Suppr超能文献

经皮射频和微波消融治疗肾肿瘤——10年经验

Percutaneous radiofrequency and microwave ablation in the treatment of renal tumors - 10 years of experience.

作者信息

Dvorak Petr, Hoffmann Petr, Brodak Milos, Kosina Josef, Pacovsky Jaroslav, Raupach Jan, Krajina Antonin

机构信息

Department of Radiology, University Hospital, Hradec Kralove, Czech Republic.

Department of Urology, University Hospital, Hradec Kralove, Czech Republic.

出版信息

Wideochir Inne Tech Maloinwazyjne. 2017 Dec;12(4):394-402. doi: 10.5114/wiitm.2017.72322. Epub 2017 Dec 29.

Abstract

INTRODUCTION

The standard radical treatment of renal cell carcinoma is surgical resection, but it is not suitable for patients with serious medical comorbidities and solitary kidney tumors. Minimally invasive ablation techniques could be an appropriate therapeutic alternative.

AIM

To retrospectively evaluate the technical success, mid-term and long-term efficacy and safety of radiofrequency and microwave ablation in patients with small renal tumors.

MATERIAL AND METHODS

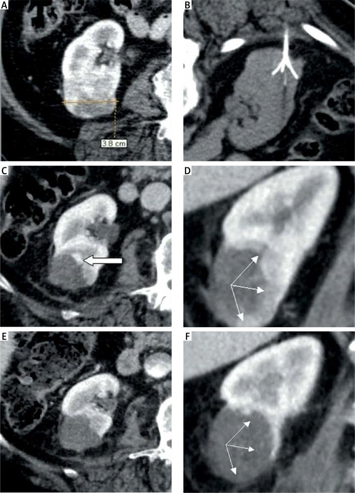
Over the course of 10 years, 91 ablation procedures in 64 patients for 68 tumors, of size 12-60 mm, were performed using only conscious sedation. These ablations were done under the guidance of computed tomography. We treated 41 males and 23 females with solitary kidney tumors (14 cases) and tumors in non-surgical candidates (54 cases).

RESULTS

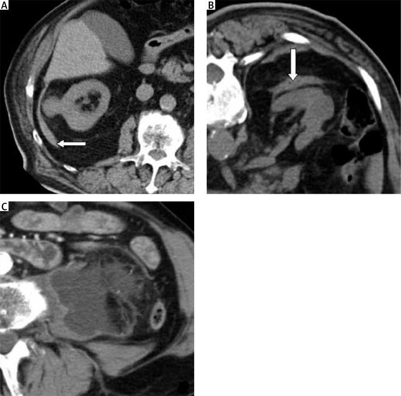
In 50 (73.5%) tumors single treatment was successful; in 13 (19.1%) cases a second procedure was used successfully, and in the 5 largest tumors (sizes 45-60 mm, 7.4%) a third treatment was necessary. Within the follow-up 10 (15.6%) patients died, but none due to metastatic renal cell carcinoma. Only 1 serious complication was observed - retroperitoneal and psoatic hematoma. Early recurrence occurred in 18 (26.5%) tumors. Late recurrence was detected in 5 (7.4%) cases. In all cases complete local control of the renal tumors was reached.

CONCLUSIONS

Percutaneous ablation is a very effective treatment for patients with small renal tumors of the T1a group with a minimal complication rate.

摘要

引言

肾细胞癌的标准根治性治疗方法是手术切除,但它不适用于有严重内科合并症和孤立肾肿瘤的患者。微创消融技术可能是一种合适的治疗选择。

目的

回顾性评估射频和微波消融治疗小肾肿瘤患者的技术成功率、中期和长期疗效及安全性。

材料与方法

在10年期间,对64例患者的68个大小为12 - 60毫米的肿瘤进行了91次消融手术,仅采用清醒镇静。这些消融手术在计算机断层扫描引导下进行。我们治疗了41例男性和23例女性,其中包括孤立肾肿瘤患者(14例)和不适合手术的肿瘤患者(54例)。

结果

50个(73.5%)肿瘤单次治疗成功;13例(19.1%)患者成功进行了第二次手术,5个最大的肿瘤(大小为45 - 60毫米,占7.4%)需要进行第三次治疗。在随访期间,10例(15.6%)患者死亡,但均非死于转移性肾细胞癌。仅观察到1例严重并发症——腹膜后和腰大肌血肿。18个(26.5%)肿瘤发生早期复发。5例(7.4%)出现晚期复发。所有病例均实现了肾肿瘤的完全局部控制。

结论

经皮消融对于T1a组小肾肿瘤患者是一种非常有效的治疗方法,并发症发生率极低。

https://cdn.ncbi.nlm.nih.gov/pmc/blobs/41a4/5776489/46ef35ddf177/WIITM-12-31330-g001.jpg

文献AI研究员

20分钟写一篇综述,助力文献阅读效率提升50倍。

立即体验

用中文搜PubMed

大模型驱动的PubMed中文搜索引擎

马上搜索

文档翻译

学术文献翻译模型,支持多种主流文档格式。

立即体验