Suppr超能文献

White Matter Changes in Corpus Callosum in a Patient with Idiopathic Normal Pressure Hydrocephalus.

作者信息

Mullaguri Naresh, Battineni Anusha, Newey Christopher R, Nattanmai Premkumar

机构信息

Department of Neurology, University of Missouri, 1 Hospital Drive, Columbia, MO, USA.

出版信息

J Neurosci Rural Pract. 2017 Oct-Dec;8(4):657-659. doi: 10.4103/jnrp.jnrp_329_17.

Abstract

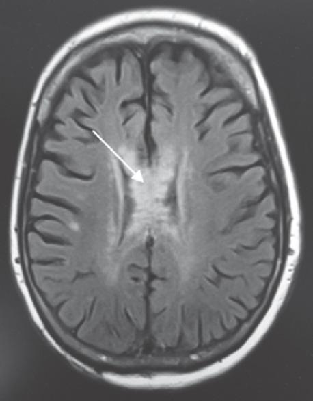
Idiopathic normal pressure hydrocephalus (INPH) is characterized by the clinical triad of gait and cognitive dysfunction and urinary incontinence. Ventriculoperitoneal (VP) shunting is often required for treatment. Review of literature shows few case reports discussing benign magnetic resonance imaging (MRI) T2 hyperintense changes in the corpus callosum of NPH patients after shunting due to mechanical compression of the middle and posterior regions of the body against falx cerebri leading to ischemic demyelination. These changes can be a delayed phenomenon and may interfere with clinical evaluation and may lead to unnecessary procedures and investigations. We present a patient with NPH who was admitted to the neurocritical care unit in coma with quetiapine and trazodone overdose. Diffuse changes in the body of the corpus callosum were seen on MRI suspicious for acute vasogenic edema due to drug overdose. However, it was later determined to be due to the VP shunting for the NPH. We report this case to raise the awareness of neuroimaging changes in patients with NPH who have VP shunting.

摘要
https://cdn.ncbi.nlm.nih.gov/pmc/blobs/6959/5709896/369ab2b392ee/JNRP-8-657-g001.jpg

文献检索

告别复杂PubMed语法,用中文像聊天一样搜索,搜遍4000万医学文献。AI智能推荐,让科研检索更轻松。

立即免费搜索

文件翻译

保留排版,准确专业,支持PDF/Word/PPT等文件格式,支持 12+语言互译。

免费翻译文档

深度研究

AI帮你快速写综述,25分钟生成高质量综述,智能提取关键信息,辅助科研写作。

立即免费体验