• 文献检索
  • 文档翻译
  • 深度研究
  • 学术资讯
  • Suppr Zotero 插件Zotero 插件
  • 邀请有礼
  • 套餐&价格
  • 历史记录
应用&插件
Suppr Zotero 插件Zotero 插件浏览器插件Mac 客户端Windows 客户端微信小程序
定价
高级版会员购买积分包购买API积分包
服务
文献检索文档翻译深度研究API 文档MCP 服务
关于我们
关于 Suppr公司介绍联系我们用户协议隐私条款
关注我们

Suppr 超能文献

核心技术专利:CN118964589B侵权必究
粤ICP备2023148730 号-1Suppr @ 2026

文献检索

告别复杂PubMed语法,用中文像聊天一样搜索,搜遍4000万医学文献。AI智能推荐,让科研检索更轻松。

立即免费搜索

文件翻译

保留排版,准确专业,支持PDF/Word/PPT等文件格式,支持 12+语言互译。

免费翻译文档

深度研究

AI帮你快速写综述,25分钟生成高质量综述,智能提取关键信息,辅助科研写作。

立即免费体验

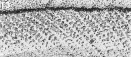
分离的肌浆网细胞质表面上Ca2+ -ATP酶的有序阵列。

Ordered arrays of Ca2+-ATPase on the cytoplasmic surface of isolated sarcoplasmic reticulum.

作者信息

Ferguson D G, Franzini-Armstrong C, Castellani L, Hardwicke P M, Kenney L J

出版信息

Biophys J. 1985 Oct;48(4):597-605. doi: 10.1016/S0006-3495(85)83815-7.

DOI:10.1016/S0006-3495(85)83815-7
PMID:2932170
原文链接:https://pmc.ncbi.nlm.nih.gov/articles/PMC1329336/
Abstract

Isolated sarcoplasmic reticulum (SR) vesicles with polymerized calcium pump protein were freeze-dried and rotary shadowed following uranyl acetate stabilization. This technique allows direct observation of a single side of the vesicle without requiring optical filtering. The heads of individual ATPase molecules, projecting above the cytoplasmic surface, are clearly resolved in the replicas. Ca ATPase molecules form extensive arrays in vanadate-treated, rabbit SR vesicles and in gently isolated, native SR vesicles from scallop. Gentle isolation results in limited areas of orderly structure in native SR isolated from vertebrate muscles. Special attention is given to the effect of various shadow thicknesses on the appearance of the heads. This information is essential to the interpretation of images in the accompanying paper (Franzini-Armstrong, C., and D.J. Ferguson, 1985, Biophys. J., 48:607-615).

摘要

将含有聚合钙泵蛋白的分离肌质网(SR)囊泡用醋酸铀稳定后进行冷冻干燥和旋转投影。该技术可直接观察囊泡的单面,无需光学滤波。在复制品中可以清楚地分辨出突出于细胞质表面的单个ATP酶分子的头部。Ca ATP酶分子在经钒酸盐处理的兔SR囊泡以及从扇贝中轻度分离的天然SR囊泡中形成广泛的阵列。轻度分离导致从脊椎动物肌肉中分离出的天然SR中有序结构的区域有限。特别关注了各种投影厚度对头部外观的影响。这些信息对于解释随附论文中的图像至关重要(Franzini-Armstrong, C., and D.J. Ferguson, 1985, Biophys. J., 48:607-615)。

