotero 插件
  • 邀请有礼
  • 套餐&价格
  • 历史记录
应用&插件
Suppr Zotero 插件Zotero 插件浏览器插件Mac 客户端Windows 客户端微信小程序
定价
高级版会员购买积分包购买API积分包
服务
文献检索文档翻译深度研究API 文档MCP 服务
关于我们
关于 Suppr公司介绍联系我们用户协议隐私条款
关注我们

Suppr 超能文献

核心技术专利:CN118964589B侵权必究
粤ICP备2023148730 号-1Suppr @ 2026

文献检索

告别复杂PubMed语法,用中文像聊天一样搜索,搜遍4000万医学文献。AI智能推荐,让科研检索更轻松。

立即免费搜索

文件翻译

保留排版,准确专业,支持PDF/Word/PPT等文件格式,支持 12+语言互译。

免费翻译文档

深度研究

AI帮你快速写综述,25分钟生成高质量综述,智能提取关键信息,辅助科研写作。

立即免费体验

一种新型菌株收集方法,可提高外膜蛋白的表达。

A New Strain Collection for Improved Expression of Outer Membrane Proteins.

机构信息

Section for Evolution and Genetics, Department of Biosciences, University of Oslo, Oslo, Norway.

Interfaculty Institute for Biochemistry, Eberhard Karls University, Tübingen, Germany.

出版信息

Front Cell Infect Microbiol. 2017 Nov 7;7:464. doi: 10.3389/fcimb.2017.00464. eCollection 2017.

DOI:10.3389/fcimb.2017.00464
PMID:29164072
原文链接:https://pmc.ncbi.nlm.nih.gov/articles/PMC5681912/
Abstract

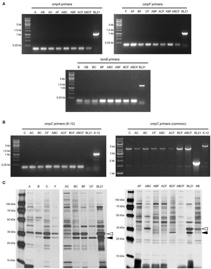
Almost all integral membrane proteins found in the outer membranes of Gram-negative bacteria belong to the transmembrane β-barrel family. These proteins are not only important for nutrient uptake and homeostasis, but are also involved in such processes as adhesion, protein secretion, biofilm formation, and virulence. As surface exposed molecules, outer membrane β-barrel proteins are also potential drug and vaccine targets. High production levels of heterologously expressed proteins are desirable for biochemical and especially structural studies, but over-expression and subsequent purification of membrane proteins, including outer membrane proteins, can be challenging. Here, we present a set of deletion mutants derived from BL21 Gold (DE3) designed for the over-expression of recombinant outer membrane proteins. These strains harbor deletions of four genes encoding abundant β-barrel proteins in the outer membrane (OmpA, OmpC, OmpF, and LamB), both single and in all combinations of double, triple, and quadruple knock-outs. The sequences encoding these outer membrane proteins were deleted completely, leaving only a minimal scar sequence, thus preventing the possibility of genetic reversion. Expression tests in the quadruple mutant strain with four test proteins, including a small outer membrane β-barrel protein and variants thereof as well as two virulence-related autotransporters, showed significantly improved expression and better quality of the produced proteins over the parent strain. Differences in growth behavior and aggregation in the presence of high salt were observed, but these phenomena did not negatively influence the expression in the quadruple mutant strain when handled as we recommend. The strains produced in this study can be used for outer membrane protein production and purification, but are also uniquely useful for labeling experiments for biophysical measurements in the native membrane environment.

