Suppr超能文献

Phalangeal Fracture During Attempted Dupuytrens Release Following Clostridial Collagenase Injection: Case Report.

作者信息

Lewallen Laura W, Rizzo Marco

机构信息

Department of Orthopedic Surgery, Mayo Clinic, Rochester, Minnesota.

出版信息

J Orthop Case Rep. 2017 Jul-Aug;7(4):21-24. doi: 10.13107/jocr.2250-0685.832.

Abstract

INTRODUCTION

Dupuytren's disease can be a challenging condition for both patients and surgeons. Injectable collagen clostridium histolyticum was approved for clinical use by the Food and Drug Administration in 2010. A number of side effects have been described. In this case report, we present a complication of a proximal phalanx fracture which occurred during attempted release post injection. To the best of our knowledge, this is the first reported case of this particular complication.

CASE REPORT

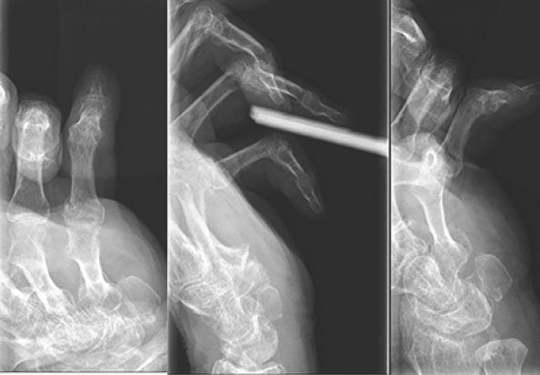
The patient is an 80-year-old right-hand dominant retired male with bilateral hand contractures and palmar fibromatosis. His medical history is notable for Type II diabetes mellitus and metastatic thyroid cancer. The patient underwent Xiaflex injection of the left small finger and returned 4 days later for planned release. An appreciable release of the contracture was noted; however, there was a concern for plastic deformation of the proximal phalanx as a result of the manipulation. X-rays confirmed the fracture and apex volar angulation at the base of the proximal phalanx. The fracture appeared amenable to non-operative treatment. The patient has been followed closely and has had no pain or tenderness at the fracture site and minimal swelling. X-rays at 1 week and 1 month showed maintained alignment and signs of consolidation at the fracture site. The patient is currently 4-month post-fracture, and no further intervention has been pursued.

CONCLUSIONS

This report represents an additional potential complication associated with the use of Xiaflex. We recommend judicious use in elderly patients with severe contractures and/or multiple comorbidities. It is important to appreciate the possibility of this complication at the time of release.

摘要
https://cdn.ncbi.nlm.nih.gov/pmc/blobs/15fd/5702696/00dd50f9473b/JOCR-7-21-g001.jpg

文献AI研究员

20分钟写一篇综述,助力文献阅读效率提升50倍。

立即体验

用中文搜PubMed

大模型驱动的PubMed中文搜索引擎

马上搜索

文档翻译

学术文献翻译模型,支持多种主流文档格式。

立即体验