https://cdn.ncbi.nlm.nih.gov/pmc/blobs/53af/1329336/a92c740e49b9/biophysj00187-0061-d.jpg
https://cdn.ncbi.nlm.nih.gov/pmc/blobs/53af/1329336/36aebe7fa8a4/biophysj00187-0057-a.jpg
https://cdn.ncbi.nlm.nih.gov/pmc/blobs/53af/1329336/e4ce8765b751/biophysj00187-0057-b.jpg
https://cdn.ncbi.nlm.nih.gov/pmc/blobs/53af/1329336/ac2a0cb4ebc1/biophysj00187-0057-c.jpg
https://cdn.ncbi.nlm.nih.gov/pmc/blobs/53af/1329336/08ac37934a2d/biophysj00187-0058-a.jpg
https://cdn.ncbi.nlm.nih.gov/pmc/blobs/53af/1329336/8b4cb50cca0f/biophysj00187-0058-b.jpg
https://cdn.ncbi.nlm.nih.gov/pmc/blobs/53af/1329336/cac8a24abf46/biophysj00187-0058-c.jpg
https://cdn.ncbi.nlm.nih.gov/pmc/blobs/53af/1329336/a899d1ea4ff1/biophysj00187-0059-a.jpg
https://cdn.ncbi.nlm.nih.gov/pmc/blobs/53af/1329336/864dd95025a4/biophysj00187-0059-b.jpg
https://cdn.ncbi.nlm.nih.gov/pmc/blobs/53af/1329336/9fb9123aa71a/biophysj00187-0059-c.jpg
https://cdn.ncbi.nlm.nih.gov/pmc/blobs/53af/1329336/5cc07be29258/biophysj00187-0059-d.jpg
https://cdn.ncbi.nlm.nih.gov/pmc/blobs/53af/1329336/81e105930337/biophysj00187-0060-a.jpg
https://cdn.ncbi.nlm.nih.gov/pmc/blobs/53af/1329336/3dd15144515d/biophysj00187-0060-b.jpg
https://cdn.ncbi.nlm.nih.gov/pmc/blobs/53af/1329336/f05a67f8e57c/biophysj00187-0060-c.jpg
https://cdn.ncbi.nlm.nih.gov/pmc/blobs/53af/1329336/f3380989d271/biophysj00187-0060-d.jpg
https://cdn.ncbi.nlm.nih.gov/pmc/blobs/53af/1329336/00995a04faeb/biophysj00187-0061-a.jpg
https://cdn.ncbi.nlm.nih.gov/pmc/blobs/53af/1329336/cb37ce9a325a/biophysj00187-0061-b.jpg
https://cdn.ncbi.nlm.nih.gov/pmc/blobs/53af/1329336/1f8abe48676a/biophysj00187-0061-c.jpg
https://cdn.ncbi.nlm.nih.gov/pmc/blobs/53af/1329336/a92c740e49b9/biophysj00187-0061-d.jpg
https://cdn.ncbi.nlm.nih.gov/pmc/blobs/53af/1329336/36aebe7fa8a4/biophysj00187-0057-a.jpg
https://cdn.ncbi.nlm.nih.gov/pmc/blobs/53af/1329336/e4ce8765b751/biophysj00187-0057-b.jpg
https://cdn.ncbi.nlm.nih.gov/pmc/blobs/53af/1329336/ac2a0cb4ebc1/biophysj00187-0057-c.jpg
https://cdn.ncbi.nlm.nih.gov/pmc/blobs/53af/1329336/08ac37934a2d/biophysj00187-0058-a.jpg
https://cdn.ncbi.nlm.nih.gov/pmc/blobs/53af/1329336/8b4cb50cca0f/biophysj00187-0058-b.jpg
https://cdn.ncbi.nlm.nih.gov/pmc/blobs/53af/1329336/cac8a24abf46/biophysj00187-0058-c.jpg
https://cdn.ncbi.nlm.nih.gov/pmc/blobs/53af/1329336/a899d1ea4ff1/biophysj00187-0059-a.jpg
https://cdn.ncbi.nlm.nih.gov/pmc/blobs/53af/1329336/864dd95025a4/biophysj00187-0059-b.jpg
https://cdn.ncbi.nlm.nih.gov/pmc/blobs/53af/1329336/9fb9123aa71a/biophysj00187-0059-c.jpg
https://cdn.ncbi.nlm.nih.gov/pmc/blobs/53af/1329336/5cc07be29258/biophysj00187-0059-d.jpg
https://cdn.ncbi.nlm.nih.gov/pmc/blobs/53af/1329336/81e105930337/biophysj00187-0060-a.jpg
https://cdn.ncbi.nlm.nih.gov/pmc/blobs/53af/1329336/3dd15144515d/biophysj00187-0060-b.jpg
https://cdn.ncbi.nlm.nih.gov/pmc/blobs/53af/1329336/f05a67f8e57c/biophysj00187-0060-c.jpg
https://cdn.ncbi.nlm.nih.gov/pmc/blobs/53af/1329336/f3380989d271/biophysj00187-0060-d.jpg
https://cdn.ncbi.nlm.nih.gov/pmc/blobs/53af/1329336/00995a04faeb/biophysj00187-0061-a.jpg
https://cdn.ncbi.nlm.nih.gov/pmc/blobs/53af/1329336/cb37ce9a325a/biophysj00187-0061-b.jpg
https://cdn.ncbi.nlm.nih.gov/pmc/blobs/53af/1329336/1f8abe48676a/biophysj00187-0061-c.jpg
https://cdn.ncbi.nlm.nih.gov/pmc/blobs/53af/1329336/a92c740e49b9/biophysj00187-0061-d.jpg

