• 文献检索
  • 文档翻译
  • 深度研究
  • 学术资讯
  • Suppr Zotero 插件Zotero 插件
  • 邀请有礼
  • 套餐&价格
  • 历史记录
应用&插件
Suppr Zotero 插件Zotero 插件浏览器插件Mac 客户端Windows 客户端微信小程序
定价
高级版会员购买积分包购买API积分包
服务
文献检索文档翻译深度研究API 文档MCP 服务
关于我们
关于 Suppr公司介绍联系我们用户协议隐私条款
关注我们

Suppr 超能文献

核心技术专利:CN118964589B侵权必究
粤ICP备2023148730 号-1Suppr @ 2026

文献检索

告别复杂PubMed语法,用中文像聊天一样搜索,搜遍4000万医学文献。AI智能推荐,让科研检索更轻松。

立即免费搜索

文件翻译

保留排版,准确专业,支持PDF/Word/PPT等文件格式,支持 12+语言互译。

免费翻译文档

深度研究

AI帮你快速写综述,25分钟生成高质量综述,智能提取关键信息,辅助科研写作。

立即免费体验

镓标记的纤维连接蛋白激活肽(Ga-FAPI)PET/MR评估冠心病中的心肌纤维化和室壁运动异常

Evaluation of myocardial fibrosis and wall motion abnormality with Ga-FAPI PET/MR in coronary heart disease.

作者信息

Luo Rui, Zhao Zhenyu, Zhang Chuan, Li Ru-Shuai, Wang Yanrong, Meng Qingle, Ni Yudan, Wang Bolin, Li Lanhua, Feng Luan, Yang Rui, Xie Lin, Chen Xin, Zhang Ming-Rong, Wang Feng

机构信息

Department of Nuclear Medicine, Nanjing First Hospital, Nanjing Medical University, 68 Changle Road, Qinhuai District, Nanjing, 210006, China.

Department of Advanced Nuclear Medicine Sciences, National Institute of Radiological Sciences, National Institutes for Quantum and Radiological Science and Technology, 4-9-1 Anagawa, Inage-Ku, Chiba, 263-8555, Japan.

出版信息

EJNMMI Res. 2025 Jul 21;15(1):89. doi: 10.1186/s13550-025-01246-2.

DOI:10.1186/s13550-025-01246-2
PMID:40690085
原文链接:https://pmc.ncbi.nlm.nih.gov/articles/PMC12279661/
Abstract

BACKGROUND

To explore the characteristics of cardiac fibroblast activation protein inhibitor (FAPI) PET/MR in coronary heart disease (CHD) and its association with abnormal wall motion.

RESULTS

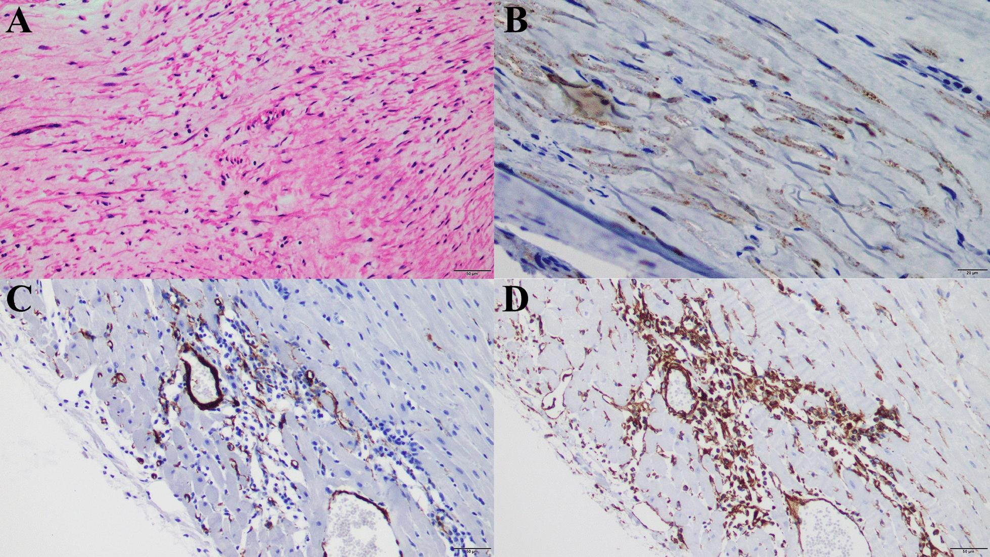
In this prospective study, participants with CHD after PCI (Percutaneous Coronary Intervention) underwent gallium 68 ( Ga)-labeled FAPI PET/MR imaging. FAP signal was quantified using standardized uptake values. Cardiac MRI yielded functional parameters and area of injury (MRI non-viable). Abnormal wall motion identified by myocardial strain analysis was evaluated using integrated analysis of late gadolinium enhancement (LGE) and FAP signal. The correlations between FAP signal and clinical parameters were explored. Forty-two participants were included and FAP signal was higher in left ventricle regional myocardium compared with remote normal areas (SUVmax, 5.0 ± 1.8 vs 1.2 ± 0.4; p < .001). In total, 432 segments (432/714, 60.50%) displayed impaired wall motion. In integrated analysis, the highest wall motion abnormality score was observed in the FAPI active/MRI non-viable group (11.0 ± 5.2). FAP signal was positively correlated with K time (SUVpeak: R = 0.48; p = .046; SUVmean: R = 0.57; p = .014) and negatively correlated with Angle (SUVpeak: R =  - 0.52; p = .026; SUVmean: R =  - 0.56; p = .026) in thromboelastography. Immunohistochemical analysis revealed FAP-positive fibroblasts in the infarct and border zone, and robust expression of α-smooth muscle actin and vimentin.

