Suppr超能文献

三维特征跟踪心脏磁共振的参考范围:与二维方法的比较以及年龄和性别的相关性

Reference ranges for three-dimensional feature tracking cardiac magnetic resonance: comparison with two-dimensional methodology and relevance of age and gender.

作者信息

Liu Boyang, Dardeer Ahmed M, Moody William E, Hayer Manvir K, Baig Shanat, Price Anna M, Leyva Francisco, Edwards Nicola C, Steeds Richard P

机构信息

University Hospital Birmingham NHS Foundation Trust, Birmingham, UK.

Institute of Cardiovascular Sciences, University of Birmingham, Birmingham, UK.

出版信息

Int J Cardiovasc Imaging. 2018 May;34(5):761-775. doi: 10.1007/s10554-017-1277-x. Epub 2017 Nov 27.

Abstract

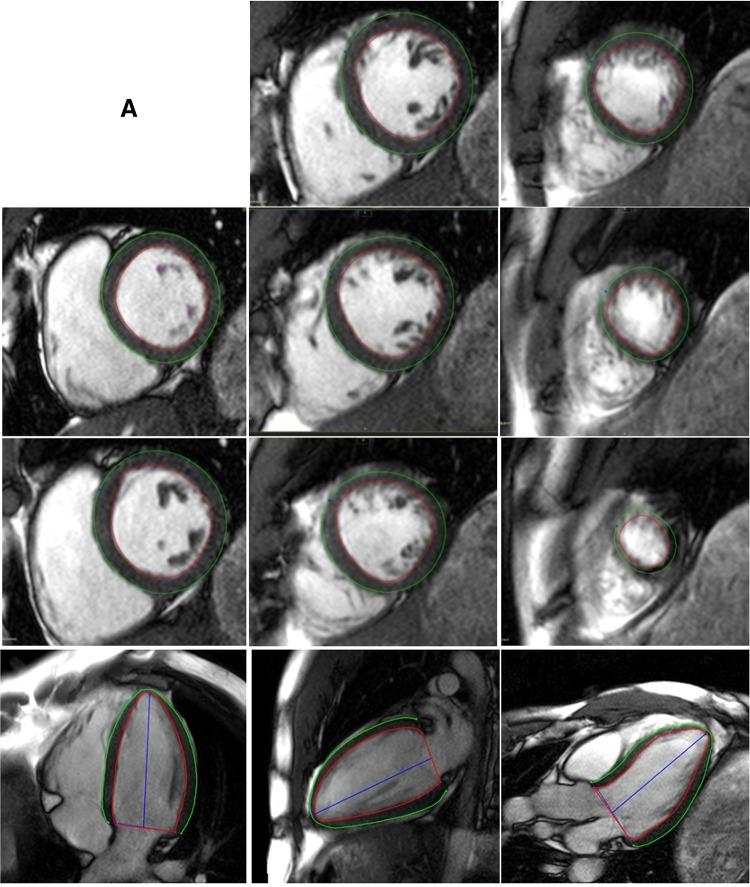
Myocardial deformation is a sensitive marker of sub-clinical myocardial dysfunction that carries independent prognostic significance across a broad range of cardiovascular diseases. It is now possible to perform 3D feature tracking of SSFP cines on cardiac magnetic resonance imaging (FT-CMR). This study provides reference ranges for 3D FT-CMR and assesses its reproducibility compared to 2D FT-CMR. One hundred healthy individuals with 10 men and women in each of 5 age deciles from 20 to 70 years, underwent 2D and 3D FT-CMR of left ventricular myocardial strain and strain rate using SSFP cines. Good health was defined by the absence of hypertension, diabetes, obesity, dyslipidaemia, or any cardiovascular, renal, hepatic, haematological and systemic inflammatory disease. Normal values for myocardial strain assessed by 3D FT-CMR were consistently lower compared with 2D FT-CMR measures [global circumferential strain (GCS) 3D - 17.6 ± 2.6% vs. 2D - 20.9 ± 3.7%, P < 0.005]. Validity of 3D FT-CMR was confirmed against other markers of systolic function. The 3D algorithm improved reproducibility compared to 2D, with GCS having the best inter-observer agreement [intra-class correlation (ICC) 0.88], followed by global radial strain (GRS; ICC 0.79) and global longitudinal strain (GLS, ICC 0.74). On linear regression analyses, increasing age was weakly associated with increased GCS (R = 0.15, R = 0.38), peak systolic strain rate, peak late diastolic strain rate, and lower peak early systolic strain rate. 3D FT-CMR offers superior reproducibility compared to 2D FT-CMR, with circumferential strain and strain rates offering excellent intra- and inter-observer variability. Normal range values for myocardial strain measurements using 3D FT-CMR are provided.

摘要

心肌形变是亚临床心肌功能障碍的敏感标志物,在广泛的心血管疾病中具有独立的预后意义。现在可以在心脏磁共振成像(FT-CMR)上对稳态自由感应衰减(SSFP)电影进行三维特征跟踪。本研究提供了三维FT-CMR的参考范围,并评估了其与二维FT-CMR相比的可重复性。100名健康个体,年龄在20至70岁之间,分为5个年龄组,每组10名男性和10名女性,使用SSFP电影进行左心室心肌应变和应变率的二维和三维FT-CMR检查。健康状况良好的定义为无高血压、糖尿病、肥胖、血脂异常或任何心血管、肾脏、肝脏、血液和全身性炎症性疾病。与二维FT-CMR测量相比,三维FT-CMR评估的心肌应变正常值始终较低[整体圆周应变(GCS)三维-17.6±2.6%,二维-20.9±3.7%,P<0.005]。三维FT-CMR的有效性通过与其他收缩功能标志物对比得到证实。与二维算法相比,三维算法提高了可重复性,其中GCS的观察者间一致性最佳[组内相关系数(ICC)为0.88],其次是整体径向应变(GRS;ICC为0.79)和整体纵向应变(GLS,ICC为0.74)。在线性回归分析中,年龄增长与GCS升高(R=0.15,R=0.38)、收缩期峰值应变率、舒张期末期峰值应变率升高以及收缩期早期峰值应变率降低呈弱相关。与二维FT-CMR相比,三维FT-CMR具有更高的可重复性,圆周应变和应变率在观察者内和观察者间的变异性都很小。本文提供了使用三维FT-CMR测量心肌应变的正常范围值。

https://cdn.ncbi.nlm.nih.gov/pmc/blobs/2022/5889420/58197d442ca0/10554_2017_1277_Fig1a_HTML.jpg

文献检索

告别复杂PubMed语法,用中文像聊天一样搜索,搜遍4000万医学文献。AI智能推荐,让科研检索更轻松。

立即免费搜索

文件翻译

保留排版,准确专业,支持PDF/Word/PPT等文件格式,支持 12+语言互译。

免费翻译文档

深度研究

AI帮你快速写综述,25分钟生成高质量综述,智能提取关键信息,辅助科研写作。

立即免费体验