Park Jung Min, Lee Chang Seog, Kim Min Seong, Kim Do Young, Kim Chul Young, Lim Young Bae, Lee Yong Kyu, Park Dong Eun, Lee Dong Hyun
Department of Internal Medicine, Good Gang-An Hospital, Busan, Korea.
J Korean Soc Coloproctol. 2010 Dec;26(6):433-6. doi: 10.3393/jksc.2010.26.6.433. Epub 2010 Dec 31.
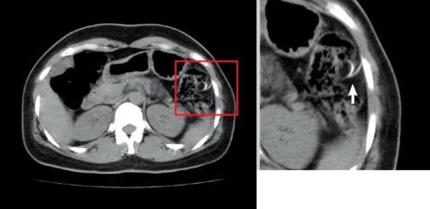
Foreign bodies in the gastrointestinal tract often cause serious complications, such as perforation, obstruction, abscess formation, or hemorrhage. This is a case in which a patient visited our hospital and complained of a vague lower abdominal pain that had been present for three months. She had an intrauterine device (IUD) inserted five years earlier. The abdominal X-ray, computed tomography and colonoscopy revealed that the IUD had penetrated into the descending colon. We tried to remove the IUD by colonoscopy but failed due to pain, so we removed the IUD surgically. Thus, we report a case in which a previously inserted IUD had penetrated into the descending colon and was surgically removed. We also present a brief review of the literature.