• 文献检索
  • 文档翻译
  • 深度研究
  • 学术资讯
  • Suppr Zotero 插件Zotero 插件
  • 邀请有礼
  • 套餐&价格
  • 历史记录
应用&插件
Suppr Zotero 插件Zotero 插件浏览器插件Mac 客户端Windows 客户端微信小程序
定价
高级版会员购买积分包购买API积分包
服务
文献检索文档翻译深度研究API 文档MCP 服务
关于我们
关于 Suppr公司介绍联系我们用户协议隐私条款
关注我们

Suppr 超能文献

核心技术专利:CN118964589B侵权必究
粤ICP备2023148730 号-1Suppr @ 2026

文献检索

告别复杂PubMed语法,用中文像聊天一样搜索,搜遍4000万医学文献。AI智能推荐,让科研检索更轻松。

立即免费搜索

文件翻译

保留排版,准确专业,支持PDF/Word/PPT等文件格式,支持 12+语言互译。

免费翻译文档

深度研究

AI帮你快速写综述,25分钟生成高质量综述,智能提取关键信息,辅助科研写作。

立即免费体验

使用LARS韧带重建跟腱后出现的伴有肉芽肿的异物反应。

Foreign body reaction with granuloma following Achilles tendon reconstruction with the LARS ligament.

作者信息

Henry Joshua, Konarski Alistar J, Joseph Leena, Pillai Anand

机构信息

Trauma and Orthopaedics, Wythenshawe Hospital, Southmoor Road, Manchester M23 9LT, UK.

Histopathology, Wythenshawe Hospital, Southmoor Road, Manchester M23 9LT, UK.

出版信息

J Surg Case Rep. 2018 Jan 4;2018(1):rjx258. doi: 10.1093/jscr/rjx258. eCollection 2018 Jan.

DOI:10.1093/jscr/rjx258
PMID:29321844
原文链接:https://pmc.ncbi.nlm.nih.gov/articles/PMC5755236/
Abstract

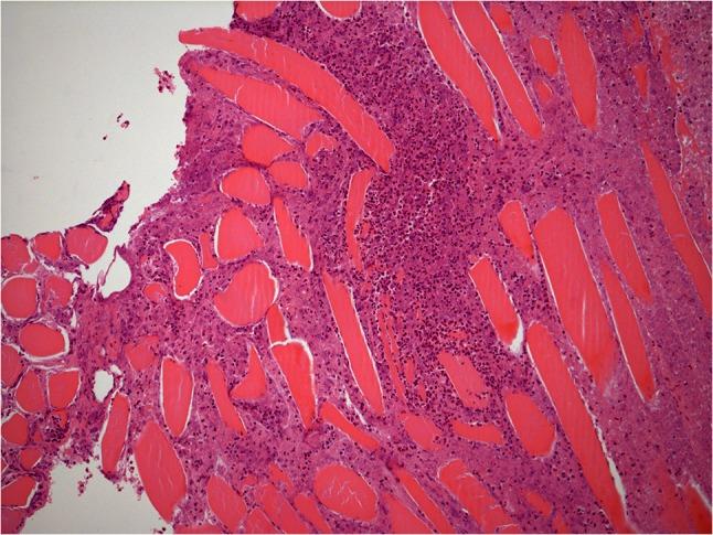
Ligament reconstruction with the LARS ligament has been a popular choice owing to its low-complication rates compared with previously commercially available grafts. The non-active nature of the implant also meant that there were no foreign body reactions that had been described with other synthetic grafts. We describe the first reported case of a granulomatous foreign body reaction in a LARS ligament Achilles tendon graft and a technique to reconstruct the tendon following its excision.

摘要

与先前市售的移植物相比,使用LARS韧带进行韧带重建因其低并发症发生率而成为一种流行的选择。该植入物的非活性性质还意味着不存在其他合成移植物所描述的异物反应。我们报道了首例LARS韧带跟腱移植物发生肉芽肿性异物反应的病例,以及一种在切除该移植物后重建肌腱的技术。

