Suppr超能文献

双侧自发性非创伤性跟腱断裂:一例报告

Bilateral spontaneous non-traumatic rupture of the Achilles tendon: a case report.

作者信息

Khanzada Zubair, Rethnam Ulfin, Widdowson David, Mirza Ahmed

机构信息

Department of Orthopaedics, Glan Clwyd Hospital, Bodelwyddan, Rhyl, UK.

出版信息

J Med Case Rep. 2011 Jun 30;5:263. doi: 10.1186/1752-1947-5-263.

Abstract

INTRODUCTION

We present an interesting case of spontaneous non-traumatic bilateral rupture of the Achilles tendons, which is a rare condition. Delayed or missed diagnosis of Achilles tendon ruptures by primary treating physicians is relatively common.

CASE REPORT

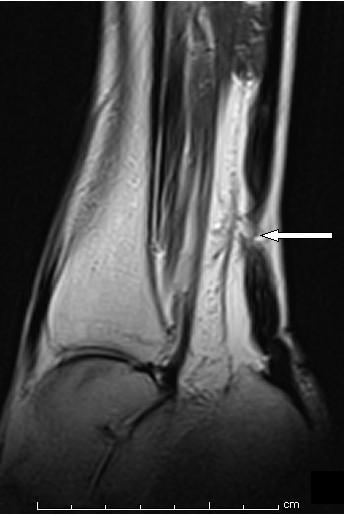
A 78-year-old Caucasian woman presented with spontaneous non-traumatic bilateral rupture of the Achilles tendons. Her symptoms started two days after she took ciprofloxacin 500 mg twice daily for a urinary tract infection and prednisolone 30 mg once daily for chronic obstructive airway disease.

CONCLUSION

This case report aims to increase the awareness of this rare condition, which should be borne in mind with regard to patients who are on steroid therapy and are concurrently started on fluoroquinolones.

摘要

引言

我们报告一例有趣的自发性非创伤性双侧跟腱断裂病例,这是一种罕见的病症。初级治疗医生对跟腱断裂的诊断延迟或漏诊较为常见。

病例报告

一名78岁的白种女性出现自发性非创伤性双侧跟腱断裂。她在每天两次服用500毫克环丙沙星治疗尿路感染以及每天一次服用30毫克泼尼松龙治疗慢性阻塞性气道疾病两天后开始出现症状。

结论

本病例报告旨在提高对这种罕见病症的认识,对于正在接受类固醇治疗且同时开始使用氟喹诺酮类药物的患者应予以关注。

https://cdn.ncbi.nlm.nih.gov/pmc/blobs/bdbd/3141712/e5df37dd9a16/1752-1947-5-263-1.jpg

文献AI研究员

20分钟写一篇综述,助力文献阅读效率提升50倍。

立即体验

用中文搜PubMed

大模型驱动的PubMed中文搜索引擎

马上搜索

文档翻译

学术文献翻译模型,支持多种主流文档格式。

立即体验