摘要

几乎所有在革兰氏阴性细菌外膜中发现的整合膜蛋白都属于跨膜β桶家族。这些蛋白质不仅对营养物质的摄取和体内平衡很重要,而且还参与诸如粘附、蛋白质分泌、生物膜形成和毒力等过程。作为表面暴露的分子,外膜β桶蛋白也是潜在的药物和疫苗靶标。对于生化研究,特别是结构研究,异源表达蛋白的高产量是理想的,但膜蛋白(包括外膜蛋白)的过表达和随后的纯化可能具有挑战性。在这里,我们介绍了一组源自 BL21 Gold (DE3) 的缺失突变体,旨在过表达重组外膜蛋白。这些菌株缺失了编码外膜中丰富的β桶蛋白(OmpA、OmpC、OmpF 和 LamB)的四个基因,包括单基因缺失和双基因、三基因和四基因缺失的所有组合。这些外膜蛋白的编码序列被完全缺失,只留下一个最小的疤痕序列,从而防止了遗传回复的可能性。用四个测试蛋白(包括一个小的外膜β桶蛋白及其变体以及两种与毒力相关的自转运蛋白)在四重突变体菌株中的表达测试表明,与亲本菌株相比,表达量显著提高,且产生的蛋白质质量更好。在高盐存在下观察到生长行为和聚集的差异,但当按照我们的建议处理时,这些现象并没有对四重突变体菌株中的表达产生负面影响。本研究中产生的菌株可用于外膜蛋白的生产和纯化,但对于在天然膜环境中进行生物物理测量的标记实验也具有独特的用途。

https://cdn.ncbi.nlm.nih.gov/pmc/blobs/6c3e/5681912/5f676679864f/fcimb-07-00464-g0005.jpg
https://cdn.ncbi.nlm.nih.gov/pmc/blobs/6c3e/5681912/e7ed35d62242/fcimb-07-00464-g0001.jpg
https://cdn.ncbi.nlm.nih.gov/pmc/blobs/6c3e/5681912/847255f7d622/fcimb-07-00464-g0002.jpg
https://cdn.ncbi.nlm.nih.gov/pmc/blobs/6c3e/5681912/d5066c46b210/fcimb-07-00464-g0003.jpg
https://cdn.ncbi.nlm.nih.gov/pmc/blobs/6c3e/5681912/f5469c6be58e/fcimb-07-00464-g0004.jpg
https://cdn.ncbi.nlm.nih.gov/pmc/blobs/6c3e/5681912/5f676679864f/fcimb-07-00464-g0005.jpg
https://cdn.ncbi.nlm.nih.gov/pmc/blobs/6c3e/5681912/e7ed35d62242/fcimb-07-00464-g0001.jpg
https://cdn.ncbi.nlm.nih.gov/pmc/blobs/6c3e/5681912/847255f7d622/fcimb-07-00464-g0002.jpg
https://cdn.ncbi.nlm.nih.gov/pmc/blobs/6c3e/5681912/d5066c46b210/fcimb-07-00464-g0003.jpg
https://cdn.ncbi.nlm.nih.gov/pmc/blobs/6c3e/5681912/f5469c6be58e/fcimb-07-00464-g0004.jpg
https://cdn.ncbi.nlm.nih.gov/pmc/blobs/6c3e/5681912/5f676679864f/fcimb-07-00464-g0005.jpg

