Suppr超能文献

腺牙源性肿瘤:14例临床表现多样的病例系列

Adenomatoid odontogenic tumor: Case series of 14 with wide range of clinical presentation.

作者信息

Al-Shimari Fatima, Chandra Srinivasa, Oda Dolphine

机构信息

Department of Oral & Maxillofacial Surgery, University of Washington School of Dentistry, Seattle, Washington.

出版信息

J Clin Exp Dent. 2017 Nov 1;9(11):e1315-e1321. doi: 10.4317/jced.54216. eCollection 2017 Nov.

Abstract

BACKGROUND

To present 14 cases of adenomatoid odontogenic tumor (AOT), highlighting their clinical, radiographic, and histologic characteristics.

MATERIAL AND METHODS

Fourteen cases of AOT were retrieved from the archives of the Oral Pathology Biopsy Service (OPBS). Clinical, radiologic, and histologic findings are described.

RESULTS

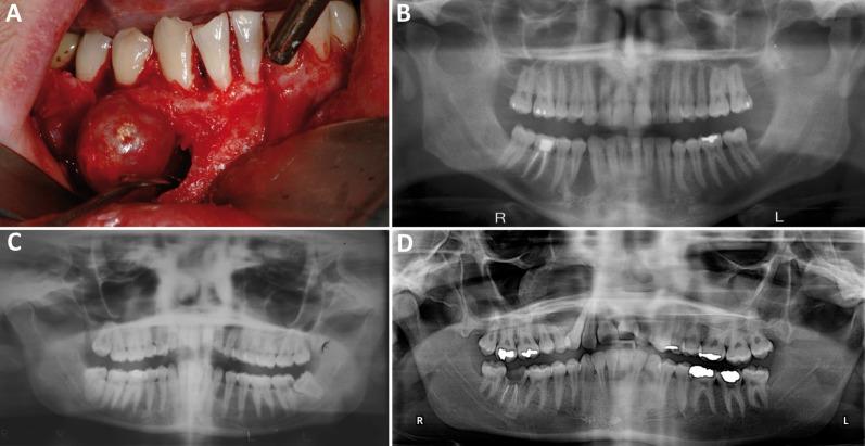
Fourteen AOT cases were reviewed, of which 12 were intraosseous and two were peripheral (gingiva). The cases came from eight females and six males with an age range of 11-30. Of the 12 intraosseous cases, nine were follicular (associated with impacted teeth), while three were extra-follicular (present between teeth). Six of the 12 cases were in the maxilla, and the other six were in the mandible. The two peripheral cases presented as nodules on the buccal gingiva of the anterior maxillary teeth. Radiographically, all 12 follicular and extra-follicular cases were unilocular radiolucencies; of those, only one had specks of radiopacity. Histologically, all specimens were similar in morphology, demonstrating a varied degree of duct-like structures, epithelial spheres, spindle-shaped epithelial cells, calcifications, and a thick capsule. The two peripheral cases had no capsule.

CONCLUSIONS

AOT usually affects patients under 20 years of age, with a female to male ratio close to 2:1. Presentation in the anterior maxilla is almost twice as common as in the anterior mandible. Radiographically, AOT presents as a unilocular radiolucency more commonly associated with impacted teeth, simulating a dentigerous cyst. We present 14 new cases of AOT (nine follicular, three extra-follicular, and two peripheral) with discussions of their clinical, radiographic, and histological features. Adenomatoid, odontogenic, tumor.

摘要

背景

介绍14例牙源性腺样瘤(AOT),突出其临床、影像学和组织学特征。

材料与方法

从口腔病理活检服务(OPBS)档案中检索出14例AOT病例。描述其临床、放射学和组织学表现。

结果

回顾了14例AOT病例,其中12例为骨内型,2例为外周型(牙龈)。病例来自8名女性和6名男性,年龄范围为11至30岁。12例骨内型病例中,9例为滤泡型(与阻生牙相关),3例为非滤泡型(位于牙齿之间)。12例病例中6例位于上颌骨,另外6例位于下颌骨。2例外周型病例表现为上颌前牙颊侧牙龈上的结节。影像学上,所有12例滤泡型和非滤泡型病例均为单房性透射区;其中只有1例有不透射线的斑点。组织学上,所有标本形态相似,显示出不同程度的导管样结构、上皮球、梭形上皮细胞、钙化和厚包膜。2例外周型病例无包膜。

结论

AOT通常影响20岁以下患者,女性与男性比例接近2:1。在上颌前部的发生率几乎是下颌前部的两倍。影像学上,AOT表现为单房性透射区,更常见于与阻生牙相关,类似含牙囊肿。我们报告14例新的AOT病例(9例滤泡型、3例非滤泡型和2例外周型),并讨论其临床、影像学和组织学特征。腺样瘤,牙源性,肿瘤。

https://cdn.ncbi.nlm.nih.gov/pmc/blobs/f08d/5741845/335bfd89c109/jced-9-e1315-g001.jpg

文献AI研究员

20分钟写一篇综述,助力文献阅读效率提升50倍。

立即体验

用中文搜PubMed

大模型驱动的PubMed中文搜索引擎

马上搜索

文档翻译

学术文献翻译模型,支持多种主流文档格式。

立即体验