Suppr超能文献

休闲运动中腓骨短肌腱的非创伤性双侧断裂:一例报告

Atraumatic bilateral rupture of the peroneus brevis tendon in recreational sport: A case report.

作者信息

Scheidegger Patric, Weisskopf Lukas, Hirschmüller Anja

机构信息

Altius Swiss Sportmed Center AG, Rheinfelden, Switzerland.

Department of Orthopedics and Trauma Surgery, Medical Center - University of Freiburg, Freiburg, Germany.

出版信息

SAGE Open Med Case Rep. 2017 Dec 11;5:2050313X17745225. doi: 10.1177/2050313X17745225. eCollection 2017.

Abstract

ISSUE

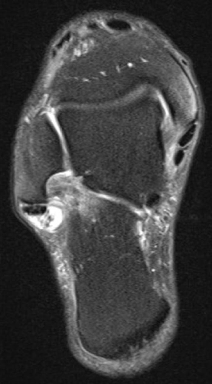
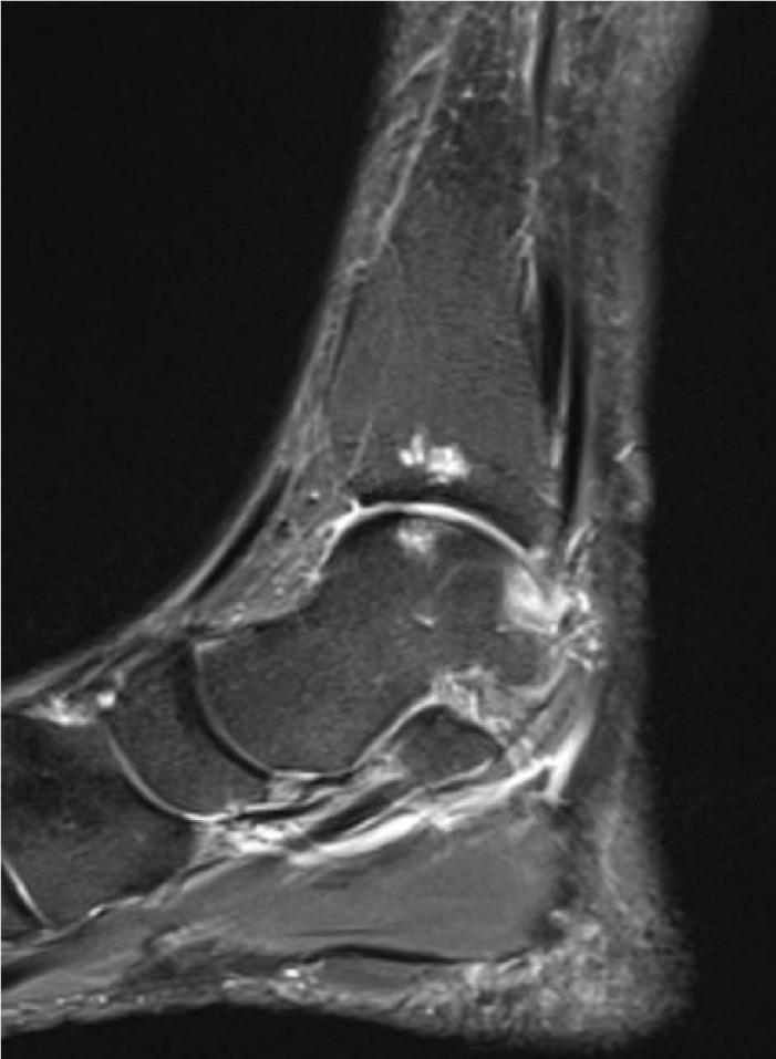
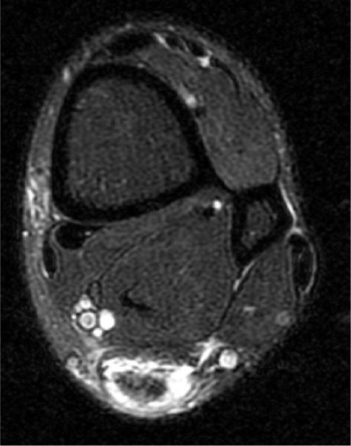
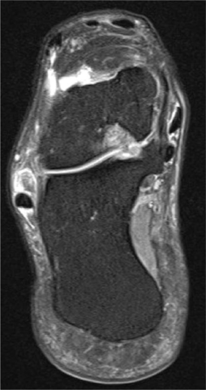
Lower extremity tendon injuries often occur in physically active individuals. Most ruptures not involving great force are diagnosed in patients presenting underlying tendon degenerations. This also applies to patients taking medications because of a disease. We have observed several cases of bilateral Achilles tendon ruptures in patients who have been taking cortisone for a long period. We treated a healthy colleague (neurologist) in our clinic who sustained ruptures of the Achilles tendon on the left side (2012) and the peroneus brevis tendon on left side (2015) and right side (2016) after minimal traumata. Aim of this report is to provide a systematic review of this case and a literature review of similar cases, as few such cases have been published.

