Suppr超能文献

术后胆道梗阻所致肝内门静脉血栓形成经部分血栓切除术联合溶栓药物治疗成功治愈。

Intrahepatic portal vein thrombosis due to postoperative biliary obstruction successfully treated by a partial thrombectomy combined with thrombolytic drug therapy.

作者信息

Imamura Naoya, Nanashima Atsushi, Tsuchimochi Yuki, Hamada Takeomi, Yano Koichi, Hiyoshi Masahide, Fujii Yoshiro, Nakamura Kunihide

机构信息

Division of Hepato-Biliary-Pancreas Surgery, Department of Surgery, University of Miyazaki Faculty of Medicine, 5200 Kihara Kiyotake, Miyazaki, 889-1692, Japan.

Division of Hepato-Biliary-Pancreas Surgery, Department of Surgery, University of Miyazaki Faculty of Medicine, 5200 Kihara Kiyotake, Miyazaki, 889-1692, Japan.

出版信息

Int J Surg Case Rep. 2018;42:20-23. doi: 10.1016/j.ijscr.2017.11.047. Epub 2017 Nov 27.

Abstract

INTRODUCTION

This case report aims to inform pancreatic surgeons about our perioperative management of intrahepatic portal vein thrombosis caused by an obstruction of hepaticojejunostomy (HJ) after pancreaticoduodenectomy (PD).

CASE PRESENTATION

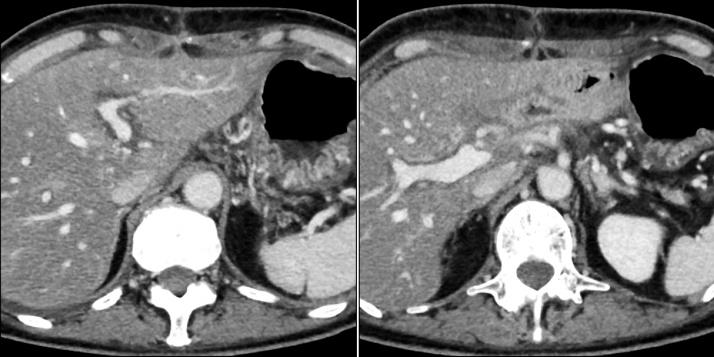
A 65-year-old woman was diagnosed with pancreas head carcinoma involving the superior mesenteric vein (SMV). Pancreaticoduodenectomy combined with SMV resection was followed by HJ. Twisting or narrowing was not evident during anastomosis. Total bilirubin values progressively increased to 13mg/dL on day 5. At that time, we suspected anastomotic occlusion and found complete portal thrombosis of the left liver. Therefore, emergency re-anastomosis of the HJ was followed by thrombectomy, which was not completely successful and did not completely recover initial portal flow. Thrombolytic drugs improved obstructive jaundice, eradicated the organized thrombosis and recovered the portal flow by day 30. The post-operative course was uneventful.

DISCUSSION

A thrombosis immediately formed in the portal vein due to biliary obstruction of an anastomotic site. We speculated that biliary dilation and related inflammation caused a relative increase in arterial flow and decreased portal flow at the localized part of the umbilical portion. Although early surgical thrombectomy was attempted soon after the primary operation, the organized thrombosis persisted. However, thrombolytic therapy eradicated the thrombosis.

CONCLUSION

Careful anastomosis of HJ during PD was necessary to avoid postoperative biliary stricture. This type of complication affects intrahepatic blood flow, particularly via the portal vein. Although immediate re-anastomosis or thrombectomy is applied, organized thrombosis cannot always be surgically removed.

