Kinoshita Mao, Akiyama Koichi, Itatani Keiichi, Yamashita Ayahiro, Ishii Maki, Kainuma Atsushi, Maeda Yoshinobu, Miyazaki Takako, Yamagishi Masaaki, Sawa Teiji
Department of Anesthesiology, Kyoto Prefectural University of Medicine, 465 Kajii Cho, Hirokoji Agaru, Kawaramachi Street, Kamigyo Ward, Kyoto City, Kyoto Prefecture, 602-8566, Japan.
Department of Cardiovascular Surgery, Kyoto Prefectural University of Medicine, Kyoto, Japan.
Cardiovasc Ultrasound. 2017 Dec 14;15(1):27. doi: 10.1186/s12947-017-0118-3.
Staged palliative surgery markedly shifts the balance of volume load on a single ventricle and pulmonary vascular bed. Blalock-Taussig shunt necessitates a single ventricle eject blood to both the systemic and pulmonary circulation. On the contrary, bidirectional cavopulmonary shunt release the single ventricle from pulmonary circulation.
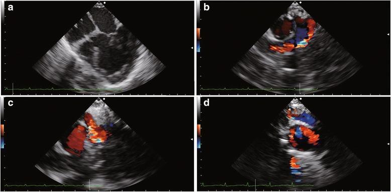
We report a case of tricuspid atresia patient who underwent first palliative surgery and second palliative surgery. Volume loading condition was assessed by energetic parameters (energy loss, kinetic energy) intraoperatively using vector flow mapping. These energetic parameters can simply indicate the volume loading condition.
Vector flow mapping was useful tool for monitoring volume loading condition in congenital heart disease surgery.
分期姑息性手术显著改变了单心室和肺血管床的容量负荷平衡。布莱洛克 - 陶西格分流术需要单心室将血液泵入体循环和肺循环。相反,双向腔肺分流术使单心室无需参与肺循环。
我们报告一例三尖瓣闭锁患者,其接受了首次姑息性手术和第二次姑息性手术。术中使用矢量血流图通过能量参数(能量损失、动能)评估容量负荷情况。这些能量参数可简单地指示容量负荷情况。
矢量血流图是先天性心脏病手术中监测容量负荷情况的有用工具。