CONCLUSIONS

Simultaneous  Ga- FAPI PET/MR offers novel insights into the regional pattern of fibroblast activation in CHD, and the fibroblast activation protein signal is associated with abnormal wall motion. Trial registration ClinicalTrials: ClinicalTrials.gov ID: NCT05867589. Registered 01 May 2023, https://clinicaltrials.gov/study/NCT05867589.

摘要

背景

探讨冠心病(CHD)中心脏成纤维细胞激活蛋白抑制剂(FAPI)PET/MR的特征及其与室壁运动异常的关系。

结果

在这项前瞻性研究中,接受经皮冠状动脉介入治疗(PCI)后的冠心病患者接受了68镓(⁶⁸Ga)标记的FAPI PET/MR成像。使用标准化摄取值对FAP信号进行定量。心脏磁共振成像(MRI)得出功能参数和损伤面积(MRI显示为无存活心肌)。通过延迟钆增强(LGE)和FAP信号的综合分析评估心肌应变分析确定的室壁运动异常。探讨了FAP信号与临床参数之间的相关性。纳入42名参与者,左心室局部心肌的FAP信号高于远离正常区域(SUVmax,5.0±1.8对1.2±0.4;p<0.001)。总共432个节段(432/714,60.50%)显示室壁运动受损。在综合分析中,FAPI活性/MRI无存活心肌组的室壁运动异常评分最高(11.0±5.2)。FAP信号与血栓弹力图中的K时间呈正相关(SUVpeak:R=0.48;p=0.046;SUVmean:R=0.57;p=0.014),与角度呈负相关(SUVpeak:R=-0.52;p=0.026;SUVmean:R=-0.56;p=0.026)。免疫组织化学分析显示梗死区和边缘区有FAP阳性成纤维细胞,α-平滑肌肌动蛋白和波形蛋白表达强烈。

结论

同时进行⁶⁸Ga-FAPI PET/MR为冠心病中成纤维细胞激活的区域模式提供了新的见解,且成纤维细胞激活蛋白信号与室壁运动异常有关。试验注册:ClinicalTrials.gov标识符:NCT05867589。于2023年5月1日注册,https://clinicaltrials.gov/study/NCT05867589 。

