Suppr超能文献

宫内节育器移位致乙状结肠穿孔并发盆腔脓肿:1例报告并文献复习

Pelvic abscess complicating sigmoid colon perforation by migrating intrauterine device: A case report and review of the literature.

作者信息

Toumi Omar, Ammar Houssem, Ghdira Abdessalem, Chhaidar Amine, Trimech Wided, Gupta Rahul, Salem Randa, Saad Jamel, Korbi Ibtissem, Nasr Mohamed, Noomen Faouzi, Golli Mondher, Zouari Khadija

机构信息

Department of General and Digestive Surgery, Hopital Fattouma Bourguiba, Monastir, Tunisia.

Department of General and Digestive Surgery, Hopital Sahloul, Sousse, Tunisia.

出版信息

Int J Surg Case Rep. 2018;42:60-63. doi: 10.1016/j.ijscr.2017.10.038. Epub 2017 Oct 27.

Abstract

INTRODUCTION

Intrauterine devices (IUDs) are commonly used as a contraceptive method. However, they may cause rare but potentially serious complications such as migration through the uterine wall and gastrointestinal perforation.

PRESENTATION OF CASE

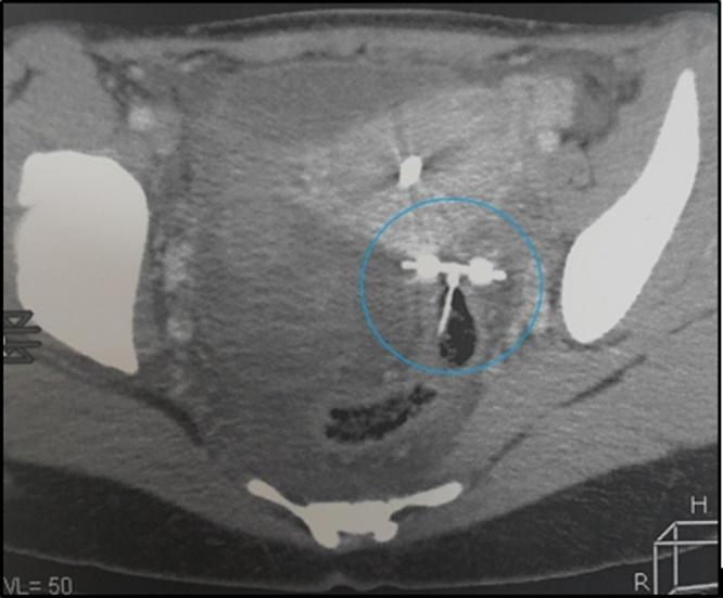
We report a case of a 26-year woman, carrying an IUD for 2 years, who presented to the emergency with pelvic pain with breakthrough bleeding. Abdominal imaging revealed the presence of two devices the first of which was located in the uterine cavity and the other in the wall of the sigmoid colon associated with a 5-centimeter pelvic collection. Intraoperatively, the IUD was found to be embedded in the wall of the sigmoid colon which was removed by wedge resection of the involved segment followed by a closure of the puncture with drainage.

DISCUSSION

The Intrauterine Device (IUD) is an effective method of contraception, relatively well tolerated, reversible, inexpensive and widely used. However, it is not without risk. Indeed, serious complications can occur such as uterine perforation and migration to adjacent abdomino-pelvic structures. Our observation illustrates its rarity given the fact that this complication has been observed the first time in our department over the last ten years.

CONCLUSION

The migration of IUD must be treated even in asymptomatic patients due to the risk of severe complications.

摘要

引言

宫内节育器(IUDs)是常用的避孕方法。然而,它们可能会引起罕见但潜在严重的并发症,如穿透子宫壁和胃肠道穿孔。

病例介绍

我们报告一例26岁女性,放置宫内节育器2年,因突破性出血伴盆腔疼痛前来急诊。腹部影像学检查发现有两个节育器,其中一个位于子宫腔内,另一个位于乙状结肠壁,伴有5厘米的盆腔积液。术中发现宫内节育器嵌入乙状结肠壁,通过楔形切除受累肠段并缝合穿刺口并引流将其取出。

讨论

宫内节育器(IUD)是一种有效的避孕方法,耐受性相对较好,可逆,价格低廉且应用广泛。然而,它并非没有风险。确实可能发生严重并发症,如子宫穿孔和迁移至相邻的腹盆腔结构。鉴于该并发症在过去十年中是我们科室首次观察到,我们的病例说明了其罕见性。

结论

由于存在严重并发症的风险,即使是无症状患者,宫内节育器的迁移也必须进行治疗。

https://cdn.ncbi.nlm.nih.gov/pmc/blobs/2753/5734699/1c235b5fd512/gr1.jpg

文献AI研究员

20分钟写一篇综述,助力文献阅读效率提升50倍。

立即体验

用中文搜PubMed

大模型驱动的PubMed中文搜索引擎

马上搜索

文档翻译

学术文献翻译模型,支持多种主流文档格式。

立即体验