Suppr超能文献

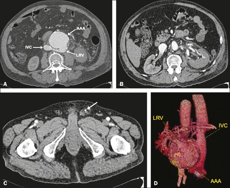
Fistula between the abdominal aorta and a retroaortic left renal vein: a rare complication of abdominal aortic aneurysm.

作者信息

Savarese Leonor Garbin, Trad Henrique Simão, Joviliano Edwaldo Edner, Muglia Valdair Francisco, Elias Junior Jorge

机构信息

Faculdade de Medicina de Ribeirão Preto da Universidade de São Paulo (FMRP-USP), Ribeirão Preto, SP, Brazil.

CEDIRP - Central de Diagnóstico Ribeirão Preto, Ribeirão Preto, SP, Brazil.

出版信息

Radiol Bras. 2017 Nov-Dec;50(6):407-408. doi: 10.1590/0100-3984.2016.0070.

Abstract
摘要
https://cdn.ncbi.nlm.nih.gov/pmc/blobs/82a5/5746888/11bd93b2dbdc/rb-50-06-0407-g01.jpg

文献AI研究员

20分钟写一篇综述,助力文献阅读效率提升50倍。

立即体验

用中文搜PubMed

大模型驱动的PubMed中文搜索引擎

马上搜索

文档翻译

学术文献翻译模型,支持多种主流文档格式。

立即体验