https://cdn.ncbi.nlm.nih.gov/pmc/blobs/26e2/5755236/4cf882639407/rjx258f09.jpg
https://cdn.ncbi.nlm.nih.gov/pmc/blobs/26e2/5755236/a032cbe8be9c/rjx258f01.jpg
https://cdn.ncbi.nlm.nih.gov/pmc/blobs/26e2/5755236/259d580c97a8/rjx258f02.jpg
https://cdn.ncbi.nlm.nih.gov/pmc/blobs/26e2/5755236/1aea27365df0/rjx258f03.jpg
https://cdn.ncbi.nlm.nih.gov/pmc/blobs/26e2/5755236/b4624c997c36/rjx258f04.jpg
https://cdn.ncbi.nlm.nih.gov/pmc/blobs/26e2/5755236/cc92f61d0307/rjx258f05.jpg
https://cdn.ncbi.nlm.nih.gov/pmc/blobs/26e2/5755236/b40423078cbc/rjx258f06.jpg
https://cdn.ncbi.nlm.nih.gov/pmc/blobs/26e2/5755236/a8c31399d460/rjx258f07.jpg
https://cdn.ncbi.nlm.nih.gov/pmc/blobs/26e2/5755236/e324b53902ff/rjx258f08.jpg
https://cdn.ncbi.nlm.nih.gov/pmc/blobs/26e2/5755236/4cf882639407/rjx258f09.jpg
https://cdn.ncbi.nlm.nih.gov/pmc/blobs/26e2/5755236/a032cbe8be9c/rjx258f01.jpg
https://cdn.ncbi.nlm.nih.gov/pmc/blobs/26e2/5755236/259d580c97a8/rjx258f02.jpg
https://cdn.ncbi.nlm.nih.gov/pmc/blobs/26e2/5755236/1aea27365df0/rjx258f03.jpg
https://cdn.ncbi.nlm.nih.gov/pmc/blobs/26e2/5755236/b4624c997c36/rjx258f04.jpg
https://cdn.ncbi.nlm.nih.gov/pmc/blobs/26e2/5755236/cc92f61d0307/rjx258f05.jpg
https://cdn.ncbi.nlm.nih.gov/pmc/blobs/26e2/5755236/b40423078cbc/rjx258f06.jpg
https://cdn.ncbi.nlm.nih.gov/pmc/blobs/26e2/5755236/a8c31399d460/rjx258f07.jpg
https://cdn.ncbi.nlm.nih.gov/pmc/blobs/26e2/5755236/e324b53902ff/rjx258f08.jpg
https://cdn.ncbi.nlm.nih.gov/pmc/blobs/26e2/5755236/4cf882639407/rjx258f09.jpg

相似文献

1
Foreign body reaction with granuloma following Achilles tendon reconstruction with the LARS ligament.使用LARS韧带重建跟腱后出现的伴有肉芽肿的异物反应。
J Surg Case Rep. 2018 Jan 4;2018(1):rjx258. doi: 10.1093/jscr/rjx258. eCollection 2018 Jan.
2
Foreign Body Reaction Following Achilles Tendon Reconstruction With the Ligament Advanced Reconstructive System: Patient Outcomes and Clinical Course.使用韧带推进重建系统进行跟腱重建后的异物反应:患者预后及临床病程
Cureus. 2023 Nov 12;15(11):e48686. doi: 10.7759/cureus.48686. eCollection 2023 Nov.
3
LARS Artificial Ligament Versus ABC Purely Polyester Ligament for Anterior Cruciate Ligament Reconstruction.LARS 人工韧带与 ABC 纯聚酯韧带在前交叉韧带重建中的比较。
Orthop J Sports Med. 2016 Jun 15;4(6):2325967116653359. doi: 10.1177/2325967116653359. eCollection 2016 Jun.
4
Augmented short undersized hamstring tendon graft with LARS® artificial ligament versus four-strand hamstring tendon in anterior cruciate ligament reconstruction: preliminary results.前交叉韧带重建中使用LARS®人工韧带增强的短缩腘绳肌腱移植与四股腘绳肌腱移植的对比:初步结果
Orthop Traumatol Surg Res. 2015 Sep;101(5):535-8. doi: 10.1016/j.otsr.2015.01.021. Epub 2015 May 18.
5
Synovitis following anterior cruciate ligament reconstruction using the LARS device.采用 LARS 装置进行前交叉韧带重建后的滑膜炎。
Knee Surg Sports Traumatol Arthrosc. 2019 Aug;27(8):2592-2598. doi: 10.1007/s00167-018-5280-0. Epub 2018 Nov 8.
6
LARS versus hamstring tendon autograft in anterior cruciate ligament reconstruction: a single-centre, single surgeon retrospective study with 8 years of follow-up.前交叉韧带重建中LARS人工韧带与自体腘绳肌腱移植的比较:一项单中心、单术者的8年随访回顾性研究。
Eur J Orthop Surg Traumatol. 2019 Feb;29(2):447-453. doi: 10.1007/s00590-018-2304-x. Epub 2018 Sep 19.
7
Biological and Biomechanical Evaluation of Autologous Tendon Combined with Ligament Advanced Reinforcement System Artificial Ligament in a Rabbit Model of Anterior Cruciate Ligament Reconstruction.在兔前交叉韧带重建模型中对自体肌腱联合韧带增强系统人工韧带进行生物学和生物力学评估
Orthop Surg. 2018 May;10(2):144-151. doi: 10.1111/os.12370. Epub 2018 Apr 6.
8
Double-bundle posterior cruciate ligament reconstruction: a biomechanical analysis of simulated early motion and partial and full weightbearing on common reconstruction grafts.双束后交叉韧带重建:对常见重建移植物模拟早期活动及部分和完全负重的生物力学分析
Knee Surg Sports Traumatol Arthrosc. 2017 Aug;25(8):2536-2544. doi: 10.1007/s00167-016-4056-7. Epub 2016 Mar 21.
9
Foreign body granulomatous reaction associated with polyethelene 'Fiberwire(®)' suture material used in Achilles tendon repair.与用于跟腱修复的聚乙烯“Fiberwire(®)”缝线材料相关的异物肉芽肿反应。
Foot Ankle Surg. 2014 Jun;20(2):e27-9. doi: 10.1016/j.fas.2014.01.006. Epub 2014 Feb 15.
10
Posterior cruciate ligament reconstruction for chronic lesions: clinical experience with hamstring versus ligament advanced reinforcement system as graft.后交叉韧带重建治疗慢性损伤:腘绳肌腱与韧带加强修复系统作为移植物的临床经验。
Int Orthop. 2020 Jan;44(1):179-185. doi: 10.1007/s00264-019-04434-7. Epub 2019 Oct 31.

