Suppr超能文献

使用纤维桩和断片再接术治疗牙齿折断:两例报告

Management of Tooth Fractures Using Fiber Post and Fragment Reattachment: Report of Two Cases.

作者信息

Gopal Rajesh, Raveendran Lalkrishna, Pathrose Sonia P, Paulaian Benin

机构信息

Department of Conservative Dentistry and Endodontics, Rajas Dental College, Tirunelveli, Tamil Nadu, India.

Department of Conservative Dentistry and Endodontics, Al-Azhar Dental College, Idukki, Kerala, India.

出版信息

J Pharm Bioallied Sci. 2017 Nov;9(Suppl 1):S295-S298. doi: 10.4103/jpbs.JPBS_111_17.

Abstract

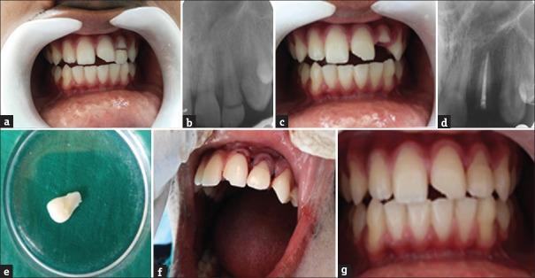
Reattachment of the tooth fragment is an ultraconservative technique for managing coronal tooth fractures when the tooth fragment is available, and there is minimal violation of the biological width. The advances in adhesive dentistry have allowed dentists to use the patient's own fragment to restore the fractured tooth which provides fast and esthetically pleasing results. This article reports fragment reattachment technique and presents two clinical cases of complicated crown fracture.

摘要

当牙碎片可用且对生物学宽度的侵犯最小时,牙碎片再附着是治疗冠部牙折的一种超保守技术。牙体粘接修复技术的进步使牙医能够使用患者自身的碎片来修复折断的牙齿,从而提供快速且美观的效果。本文报道了碎片再附着技术,并展示了两例复杂冠折的临床病例。

https://cdn.ncbi.nlm.nih.gov/pmc/blobs/10ce/5731036/bd391c7ec5b2/JPBS-9-295-g001.jpg

相似文献

1
Management of Tooth Fractures Using Fiber Post and Fragment Reattachment: Report of Two Cases.
J Pharm Bioallied Sci. 2017 Nov;9(Suppl 1):S295-S298. doi: 10.4103/jpbs.JPBS_111_17.
2
Reattachment of coronal tooth fragment: regaining back to normal.
Case Rep Dent. 2013;2013:286186. doi: 10.1155/2013/286186. Epub 2013 Apr 22.
3
Management of Complicated Crown Fracture by Reattachment Using Fiber Post: Minimal Intervention Approach.
J Nat Sci Biol Med. 2018 Jan-Jun;9(1):93-96. doi: 10.4103/jnsbm.JNSBM_98_17.
4
Restore the natural - A review and case series report on reattachment.
J Clin Exp Dent. 2014 Dec 1;6(5):e595-8. doi: 10.4317/jced.50948. eCollection 2014 Dec.
5
A biological approach to crown fracture: Fracture reattachment: A report of two cases.
Contemp Clin Dent. 2012 Sep;3(Suppl 2):S194-8. doi: 10.4103/0976-237X.101091.
6
Biological approach for management of anterior tooth trauma: triple case report.
J Indian Soc Pedod Prev Dent. 2010 Jul-Sep;28(3):223-9. doi: 10.4103/0970-4388.73791.
7
Holistic management of complicated crown fracture: A case series.
J Conserv Dent Endod. 2023 Nov-Dec;26(6):719-723. doi: 10.4103/JCDE.JCDE_2_23. Epub 2023 Nov 22.
8
Reattachment of anterior teeth fragments: a conservative approach.
J Esthet Restor Dent. 2008;20(1):5-18; discussion 19-20. doi: 10.1111/j.1708-8240.2008.00142.x.

引用本文的文献

1
Ultraconservative and Aesthetic Approach for Rehabilitation of Complicated Crown Fracture of Tooth.
Cureus. 2022 Jun 23;14(6):e26259. doi: 10.7759/cureus.26259. eCollection 2022 Jun.
2
SURVIVAL OF REATTACHED TOOTH: A SYSTEMATIC REVIEW.
J West Afr Coll Surg. 2018 Jul-Sep;8(3):59-84.

本文引用的文献

1
Reattachment of anterior fractured teeth: effect of materials and techniques on impact strength.
Dent Traumatol. 2010 Aug;26(4):315-22. doi: 10.1111/j.1600-9657.2010.00906.x.
2
Monoblocks in root canals: a hypothetical or a tangible goal.
J Endod. 2007 Apr;33(4):391-8. doi: 10.1016/j.joen.2006.10.009. Epub 2007 Feb 20.
4
Chairside replacement of posterior teeth using a prefabricated fiber-reinforced resin composite framework technique: a case report.
J Esthet Restor Dent. 2005;17(6):335-42; discussion 342. doi: 10.1111/j.1708-8240.2005.tb00464.x.
5
A modified technique on the reattachment of permanent tooth fragments following dental trauma. Case report.
J Clin Pediatr Dent. 2005 Fall;30(1):29-34. doi: 10.17796/jcpd.30.1.p2611020q2762681.
6
Management of complicated crown fractures: tooth fragment reattachment.
Compend Contin Educ Dent. 2002 Jun;23(6):520-4, 526, 528.
7
A single visit, multidisciplinary approach to the management of traumatic tooth crown fracture.
Br Dent J. 2000 Jun 10;188(11):593-8. doi: 10.1038/sj.bdj.4800548a.
8
Incisal edge reattachment: indications for use and clinical technique.
Br Dent J. 1999 Jun 26;186(12):614-9. doi: 10.1038/sj.bdj.4800178.
10
Tooth fracture--a comparison of endodontic and restorative treatments.
J Endod. 1978 Nov;4(11):341-5. doi: 10.1016/s0099-2399(78)80232-5.

文献AI研究员

20分钟写一篇综述,助力文献阅读效率提升50倍。

立即体验

用中文搜PubMed

大模型驱动的PubMed中文搜索引擎

马上搜索

文档翻译

学术文献翻译模型,支持多种主流文档格式。

立即体验