Sivakumaran Lojan, Sayegh Karl, Mehanna Emile, Sanchez Frank W, Fields Jonathan, Cury Ricardo
Université de Montréal, 2900 Boulevard Edouard-Montpetit, Montreal, QC, H3T 1J4, Canada.
McGill University Health Centre, 1650 Cedar Ave, Montreal, QC, H3G 1A4, Canada.
BMC Res Notes. 2017 Dec 4;10(1):681. doi: 10.1186/s13104-017-3046-2.
Right atrial appendage aneurysms are rare entities that may have significant clinical consequences. When co-existing with atrial fibrillation, patients are at risk of developing pulmonary or paradoxical systemic emboli.
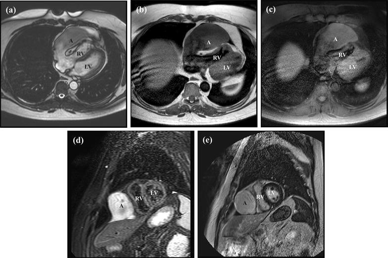
An elderly patient presented to medical attention with symptoms of acute diverticulitis. On abdominal computed tomography, a massively enlarged right atrial appendage aneurysm was discovered incidentally. The aneurysm caused marked compression of the right ventricle and contained an area of hypoenhancement concerning for an intraluminal thrombus. Gadolinium-enhanced cardiovascular magnetic resonance was performed and first-pass perfusion images demonstrated that the area of hypoenhancement was in fact poorly mixing blood. The patient was therefore managed medically.
Right atrial appendage aneurysms are infrequently encountered cardiac abnormalities. In the literature, surgery has been offered to patients who are young, symptomatic, or have evidence of thrombotic disease, although whether this practice pattern is associated with superior clinical outcomes is unclear. In the present case, gadolinium-enhanced cardiovascular magnetic resonance imaging was used to exclude the presence of intraluminal thrombus in an elderly patient, which helped orient the patient's treating team towards medical-rather than surgical-therapy.
右心耳动脉瘤是罕见的疾病,可能会产生严重的临床后果。当与心房颤动并存时,患者有发生肺栓塞或反常栓塞的风险。
一名老年患者因急性憩室炎症状前来就医。在腹部计算机断层扫描时,偶然发现一个巨大的右心耳动脉瘤。该动脉瘤对右心室造成明显压迫,且包含一个强化减低区域,考虑为腔内血栓。进行了钆增强心血管磁共振成像,首次通过灌注图像显示强化减低区域实际上是血液混合不良。因此,该患者接受了药物治疗。
右心耳动脉瘤是罕见的心脏异常。在文献中,对于年轻、有症状或有血栓形成疾病证据的患者,已提供手术治疗,尽管这种治疗模式是否与更好的临床结果相关尚不清楚。在本病例中,钆增强心血管磁共振成像用于排除一名老年患者腔内血栓的存在,这有助于指导患者的治疗团队选择药物而非手术治疗。