Suppr超能文献

使用肿瘤模块化人工关节治疗成人肱骨原发性骨肿瘤的结果

Treatment results of adult patients with primary bone tumours of the humerus with the use of the oncological modular endoprosthesis.

作者信息

Goryń Tomasz, Pieńkowski Andrzej, Komor Andrzej, Dziewirski Wirginiusz, Zdzienicki Marcin, Kozioł Maria, Rutkowski Piotr

机构信息

Department of Soft Tissue/Bone Sarcoma and Melanoma, Memorial Cancer Center and Institute of Oncology, Warsaw, Poland.

出版信息

Contemp Oncol (Pozn). 2017;21(3):228-231. doi: 10.5114/wo.2017.70113. Epub 2017 Sep 29.

Abstract

AIM OF THE STUDY

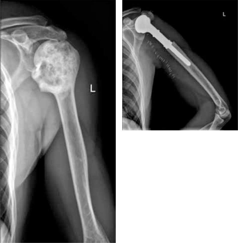
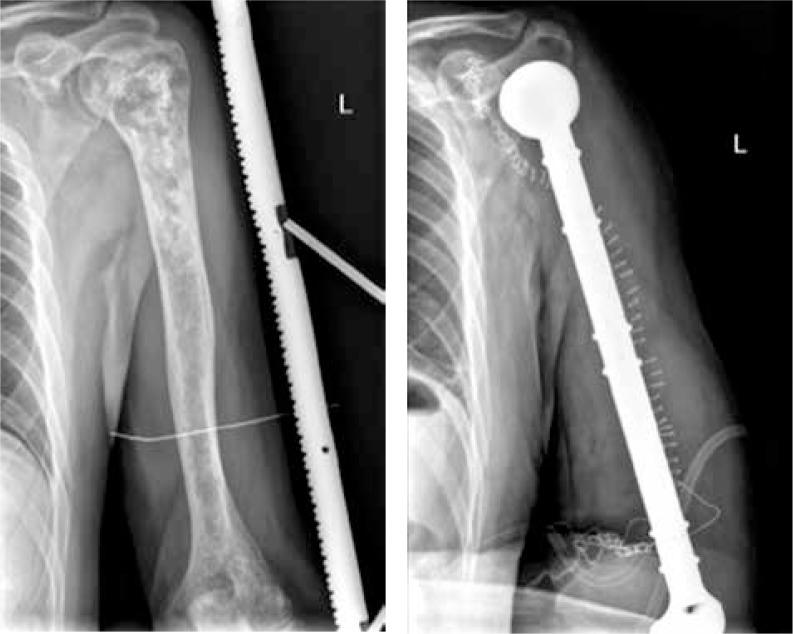
Primary bone tumours are relatively rare, but their diagnosis and treatment is difficult and connected with a high risk of complications. The goal of this report is a retrospective evaluation of outcomes in patients with primary tumours of the humerus treated in our centre with the use of modular endoprosthetic reconstruction.

MATERIAL AND METHODS

Currently, surgical treatment is a standard procedure for local therapy, with wide tumour-free margin resection after a planned multidisciplinary and individualised strategy of tumour management based on the diagnostic biopsy result. The best option for patients to avoid disability is simultaneous surgical reconstruction aiming to spare the limb and its functionality.

RESULTS

In this report, we present the results of treatment of our 11 adult patients suffering from primary bone tumours of the humerus, who have undergone wide bone resection followed by reconstruction with the use of a modular MUTARS endoprosthesis.

CONCLUSIONS

The study showed that prosthetic reconstruction of the resected humerus due to a primary bone tumour is safe and acceptable for patients; despite the fact that limitation of active abduction of the shoulder is up to 20 grades, this surgical procedure provides satisfactory limb function.

摘要

研究目的

原发性骨肿瘤相对罕见,但其诊断和治疗困难且并发症风险高。本报告的目的是对在我们中心接受模块化人工关节置换重建治疗的肱骨原发性肿瘤患者的治疗结果进行回顾性评估。

材料与方法

目前,手术治疗是局部治疗的标准程序,在基于诊断性活检结果制定的多学科个体化肿瘤管理策略后,进行广泛的无瘤边缘切除。对患者而言,避免残疾的最佳选择是同时进行手术重建,旨在保留肢体及其功能。

结果

在本报告中,我们展示了11例患有肱骨原发性骨肿瘤的成年患者的治疗结果,这些患者均接受了广泛的骨切除,随后使用模块化MUTARS人工关节进行重建。

结论

研究表明,因原发性骨肿瘤切除肱骨后进行假体重建对患者来说是安全且可接受的;尽管肩部主动外展受限可达20度,但该手术程序仍能提供令人满意的肢体功能。

https://cdn.ncbi.nlm.nih.gov/pmc/blobs/84bc/5701584/9e6674b8762c/WO-21-30594-g001.jpg

文献AI研究员

20分钟写一篇综述,助力文献阅读效率提升50倍。

立即体验

用中文搜PubMed

大模型驱动的PubMed中文搜索引擎

马上搜索

文档翻译

学术文献翻译模型,支持多种主流文档格式。

立即体验