相似文献

1
Ordered arrays of Ca2+-ATPase on the cytoplasmic surface of isolated sarcoplasmic reticulum.分离的肌浆网细胞质表面上Ca2+ -ATP酶的有序阵列。
Biophys J. 1985 Oct;48(4):597-605. doi: 10.1016/S0006-3495(85)83815-7.
2
Crystallization of intramembrane particles in rabbit sarcoplasmic reticulum vesicles by vanadate.钒酸盐诱导兔肌浆网囊泡内膜颗粒结晶
J Muscle Res Cell Motil. 1984 Aug;5(4):431-42. doi: 10.1007/BF00818261.
3
Effect of Ca2+ on the dimeric structure of scallop sarcoplasmic reticulum.钙离子对扇贝肌浆网二聚体结构的影响。
J Cell Biol. 1989 Feb;108(2):511-20. doi: 10.1083/jcb.108.2.511.
4
Density and disposition of Ca2+-ATPase in sarcoplasmic reticulum membrane as determined by shadowing techniques.通过投影技术测定肌浆网膜中Ca2+-ATP酶的密度和分布。
Biophys J. 1985 Oct;48(4):607-15. doi: 10.1016/S0006-3495(85)83816-9.
5
Membrane crystals of Ca2+-ATPase in sarcoplasmic reticulum of developing muscle.发育中肌肉肌浆网中Ca2+-ATP酶的膜晶体
FEBS Lett. 1985 Apr 8;183(1):177-81. doi: 10.1016/0014-5793(85)80980-7.
6
High-affinity and low-affinity vanadate binding to sarcoplasmic reticulum Ca2+-ATPase labeled with fluorescein isothiocyanate.高亲和力和低亲和力钒酸盐与异硫氰酸荧光素标记的肌浆网Ca2+-ATP酶的结合
Biochim Biophys Acta. 1985 Jul 11;817(1):123-33. doi: 10.1016/0005-2736(85)90074-4.
7
Membrane crystals of Ca2+-ATPase in sarcoplasmic reticulum of fast and slow skeletal and cardiac muscles.快、慢骨骼肌及心肌肌浆网中Ca2+ -ATP酶的膜晶体
Eur J Biochem. 1984 May 15;141(1):43-9. doi: 10.1111/j.1432-1033.1984.tb08154.x.
8
Effects of vanadate on the rotational dynamics of spin-labeled calcium adenosinetriphosphatase in sarcoplasmic reticulum membranes.
Biochemistry. 1986 Aug 12;25(16):4615-21. doi: 10.1021/bi00364a024.
9
The Ca2+ ATPase content of slow and fast twitch fibers of guinea pig.
Muscle Nerve. 1988 Jun;11(6):561-70. doi: 10.1002/mus.880110607.
10
The interaction of vanadate ions with the Ca-ATPase from sarcoplasmic reticulum.钒酸盐离子与肌浆网钙ATP酶的相互作用。
J Biol Chem. 1982 Jun 10;257(11):6111-9.

引用本文的文献

1
Electron Microscopy: From 2D to 3D Images with Special Reference to Muscle.电子显微镜:从二维到三维图像,特别提及肌肉
Eur J Transl Myol. 2015 Jan 12;25(1):4836. doi: 10.4081/ejtm.2015.4836. eCollection 2015 Jan 7.
2
Sequential stages in the age-dependent gradual formation and accumulation of tubular aggregates in fast twitch muscle fibers: SERCA and calsequestrin involvement.快速收缩肌纤维中管状聚集体随年龄增长逐渐形成和积累的连续阶段:肌浆网钙ATP酶和肌钙网蛋白的参与。
Age (Dordr). 2012 Feb;34(1):27-41. doi: 10.1007/s11357-011-9211-y. Epub 2011 Feb 12.
3
Visualization of inositol 1,4,5-trisphosphate receptors on the nuclear envelope outer membrane by freeze-drying and rotary shadowing for electron microscopy.

