Suppr超能文献

气管穿孔手术修复期间的静脉-静脉体外膜肺氧合:一例报告

Veno-venous ECMO during surgical repair of tracheal perforation: A case report.

作者信息

Antonacci Filippo, De Tisi Chiara, Donadoni Ilaria, Maurelli Marco, Iotti Giorgio, Taccone Fabio Silvio, Orlandoni Giulio, Pellegrini Carlo, Belliato Mirko

机构信息

Thoracic Surgery, Fondazione IRCCS Policlinico San Matteo, Pavia, Italy.

Thoracic Surgery, Fondazione IRCCS Policlinico San Matteo, Pavia, Italy.

出版信息

Int J Surg Case Rep. 2018;42:64-66. doi: 10.1016/j.ijscr.2017.11.036. Epub 2017 Nov 24.

Abstract

INTRODUCTION

Extracorporeal membrane oxygenation (ECMO) is used extensively in cardiothoracic surgery both for hemodynamic and respiratory support. It has proven to be a valuable tool to maintain adequate oxygenation during tracheal surgery. Airway lesion may be an indication for veno-venous ECMO both in case of conservative management and in case of surgical repair. Here we report the case of a patient with a iatrogenic tracheal injury, successfully operated with the support of veno-venous extracorporeal oxygenation.

PRESENTATION OF CASE

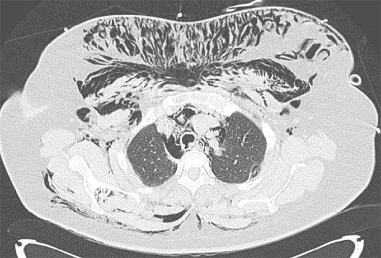
A 39-year-old female underwent an elective laparoscopic adhesiolysis. At the end of the procedure, the patient had developed subcutaneous emphysema. A CT-scan showed mediastinal and subcutaneous emphysema and left pneumothorax with a laceration of the membranous portion of the middle third of the trachea. A left pleural drain was inserted and a bronchoscopy showed a 2-cm long tear of the membranous portion in the middle third of the trachea. Veno-venous ECMO was established and surgical repair of the tracheal lesion was performed. Post-operative recovery was uneventful and the patient was discharged on 8th postoperative day.

DISCUSSION

The use of Veno-venous ECMO allowed a safe intubation with optimal oxygenation. A selective intubation with a small tube was performed to prevent further tracheal injury and allow an adequate surgical space for tracheal repair.

CONCLUSION

The use of ECMO support represents a safe and effective way to manage patients with ITI when surgical repair with minimally invasive ventilation is needed. Since this is a case report larger studies are needed to validate the technique.

摘要

引言

体外膜肺氧合(ECMO)在心胸外科手术中广泛用于血流动力学和呼吸支持。它已被证明是在气管手术期间维持充分氧合的宝贵工具。无论是保守治疗还是手术修复,气道损伤都可能是静脉-静脉ECMO的指征。在此,我们报告一例医源性气管损伤患者,在静脉-静脉体外氧合支持下成功进行了手术。

病例介绍

一名39岁女性接受了择期腹腔镜粘连松解术。手术结束时,患者出现了皮下气肿。CT扫描显示纵隔和皮下气肿以及左气胸,气管中三分之一膜部有撕裂伤。插入了左胸腔引流管,支气管镜检查显示气管中三分之一膜部有一处2厘米长的撕裂。建立了静脉-静脉ECMO,并对气管损伤进行了手术修复。术后恢复顺利,患者于术后第8天出院。

讨论

静脉-静脉ECMO的使用实现了安全插管并达到了最佳氧合。进行了选择性小口径插管以防止进一步的气管损伤,并为气管修复留出足够的手术空间。

结论

当需要通过微创通气进行手术修复时,使用ECMO支持是治疗医源性气管损伤患者的一种安全有效的方法。由于这是一篇病例报告,需要更大规模的研究来验证该技术。

https://cdn.ncbi.nlm.nih.gov/pmc/blobs/42e2/5734871/82f4012ce74e/gr1.jpg

文献AI研究员

20分钟写一篇综述,助力文献阅读效率提升50倍。

立即体验

用中文搜PubMed

大模型驱动的PubMed中文搜索引擎

马上搜索

文档翻译

学术文献翻译模型,支持多种主流文档格式。

立即体验