相似文献

1
A New Strain Collection for Improved Expression of Outer Membrane Proteins.一种新型菌株收集方法,可提高外膜蛋白的表达。
Front Cell Infect Microbiol. 2017 Nov 7;7:464. doi: 10.3389/fcimb.2017.00464. eCollection 2017.
2
Functional role of ompF and ompC porins in pathogenesis of avian pathogenic Escherichia coli.外膜孔蛋白OmpF和OmpC在禽致病性大肠杆菌致病机制中的功能作用
Microb Pathog. 2017 Jun;107:29-37. doi: 10.1016/j.micpath.2017.02.033. Epub 2017 Mar 14.
3
OmpC and OmpF Outer Membrane Proteins of and Form Amyloids.和 的外膜蛋白 OmpC 和 OmpF 形成淀粉样纤维。
Int J Mol Sci. 2023 Oct 24;24(21):15522. doi: 10.3390/ijms242115522.
4
Kinetic analysis of the assembly of the outer membrane protein LamB in Escherichia coli mutants each lacking a secretion or targeting factor in a different cellular compartment.对大肠杆菌突变体中外膜蛋白LamB组装的动力学分析,每个突变体在不同细胞区室中均缺乏一种分泌或靶向因子。
J Bacteriol. 2007 Jan;189(2):446-54. doi: 10.1128/JB.01103-06. Epub 2006 Oct 27.
5
The Escherichia coli CpxA-CpxR envelope stress response system regulates expression of the porins ompF and ompC.大肠杆菌CpxA-CpxR包膜应激反应系统调控孔蛋白ompF和ompC的表达。
J Bacteriol. 2005 Aug;187(16):5723-31. doi: 10.1128/JB.187.16.5723-5731.2005.
6
Ecotin and LamB in Escherichia coli influence the susceptibility to Type VI secretion-mediated interbacterial competition and killing by Vibrio cholerae.Ecotin 和 LamB 在大肠杆菌中影响了对霍乱弧菌介导的 VI 型分泌系统介导的细菌间竞争和杀伤的敏感性。
Biochim Biophys Acta Gen Subj. 2021 Jul;1865(7):129912. doi: 10.1016/j.bbagen.2021.129912. Epub 2021 Apr 20.
7
Recombinant expression of Yersinia ruckeri outer membrane proteins in Escherichia coli extracellular vesicles.在大肠杆菌细胞外囊泡中重组表达迟钝爱德华氏菌外膜蛋白。
Protein Expr Purif. 2024 Mar;215:106409. doi: 10.1016/j.pep.2023.106409. Epub 2023 Nov 30.
8
Mosaic Evolution of Beta-Barrel-Porin-Encoding Genes in .β桶状孔蛋白编码基因在 …… 的镶嵌进化。
Appl Environ Microbiol. 2022 Apr 12;88(7):e0006022. doi: 10.1128/aem.00060-22. Epub 2022 Mar 14.
9
Direct in situ structural analysis of recombinant outer membrane porins expressed in an OmpA-deficient mutant Escherichia coli strain.在缺乏外膜蛋白A(OmpA)的突变型大肠杆菌菌株中表达的重组外膜孔蛋白的直接原位结构分析。
J Struct Biol. 1993 Nov-Dec;111(3):212-21. doi: 10.1006/jsbi.1993.1051.
10
Bacterial Outer Membrane Polysaccharide Export (OPX) Proteins Occupy Three Structural Classes with Selective β-Barrel Porin Requirements for Polymer Secretion.细菌外膜多糖输出(OPX)蛋白占据三个结构类别,对聚合物分泌有选择性的β-桶孔道蛋白要求。
Microbiol Spectr. 2022 Oct 26;10(5):e0129022. doi: 10.1128/spectrum.01290-22. Epub 2022 Oct 6.

引用本文的文献

1
Unraveling ShuA detergent-induced colloidal behavior in solution: A comprehensive SEC-MALS, SAXS, and SANS study.解析舒A洗涤剂在溶液中诱导的胶体行为:SEC-MALS、SAXS和SANS综合研究
Protein Sci. 2025 Sep;34(9):e70258. doi: 10.1002/pro.70258.
2
Solid-state NMR of membrane proteins in situ.原位膜蛋白的固态核磁共振技术。
Curr Opin Struct Biol. 2025 Aug 8;94:103129. doi: 10.1016/j.sbi.2025.103129.
3
Permeabilisation of the Outer Membrane of Escherichia coli for Enhanced Transport of Complex Molecules.大肠杆菌外膜通透性的改善以增强复杂分子的转运

