Suppr超能文献

成人骶尾部畸胎瘤伴尾骨切除术:一例病例报告并文献复习

Adult sacrococcygeal teratoma with coccygectomy: A case report with a review of the literature.

作者信息

Diaz-Aguilar Daniel, Terterov Sergei, Scharnweber Rudi, Merna Catherine, Wang Stephanie, Rahman Shayan

机构信息

Department of Neurosurgery, David Geffen School of Medicine at UCLA, Los Angeles, California, USA.

Department of Neurosurgery, Kaiser Permanente Medical Center, Los Angeles, California, USA.

出版信息

Surg Neurol Int. 2017 Oct 24;8:260. doi: 10.4103/sni.sni_224_17. eCollection 2017.

Abstract

BACKGROUND

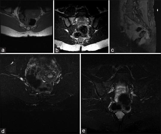
Saccrococcygeal teratomas (SCT) are derived from embryonic germ cell layers. They frequently present at the base of the coccyx within the pelvis. While these tumors are common in children, they are exceedingly rare in adults. In adults, a majority of these tumors are intrapelvic and associated with a low risk of malignant transformation. Therefore, this contributes to a good prognosis following resection of mostly benign lesions.

CASE DESCRIPTION

An adult female with chronic pelvic pain presented with a sacral teratoma. She failed conservative treatment and underwent a coccygectomy with an excision of the tumor. Microscopic histological analysis showed no evidence of immature or malignant elements, confirming the diagnosis of a mature, benign, cystic SCT.

CONCLUSIONS

Mature SCTs in adults are rare malignant lesions. In this case, the patient was cured following primary surgical excision requiring en-bloc coccygectomy.

摘要

背景

骶尾部畸胎瘤(SCT)起源于胚胎生殖细胞层。它们常出现在盆腔内尾骨的基部。虽然这些肿瘤在儿童中很常见,但在成人中极为罕见。在成人中,这些肿瘤大多数位于盆腔内,恶性转化风险较低。因此,这使得大多数良性病变切除后预后良好。

病例描述

一名患有慢性盆腔疼痛的成年女性被诊断为骶骨畸胎瘤。她保守治疗失败,接受了尾骨切除术及肿瘤切除术。显微镜下组织学分析未发现不成熟或恶性成分的证据,确诊为成熟、良性、囊性骶尾部畸胎瘤。

结论

成人成熟骶尾部畸胎瘤是罕见的恶性病变。在此病例中,患者通过需要整块切除尾骨的初次手术切除得以治愈。

https://cdn.ncbi.nlm.nih.gov/pmc/blobs/4ebb/5680643/caae03f1a120/SNI-8-260-g001.jpg

文献AI研究员

20分钟写一篇综述,助力文献阅读效率提升50倍。

立即体验

用中文搜PubMed

大模型驱动的PubMed中文搜索引擎

马上搜索

文档翻译

学术文献翻译模型,支持多种主流文档格式。

立即体验