本文引用的文献

1
THE CELL ENVELOPES OF TWO EXTREMELY HALOPHILIC BACTERIA.两种极端嗜盐细菌的细胞包膜
J Cell Biol. 1963 Sep;18(3):681-9. doi: 10.1083/jcb.18.3.681.
2
Structure of Limulus telson muscle thick filaments.鲎尾节肌粗肌丝的结构。
J Mol Biol. 1981 Dec 15;153(3):781-90. doi: 10.1016/0022-2836(81)90418-6.
3
A surveying optical diffractometer.一种测量用光学衍射仪。
通过冷冻干燥和旋转阴影电子显微镜技术,可视化核膜外膜上的肌醇 1,4,5-三磷酸受体。
J Struct Biol. 2010 Sep;171(3):372-81. doi: 10.1016/j.jsb.2010.05.003. Epub 2010 May 10.
4
The structure of the membrane systems in a novel muscle cell modified for heat production.一种经过改造用于产热的新型肌肉细胞中膜系统的结构。
J Cell Biol. 1988 Sep;107(3):1099-112. doi: 10.1083/jcb.107.3.1099.
5
Electron microscopic analysis of two-dimensional crystals of the Ca2+-transport ATPase--a freeze-fracture study.Ca2+转运ATP酶二维晶体的电子显微镜分析——一项冷冻蚀刻研究。
J Muscle Res Cell Motil. 1987 Jun;8(3):252-9. doi: 10.1007/BF01574593.
6
Fluorescence energy transfer as an indicator of Ca2+-ATPase interactions in sarcoplasmic reticulum.荧光能量转移作为肌浆网中Ca2 + -ATP酶相互作用的指标。
Biophys J. 1987 Feb;51(2):205-20. doi: 10.1016/S0006-3495(87)83326-X.
7
Density and disposition of Ca2+-ATPase in sarcoplasmic reticulum membrane as determined by shadowing techniques.通过投影技术测定肌浆网膜中Ca2+-ATP酶的密度和分布。
Biophys J. 1985 Oct;48(4):607-15. doi: 10.1016/S0006-3495(85)83816-9.
8
Effect of phosphorylation on scallop sarcoplasmic reticulum.磷酸化对扇贝肌浆网的影响。
J Muscle Res Cell Motil. 1989 Jun;10(3):245-53. doi: 10.1007/BF01739814.
9
Effect of Ca2+ on the dimeric structure of scallop sarcoplasmic reticulum.钙离子对扇贝肌浆网二聚体结构的影响。
J Cell Biol. 1989 Feb;108(2):511-20. doi: 10.1083/jcb.108.2.511.
J Microsc. 1981 Sep;123(Pt 3):239-47. doi: 10.1111/j.1365-2818.1981.tb02468.x.
4
Liquid diffraction analysis of sarcoplasmic reticulum. II. Solvent electron contrast variation.肌浆网的液体衍射分析。II. 溶剂电子对比度变化
Biophys J. 1982 Mar;37(3):637-45.
5
Crystalline structure of sarcoplasmic reticulum from scallop.扇贝肌浆网的晶体结构。
J Cell Biol. 1983 Aug;97(2):557-61. doi: 10.1083/jcb.97.2.557.
6
Localization of the high affinity calcium binding protein and an intrinsic glycoprotein in sarcoplasmic reticulum membranes.高亲和力钙结合蛋白和一种内在糖蛋白在肌浆网膜中的定位。
J Biol Chem. 1980 Feb 25;255(4):1317-26.
7
Structure and function of the calcium pump protein of sarcoplasmic reticulum.肌浆网钙泵蛋白的结构与功能
Annu Rev Physiol. 1982;44:297-317. doi: 10.1146/annurev.ph.44.030182.001501.
8
Further characterization of light and heavy sarcoplasmic reticulum vesicles. Identification of the 'sarcoplasmic reticulum feet' associated with heavy sarcoplasmic reticulum vesicles.肌浆网轻、重囊泡的进一步特征描述。与重肌浆网囊泡相关的“肌浆网足”的鉴定。
Biochim Biophys Acta. 1980 Oct 16;602(1):97-116. doi: 10.1016/0005-2736(80)90293-x.
9
Uncoupling of calcium control and phosphohydrolase activity in sarcoplasmic reticulum vesicles.肌浆网囊泡中钙调控与磷酸水解酶活性的解偶联。
J Biol Chem. 1980 Jul 10;255(13):6040-3.
10
Enzyme kinetics and substrate stabilization of detergent-solubilized and membraneous (Ca2+ + Mg2+)-activated ATPase from sarcoplasmic reticulum. Effect of protein-protein interactions.肌浆网中去污剂增溶的及膜状(Ca2+ + Mg2+)激活的ATP酶的酶动力学和底物稳定性。蛋白质-蛋白质相互作用的影响。
J Biol Chem. 1980 Mar 10;255(5):1912-20.