METHODS

We reviewed and analysed this patient's records containing the sport-specific anamnesis, pre-existing condition, anamnesis of medications and therapy. The three injuries were magnetic resonance imaging-proven. Furthermore, the tendon's condition was examined histologically in the context of the operative treatment through lace technique of the Achilles tendon and transfer of the peroneus brevis to the peroneus longus. We also researched the literature for bilateral ruptures of the peroneal tendons.

RESULTS AND CONCLUSION

The anamnesis confirmed no underlying disease. The patient took a macrolide antibiotic about half a year prior to the first peroneal injury for an otitis media. He denied having taken any other antibiotics, especially no quinolone antibiotics. However, the patient reported cortisone intake for 2 days some months before the second peroneal injury to treat an allergic reaction. That involved no local cortisone infiltration in the lower extremity. He underwent surgery within the first 2 weeks after each trauma. Each time, postoperative follow-ups revealed a good healing process. Three months after each operation, the patient was free of complaints. Axibal and Anderson described a patient with bilateral peroneus longus and peroneus brevis ruptures, as well as an Achilles tendon rupture on the left side plus tendinopathy of the Achilles tendon on the right side of uncertain aetiology. We detected additional similar cases in patients who had taken medications, especially cortisone and levofloxacine. Further research should be conducted to clarify other risk factors to help prevent such injuries.

摘要

问题

下肢肌腱损伤常发生于体育活动活跃的个体。大多数非因强大外力导致的肌腱断裂在存在潜在肌腱退变的患者中被诊断出来。这也适用于因疾病而服用药物的患者。我们观察到几例长期服用皮质醇的患者出现双侧跟腱断裂的情况。我们在诊所治疗了一位健康的同事(神经科医生),他在遭受轻微创伤后,于2012年左侧跟腱断裂,2015年左侧腓骨短肌腱断裂,2016年右侧腓骨短肌腱断裂。本报告的目的是对该病例进行系统回顾,并对类似病例进行文献综述,因为此类病例发表较少。

方法

我们回顾并分析了该患者的记录,包括运动专项病史、既往病史、用药史和治疗情况。这三处损伤均经磁共振成像证实。此外,在通过跟腱编织技术和将腓骨短肌转移至腓骨长肌进行手术治疗的过程中,对肌腱状况进行了组织学检查。我们还在文献中搜索了腓骨肌腱双侧断裂的病例。

结果与结论

病史确认无潜在疾病。该患者在首次腓骨损伤前约半年因中耳炎服用了一种大环内酯类抗生素。他否认服用过任何其他抗生素,尤其是喹诺酮类抗生素。然而,患者报告在第二次腓骨损伤前几个月服用了2天皮质醇以治疗过敏反应。这并未涉及下肢局部皮质醇浸润。每次创伤后他都在2周内接受了手术。每次术后随访均显示愈合过程良好。术后三个月,患者均无不适。阿西巴尔和安德森描述了一名患者,其双侧腓骨长肌和腓骨短肌断裂,左侧跟腱断裂,右侧跟腱存在病因不明的肌腱病。我们在服用过药物,尤其是皮质醇和左氧氟沙星的患者中发现了其他类似病例。应进一步开展研究以明确其他风险因素,以帮助预防此类损伤。

https://cdn.ncbi.nlm.nih.gov/pmc/blobs/05fe/5734431/62f9b791d844/10.1177_2050313X17745225-fig1.jpg

文献AI研究员

20分钟写一篇综述,助力文献阅读效率提升50倍。

立即体验

用中文搜PubMed

大模型驱动的PubMed中文搜索引擎

马上搜索

文档翻译

学术文献翻译模型,支持多种主流文档格式。

立即体验