https://cdn.ncbi.nlm.nih.gov/pmc/blobs/cd56/12279661/4b66a6a89a7c/13550_2025_1246_Fig6_HTML.jpg
https://cdn.ncbi.nlm.nih.gov/pmc/blobs/cd56/12279661/2f03ded1af6e/13550_2025_1246_Fig1_HTML.jpg
https://cdn.ncbi.nlm.nih.gov/pmc/blobs/cd56/12279661/fb638d3fef8a/13550_2025_1246_Fig2_HTML.jpg
https://cdn.ncbi.nlm.nih.gov/pmc/blobs/cd56/12279661/94770ae0d13c/13550_2025_1246_Fig3_HTML.jpg
https://cdn.ncbi.nlm.nih.gov/pmc/blobs/cd56/12279661/f9a2065b3b62/13550_2025_1246_Fig4_HTML.jpg
https://cdn.ncbi.nlm.nih.gov/pmc/blobs/cd56/12279661/3909512d27f8/13550_2025_1246_Fig5_HTML.jpg
https://cdn.ncbi.nlm.nih.gov/pmc/blobs/cd56/12279661/4b66a6a89a7c/13550_2025_1246_Fig6_HTML.jpg
https://cdn.ncbi.nlm.nih.gov/pmc/blobs/cd56/12279661/2f03ded1af6e/13550_2025_1246_Fig1_HTML.jpg
https://cdn.ncbi.nlm.nih.gov/pmc/blobs/cd56/12279661/fb638d3fef8a/13550_2025_1246_Fig2_HTML.jpg
https://cdn.ncbi.nlm.nih.gov/pmc/blobs/cd56/12279661/94770ae0d13c/13550_2025_1246_Fig3_HTML.jpg
https://cdn.ncbi.nlm.nih.gov/pmc/blobs/cd56/12279661/f9a2065b3b62/13550_2025_1246_Fig4_HTML.jpg
https://cdn.ncbi.nlm.nih.gov/pmc/blobs/cd56/12279661/3909512d27f8/13550_2025_1246_Fig5_HTML.jpg
https://cdn.ncbi.nlm.nih.gov/pmc/blobs/cd56/12279661/4b66a6a89a7c/13550_2025_1246_Fig6_HTML.jpg

相似文献

1
Evaluation of myocardial fibrosis and wall motion abnormality with Ga-FAPI PET/MR in coronary heart disease.镓标记的纤维连接蛋白激活肽(Ga-FAPI)PET/MR评估冠心病中的心肌纤维化和室壁运动异常
EJNMMI Res. 2025 Jul 21;15(1):89. doi: 10.1186/s13550-025-01246-2.
2
Predictive value of [Ga]Ga-FAPI-04 PET/CT on pathologic response to neoadjuvant chemoimmunotherapy for locally advanced resectable oral squamous cell carcinoma.[镓]Ga-FAPI-04 PET/CT对局部晚期可切除口腔鳞状细胞癌新辅助化疗免疫治疗病理反应的预测价值。
Eur J Nucl Med Mol Imaging. 2025 Jun 23. doi: 10.1007/s00259-025-07414-9.
3
FAP and PSMA Expression by Immunohistochemistry and PET Imaging in Castration-Resistant Prostate Cancer: A Translational Pilot Study.去势抵抗性前列腺癌中免疫组织化学和PET成像检测FAP和PSMA表达:一项转化性初步研究
J Nucl Med. 2024 Dec 3;65(12):1952-1958. doi: 10.2967/jnumed.124.268037.
4
Relationship between PD-L1 expression and [F]FAPI versus [F]FDG uptake on PET/CT in lung cancer.肺癌患者PET/CT上PD-L1表达与[F]FAPI及[F]FDG摄取之间的关系
Eur J Nucl Med Mol Imaging. 2025 Mar 21. doi: 10.1007/s00259-025-07201-6.
5
Enhanced Detection of Early Pulmonary Fibrosis Disease Using Ga-FAPI-LM3 PET.镓-FAPI-LM3 PET 对早期肺纤维化疾病的增强检测。
Mol Pharm. 2024 Jul 1;21(7):3684-3692. doi: 10.1021/acs.molpharmaceut.4c00405. Epub 2024 Jun 20.
6
Discrimination between Inflammatory and Fibrotic Activity in Crohn's Disease-Associated Ileal-Colonic Anastomotic Strictures by Combined Ga-68-FAPI-46 and F-18-FDG-PET/CT Imaging.通过联合Ga-68-FAPI-46和F-18-FDG-PET/CT成像鉴别克罗恩病相关回结肠吻合口狭窄中的炎症和纤维化活动
Visc Med. 2025 Feb;41(1):1-13. doi: 10.1159/000542160. Epub 2024 Dec 20.
7
Integrated 68 Ga-FAPI-04 PET/MR in Pancreatic Cancer : Prediction of Tumor Response and Tumor Resectability After Neoadjuvant Therapy.68Ga-FAPI-04 PET/MR 融合显像在胰腺癌中的应用:预测新辅助治疗后肿瘤反应和肿瘤可切除性。
Clin Nucl Med. 2024 Aug 1;49(8):715-721. doi: 10.1097/RLU.0000000000005300. Epub 2024 Jun 20.
8
18F-FAPI PET/CT for Early Detection and Severity Assessment of Intestinal Fibrosis in a Mouse Model.18F-纤维母细胞激活蛋白抑制剂正电子发射断层显像/计算机断层扫描用于小鼠模型中肠纤维化的早期检测和严重程度评估
Inflamm Bowel Dis. 2025 May 9. doi: 10.1093/ibd/izaf086.
9
Diagnostic Value of [F]-FDG and [ Ga]-FAPI-04 PET/MRI for Lymph Node Metastasis in Papillary Thyroid Cancer.[F]-FDG和[Ga]-FAPI-04 PET/MRI对甲状腺乳头状癌淋巴结转移的诊断价值
Mol Imaging Biol. 2025 Jun 24. doi: 10.1007/s11307-025-02028-x.
10
From bench to bedside, blade, and back: FAP expression in juvenile angiofibroma. Potential implications for FAPI-PET/CT imaging and targeted therapy?从实验台到病床边,再回到实验台:青少年血管纤维瘤中的FAP表达。对FAPI-PET/CT成像和靶向治疗有何潜在影响?
Eur J Nucl Med Mol Imaging. 2025 Jul 22. doi: 10.1007/s00259-025-07468-9.