摘要

引言

本病例报告旨在向胰腺外科医生介绍我们对胰十二指肠切除术后肝空肠吻合口梗阻所致肝内门静脉血栓形成的围手术期处理。

病例介绍

一名65岁女性被诊断为胰头癌侵犯肠系膜上静脉。行胰十二指肠切除术联合肠系膜上静脉切除术后进行肝空肠吻合。吻合过程中未见扭转或狭窄。术后第5天总胆红素值逐渐升至13mg/dL。此时,我们怀疑吻合口闭塞,发现左肝门静脉完全血栓形成。因此,紧急再次进行肝空肠吻合,随后行血栓切除术,但未完全成功,门静脉血流未完全恢复。溶栓药物改善了梗阻性黄疸,消除了机化血栓,至第30天时门静脉血流恢复。术后病程顺利。

讨论

吻合口胆道梗阻导致门静脉立即形成血栓。我们推测胆道扩张及相关炎症导致脐部局部动脉血流相对增加,门静脉血流减少。尽管在初次手术后不久即尝试早期手术取栓,但机化血栓仍持续存在。然而,溶栓治疗消除了血栓。

结论

胰十二指肠切除术中仔细进行肝空肠吻合对于避免术后胆道狭窄很有必要。此类并发症会影响肝内血流,尤其是通过门静脉的血流。尽管立即进行再次吻合或取栓,但机化血栓不一定能通过手术清除。

https://cdn.ncbi.nlm.nih.gov/pmc/blobs/21af/5723364/c940dd9fe61f/gr1.jpg

相似文献

8
[Application of percutaneous AngioJet thrombectomy in patients with acute symptomatic portal and superior mesenteric venous thrombosis].
Zhonghua Yi Xue Za Zhi. 2017 Apr 4;97(13):991-995. doi: 10.3760/cma.j.issn.0376-2491.2017.13.006.
9
Combination of Surgical Thrombectomy and Direct Thrombolysis in Acute Abdomen with Portal and Superior Mesenteric Vein Thrombosis.
Vasc Specialist Int. 2014 Dec;30(4):155-8. doi: 10.5758/vsi.2014.30.4.155. Epub 2014 Dec 31.

本文引用的文献

1
The SCARE Statement: Consensus-based surgical case report guidelines.
Int J Surg. 2016 Oct;34:180-186. doi: 10.1016/j.ijsu.2016.08.014. Epub 2016 Sep 7.
2
Postoperative portal vein thrombosis and gastric hemorrhage associated with late-onset hemorrhage from the common hepatic artery after pancreaticoduodenectomy.
Korean J Hepatobiliary Pancreat Surg. 2016 Feb;20(1):44-7. doi: 10.14701/kjhbps.2016.20.1.44. Epub 2016 Feb 19.
3
Portal vein thrombosis: When to treat and how?
Vasc Med. 2016 Feb;21(1):61-9. doi: 10.1177/1358863X15611224. Epub 2015 Nov 19.
4
Nonsurgical Therapeutic Options in Portal Vein Thrombosis.
Viszeralmedizin. 2014 Dec;30(6):388-92. doi: 10.1159/000369848.
5
Acute portal vein thrombosis due to chronic relapsing pancreatitis: a fistula between a pancreatic pseudocyst and the splenic vein.
Clin J Gastroenterol. 2014 Feb;7(1):52-7. doi: 10.1007/s12328-013-0442-6. Epub 2013 Dec 12.
6
Technical risk factors for portal vein reconstruction thrombosis in pancreatic resection.
J Vasc Surg. 2015 Aug;62(2):424-33. doi: 10.1016/j.jvs.2015.01.061. Epub 2015 May 4.
7
Portal vein patency after pancreatoduodenectomy for periampullary cancer.
Br J Surg. 2015 Jan;102(1):77-84. doi: 10.1002/bjs.9682. Epub 2014 Nov 12.
8
Improving outcomes in pancreatic cancer: key points in perioperative management.
World J Gastroenterol. 2014 Oct 21;20(39):14237-45. doi: 10.3748/wjg.v20.i39.14237.
9
Portal vein thrombosis: a clinician-oriented and practical review.
Clin Appl Thromb Hemost. 2014 Jul;20(5):498-506. doi: 10.1177/1076029612473515. Epub 2013 Jan 29.
10
Falciform ligament abscess from left sided portal pyaemia following malignant obstructive cholangitis.
World J Surg Oncol. 2012 Dec 22;10:278. doi: 10.1186/1477-7819-10-278.

文献AI研究员

20分钟写一篇综述,助力文献阅读效率提升50倍。

立即体验

用中文搜PubMed

大模型驱动的PubMed中文搜索引擎

马上搜索

文档翻译

学术文献翻译模型,支持多种主流文档格式。

立即体验