引用本文的文献

1
Foreign Body Reaction Following Achilles Tendon Reconstruction With the Ligament Advanced Reconstructive System: Patient Outcomes and Clinical Course.使用韧带推进重建系统进行跟腱重建后的异物反应:患者预后及临床病程
Cureus. 2023 Nov 12;15(11):e48686. doi: 10.7759/cureus.48686. eCollection 2023 Nov.
2
The efficacy and medium-term outcomes of ligament advanced reinforcement system compared with auto-grafts in anterior cruciate ligament reconstruction: At least 2 years follow-up.前交叉韧带重建中韧带先进增强系统与自体移植物相比的疗效及中期结果:至少2年随访
Front Bioeng Biotechnol. 2022 Sep 2;10:960075. doi: 10.3389/fbioe.2022.960075. eCollection 2022.
3

本文引用的文献

1
Clinical outcomes of anterior cruciate ligament reconstruction using LARS artificial graft with an at least 7-year follow-up.使用LARS人工移植物进行前交叉韧带重建的临床结果:至少7年随访
Medicine (Baltimore). 2017 Apr;96(14):e6568. doi: 10.1097/MD.0000000000006568.
2
Anterior cruciate ligament repair with LARS (ligament advanced reinforcement system): a systematic review.使用LARS(韧带增强修复系统)进行前交叉韧带修复:一项系统评价。
Sports Med Arthrosc Rehabil Ther Technol. 2010 Dec 7;2:29. doi: 10.1186/1758-2555-2-29.
3
Reconstruction of bilateral spontaneous chronic idiopathic Achilles tendon rupture using LARS ligament: Case report.
Effect of norbixin-based poly(hydroxybutyrate) membranes on the tendon repair process after tenotomy in rats.
基于降胭脂树素的聚羟基丁酸酯膜对大鼠跟腱切断术后肌腱修复过程的影响。
Acta Cir Bras. 2020 Jan 13;34(11):e201901101. doi: 10.1590/s0102-865020190110000001. eCollection 2020.
使用LARS韧带重建双侧自发性慢性特发性跟腱断裂:病例报告
Foot (Edinb). 2010 Dec;20(4):154-7. doi: 10.1016/j.foot.2010.09.008. Epub 2010 Oct 23.
4
Synthetic grafts for anterior cruciate ligament rupture: 19-year outcome study.前交叉韧带断裂的人工移植物:19年随访研究
Knee. 2010 Mar;17(2):108-13. doi: 10.1016/j.knee.2009.07.013. Epub 2009 Aug 31.
5
Surgical treatment of chronic Achilles tendon rupture.慢性跟腱断裂的手术治疗
J Foot Ankle Surg. 2009 May-Jun;48(3):340-6. doi: 10.1053/j.jfas.2009.02.007.
6
Scaffolds for tendon and ligament repair: review of the efficacy of commercial products.用于肌腱和韧带修复的支架:商业产品疗效综述
Expert Rev Med Devices. 2009 Jan;6(1):61-73. doi: 10.1586/17434440.6.1.61.
7
In vivo and in vitro cellular ingrowth into a new generation of artificial ligaments.新一代人工韧带的体内和体外细胞长入情况。
Eur Surg Res. 2004 May-Jun;36(3):148-51. doi: 10.1159/000077256.