本文引用的文献

1
Properties and Functions of Fibroblasts and Myofibroblasts in Myocardial Infarction.心肌梗死中成纤维细胞和肌成纤维细胞的特性和功能。
Cells. 2022 Apr 20;11(9):1386. doi: 10.3390/cells11091386.
2
Fibroblast activation protein imaging in reperfused ST-elevation myocardial infarction: comparison with cardiac magnetic resonance imaging.再灌注治疗的 ST 段抬高型心肌梗死中的成纤维细胞激活蛋白成像:与心脏磁共振成像的比较。
Eur J Nucl Med Mol Imaging. 2022 Jul;49(8):2786-2797. doi: 10.1007/s00259-021-05674-9. Epub 2022 Jan 5.
3
Visualization of Fibroblast Activation After Myocardial Infarction Using 68Ga-FAPI PET.
利用 68Ga-FAPI PET 观察心肌梗死后成纤维细胞激活
Clin Nucl Med. 2021 Oct 1;46(10):807-813. doi: 10.1097/RLU.0000000000003745.
4
Molecular imaging of fibroblast activation protein after myocardial infarction using the novel radiotracer [Ga]MHLL1.新型放射性示踪剂 [Ga]MHLL1 对心肌梗死后成纤维细胞激活蛋白的分子成像。
Theranostics. 2021 Jun 22;11(16):7755-7766. doi: 10.7150/thno.51419. eCollection 2021.
5
Cytotoxic CD8 T cells promote granzyme B-dependent adverse post-ischemic cardiac remodeling.细胞毒性 CD8 T 细胞促进颗粒酶 B 依赖性缺血后不良心脏重构。
Nat Commun. 2021 Mar 5;12(1):1483. doi: 10.1038/s41467-021-21737-9.
6
Myocardial Deformation Assessed by MR Feature Tracking in Groups of Patients With Ischemic Heart Disease.基于 MR 特征追踪的心肌形变在缺血性心脏病患者组中的评估。
J Magn Reson Imaging. 2021 Sep;54(3):808-815. doi: 10.1002/jmri.27588. Epub 2021 Mar 4.
7
Association between right ventricular strain and outcomes in patients with dilated cardiomyopathy.扩张型心肌病患者右心室应变与预后的关系。
Heart. 2021 Jul 12;107(15):1233-1239. doi: 10.1136/heartjnl-2020-317949.
8
Cardiac fibroblast activation detected by Ga-68 FAPI PET imaging as a potential novel biomarker of cardiac injury/remodeling.Ga-68 FAPI PET 显像检测到的心脏成纤维细胞激活可作为心脏损伤/重构的潜在新型生物标志物。
J Nucl Cardiol. 2021 Jun;28(3):812-821. doi: 10.1007/s12350-020-02307-w. Epub 2020 Sep 25.
9
Hybrid PET/MR imaging for the prediction of left ventricular recovery after percutaneous revascularisation of coronary chronic total occlusions.用于预测冠状动脉慢性完全闭塞经皮血管重建术后左心室恢复情况的PET/MR混合成像
Eur J Nucl Med Mol Imaging. 2020 Dec;47(13):3074-3083. doi: 10.1007/s00259-020-04877-w. Epub 2020 May 30.
10
Molecular Imaging of Fibroblast Activity After Myocardial Infarction Using a Ga-Labeled Fibroblast Activation Protein Inhibitor, FAPI-04.利用 Ga 标记的成纤维细胞激活蛋白抑制剂 FAPI-04 对心肌梗死后成纤维细胞活性进行分子成像。
J Nucl Med. 2019 Dec;60(12):1743-1749. doi: 10.2967/jnumed.119.226993. Epub 2019 Aug 12.