Suppr超能文献

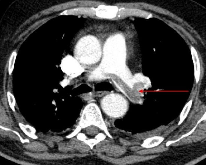
A clinical picture of pulmonary embolism revealing light-chain myeloma.

作者信息

Belarj Badia, El Alaoui Amine, Dahraoui Souhail, Uwingabiye Jean, Owusu Emmanuel Millbank, Rochdi Anas, Biaz Asmaa, Dami Abdellah, Bouhsain Sanae, Ouzzif Zohra, Doghmi Nawfel, El Machtani Idrissi Samira

机构信息

Department of Clinical Biochemistry and Toxicology Faculty of Medicine and Pharmacy Mohammed V Military Teaching Hospital Mohammed V University Rabat Morocco.

Department of Intensive Care Units Faculty of Medicine and Pharmacy Mohammed V Military Teaching Hospital Mohammed V University Rabat Morocco.

出版信息

Clin Case Rep. 2017 Nov 2;5(12):2044-2046. doi: 10.1002/ccr3.1234. eCollection 2017 Dec.

Abstract

We are highlighting on the particularity of a clinical picture of pulmonary embolism revealing light-chain myeloma in a 56-year-old male patient. Myeloma remains a rare affection. Even though its revelation through pulmonary embolism remains rare, it can be explained by hyperviscosity syndrome accompanying it.

摘要
https://cdn.ncbi.nlm.nih.gov/pmc/blobs/dc9a/5715419/ac3e948e93d0/CCR3-5-2044-g001.jpg

文献AI研究员

20分钟写一篇综述,助力文献阅读效率提升50倍。

立即体验

用中文搜PubMed

大模型驱动的PubMed中文搜索引擎

马上搜索

文档翻译

学术文献翻译模型,支持多种主流文档格式。

立即体验