本文引用的文献

1
Secretion of the Intimin Passenger Domain Is Driven by Protein Folding.紧密黏附素乘客结构域的分泌由蛋白质折叠驱动。
J Biol Chem. 2016 Sep 16;291(38):20096-112. doi: 10.1074/jbc.M116.731497. Epub 2016 Jul 27.
2
A secretome view of colonisation factors in Shiga toxin-encoding Escherichia coli (STEC): from enterohaemorrhagic E. coli (EHEC) to related enteropathotypes.产志贺毒素大肠杆菌(STEC)中定植因子的分泌蛋白组视角:从肠出血性大肠杆菌(EHEC)到相关肠道致病型
FEMS Microbiol Lett. 2016 Aug;363(16). doi: 10.1093/femsle/fnw179. Epub 2016 Jul 26.
3
Conserved Features in the Structure, Mechanism, and Biogenesis of the Inverse Autotransporter Protein Family.
Microb Biotechnol. 2025 Mar;18(3):e70122. doi: 10.1111/1751-7915.70122.
4
Probing the Dynamics of Yersinia Adhesin A (YadA) in Outer Membranes Hints at Requirements for β-Barrel Membrane Insertion.探究耶尔森菌粘附素A(YadA)在外膜中的动力学揭示了β-桶状膜插入的要求。
J Am Chem Soc. 2025 Mar 12;147(10):8618-8628. doi: 10.1021/jacs.4c17726. Epub 2025 Feb 27.
5
A New Bacterial Chassis for Enhanced Surface Display of Recombinant Proteins.一种用于增强重组蛋白表面展示的新型细菌底盘。
Cell Mol Bioeng. 2024 Sep 13;17(5):453-465. doi: 10.1007/s12195-024-00819-w. eCollection 2024 Oct.
6
How to isolate channel-forming membrane proteins using the E. coli expression system.如何使用大肠杆菌表达系统分离形成通道的膜蛋白。
Nat Protoc. 2025 Feb;20(2):462-479. doi: 10.1038/s41596-024-01055-2. Epub 2024 Oct 4.
7
Magic-angle spinning NMR structure of Opa60 in lipid bilayers.脂质双分子层中Opa60的魔角旋转核磁共振结构。
J Struct Biol X. 2024 Feb 21;9:100098. doi: 10.1016/j.yjsbx.2024.100098. eCollection 2024 Jun.
8
The Trimeric Autotransporter Adhesin SadA from spp. as a Novel Bacterial Surface Display System.来自[具体菌种]的三聚体自转运黏附素SadA作为一种新型细菌表面展示系统。
Vaccines (Basel). 2024 Apr 9;12(4):399. doi: 10.3390/vaccines12040399.
9
Bacterial Envelope Fractionation.细菌包膜分离。
Methods Mol Biol. 2024;2778:43-52. doi: 10.1007/978-1-0716-3734-0_3.
10
Recombinant Expression and Overproduction of Transmembrane β-Barrel Proteins.跨膜β桶状蛋白的重组表达和过表达。
Methods Mol Biol. 2024;2778:31-41. doi: 10.1007/978-1-0716-3734-0_2.
反向自转运蛋白家族的结构、机制及生物合成中的保守特征
Genome Biol Evol. 2016 Jun 13;8(6):1690-705. doi: 10.1093/gbe/evw112.
4
Structural basis of outer membrane protein insertion by the BAM complex.BAM 复合物介导外膜蛋白插入的结构基础。
Nature. 2016 Mar 3;531(7592):64-9. doi: 10.1038/nature17199. Epub 2016 Feb 22.
5
Structure of the BAM complex and its implications for biogenesis of outer-membrane proteins.BAM 复合物的结构及其对外膜蛋白生物发生的影响。
Nat Struct Mol Biol. 2016 Mar;23(3):192-6. doi: 10.1038/nsmb.3181. Epub 2016 Feb 22.
6
The structure of the β-barrel assembly machinery complex.β-桶组装机制复合体的结构。
Science. 2016 Jan 8;351(6269):180-6. doi: 10.1126/science.aad3460.
7
Assessing the Outer Membrane Insertion and Folding of Multimeric Transmembrane β-Barrel Proteins.评估多聚体跨膜β桶蛋白的外膜插入与折叠
Methods Mol Biol. 2015;1329:157-67. doi: 10.1007/978-1-4939-2871-2_12.
8
Solid-state NMR Study of the YadA Membrane-Anchor Domain in the Bacterial Outer Membrane.固态 NMR 研究细菌外膜中 YadA 膜锚定结构域。
Angew Chem Int Ed Engl. 2015 Oct 19;54(43):12602-6. doi: 10.1002/anie.201505506. Epub 2015 Aug 31.
9
The Biology of the Escherichia coli Extracellular Matrix.大肠杆菌细胞外基质的生物学特性。
Microbiol Spectr. 2015 Jun;3(3). doi: 10.1128/microbiolspec.MB-0014-2014.
10
Supramolecular assemblies underpin turnover of outer membrane proteins in bacteria.超分子组装体是细菌外膜蛋白周转的基础。
Nature. 2015 Jul 16;523(7560):333-6. doi: 10.1038/nature14461. Epub 2015 Jun 10.