Suppr超能文献

用于脑脊液IgG寡克隆带电泳的半自动图像分析工具的评估

Evaluation of semi-automatic image analysis tools for cerebrospinal fluid electrophoresis of IgG oligoclonal bands.

作者信息

Forzy G, Peyrodie L, Boudet S, Wang Z, Vinclair A, Chieux V

机构信息

Faculté de Médecine et de Maieutique, Lille, France.

Groupement Hospitalier Institut Catholique de Lille, France.

出版信息

Pract Lab Med. 2017 Nov 10;10:1-9. doi: 10.1016/j.plabm.2017.11.001. eCollection 2018 Mar.

Abstract

BACKGROUND

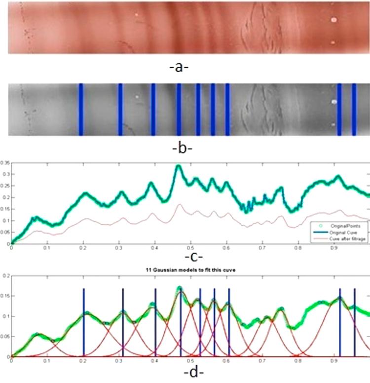
IgG concentrations in cerebrospinal fluid generally range from 20 to 45 mg/L. In multiple sclerosis immune reactions lead to intrathecal synthesis of specific IgGs that can be detected in biological fluid samples both quantitatively and qualitatively by isoelectric focusing of supplementary oligoclonal IgG bands.

METHOD

A simple tool, using the MATLAB application, to facilitate and improve isoelectric focusing profile analysis is presented and evaluated in terms of its sensitivity, repeatability and reproducibility. A comparison between human readers and semi-automatic method has also been performed.

RESULTS

Results from the semi-automatic method were found to be equivalent or superior to generally employed laboratory methods. Repeatability analysis for semi-automatic processing yielded coefficients of variation (CVs) in the 3-7% range, and using a sample with an estimated IgG concentration of 200 mg/L, four bands were still visible after dilution to 5 mg/L, corresponding to band concentrations of 1.1-1.6 mg/L. Discordances between visual inspection and automatic analysis only appear at threshold levels for interpretation (the gray zone).

CONCLUSION

The semi-automatic method has acceptable performance for routine implementation.

摘要

背景

脑脊液中IgG浓度一般在20至45毫克/升之间。在多发性硬化症中,免疫反应会导致鞘内合成特异性IgG,可通过补充寡克隆IgG带的等电聚焦在生物流体样本中进行定量和定性检测。

方法

介绍了一种使用MATLAB应用程序的简单工具,用于促进和改进等电聚焦图谱分析,并对其灵敏度、重复性和再现性进行了评估。还进行了人工读取与半自动方法之间的比较。

结果

发现半自动方法的结果等同于或优于一般采用的实验室方法。半自动处理的重复性分析得出的变异系数(CV)在3%-7%范围内,使用估计IgG浓度为200毫克/升的样本,稀释至5毫克/升后仍可见四条带,对应条带浓度为1.1-1.6毫克/升。目视检查与自动分析之间的不一致仅出现在解释的阈值水平(灰色区域)。

结论

半自动方法在常规应用中具有可接受的性能。

https://cdn.ncbi.nlm.nih.gov/pmc/blobs/2022/5709311/12aaa096718e/gr1.jpg

文献AI研究员

20分钟写一篇综述,助力文献阅读效率提升50倍。

立即体验

用中文搜PubMed

大模型驱动的PubMed中文搜索引擎

马上搜索

文档翻译

学术文献翻译模型,支持多种主流文档格式。

立即体验