• 文献检索
  • 文档翻译
  • 深度研究
  • 学术资讯
  • Suppr Zotero 插件Zotero 插件
  • 邀请有礼
  • 套餐&价格
  • 历史记录
应用&插件
Suppr Zotero 插件Zotero 插件浏览器插件Mac 客户端Windows 客户端微信小程序
定价
高级版会员购买积分包购买API积分包
服务
文献检索文档翻译深度研究API 文档MCP 服务
关于我们
关于 Suppr公司介绍联系我们用户协议隐私条款
关注我们

Suppr 超能文献

核心技术专利:CN118964589B侵权必究
粤ICP备2023148730 号-1Suppr @ 2026

文献检索

告别复杂PubMed语法,用中文像聊天一样搜索,搜遍4000万医学文献。AI智能推荐,让科研检索更轻松。

立即免费搜索

文件翻译

保留排版,准确专业,支持PDF/Word/PPT等文件格式,支持 12+语言互译。

免费翻译文档

深度研究

AI帮你快速写综述,25分钟生成高质量综述,智能提取关键信息,辅助科研写作。

立即免费体验

摄入木质牙签的成功诊断与治疗:两例病例报告

Successful diagnosis and treatment of ingested wooden toothpicks: Two case reports.

作者信息

Lin Nan, Lin Li, Wu Weihang, Yang Weijin, Cai Zhicong, Hong Jie, Wang Yu

机构信息

Department of General Surgery, Dongfang Hospital, Xiamen University Department of General Surgery, Fuzhou General Hospital Clinical Institute of Fuzhou General Hospital, Fujian Medical University, Fuzhou, Fujian, China.

出版信息

Medicine (Baltimore). 2018 Feb;97(5):e9710. doi: 10.1097/MD.0000000000009710.

DOI:10.1097/MD.0000000000009710
PMID:29384850
原文链接:https://pmc.ncbi.nlm.nih.gov/articles/PMC5805422/
Abstract

RATIONALE

Foreign-body ingestion is a common phenomenon and foreign bodies are mostly excreted in stool. Once sharp bodies are ingested without being realized, perforation of intestine is possible and misdiagnosis may be made. We report 2 toothpick ingestion cases that were both diagnosed accurately.

PATIENT CONCERNS

We present 2 cases of middle-aged persons who suffered from abdominal pain. They did not realize and provide any information of having the history of swallowing foreign bodies.

DIAGNOSES

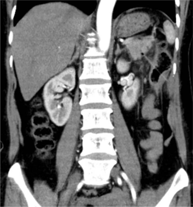
No serious problem was discovered in the examination and blood test. There were somewhere abnormal in computed tomography (CT) images and ultrasound (US). Then a toothpick was found penetrating the wall of intestine into the adjacent viscera in the laparotomy.

INTERVENTIONS

Both patients in the 2 cases were undergone operation to remove the toothpicks.

OUTCOMES

The 2 cases' prognoses were good.

LESSONS

When accepting patients with abdominal pain, suitable examining means and careful observation should be given to find easily ignored lesions. CT is recommended in the diagnostic process of swallowed foreign mass. When there is a vague place, US can be used for further diagnose.

摘要

原理

异物摄入是一种常见现象,异物大多随粪便排出。一旦误食尖锐物体而未被察觉,就有可能导致肠道穿孔,且可能会误诊。我们报告2例牙签摄入病例,均被准确诊断。

患者情况

我们呈现2例中年腹痛患者。他们没有意识到且未提供任何吞咽异物史的信息。

诊断

检查和血液检测未发现严重问题。计算机断层扫描(CT)图像和超声(US)检查有异常。随后在剖腹手术中发现一根牙签穿透肠壁进入相邻脏器。

干预措施

2例患者均接受手术取出牙签。

结果

2例患者预后良好。

经验教训

接诊腹痛患者时,应采用合适的检查手段并仔细观察,以发现易被忽视的病变。在诊断吞咽异物时建议使用CT。当有不明确之处时,可使用超声进一步诊断。

https://cdn.ncbi.nlm.nih.gov/pmc/blobs/63ae/5805422/7b1713d3ce16/medi-97-e9710-g003.jpg
https://cdn.ncbi.nlm.nih.gov/pmc/blobs/63ae/5805422/ed626d5411a1/medi-97-e9710-g001.jpg
https://cdn.ncbi.nlm.nih.gov/pmc/blobs/63ae/5805422/b4d45ef0dcdd/medi-97-e9710-g002.jpg
https://cdn.ncbi.nlm.nih.gov/pmc/blobs/63ae/5805422/7b1713d3ce16/medi-97-e9710-g003.jpg
https://cdn.ncbi.nlm.nih.gov/pmc/blobs/63ae/5805422/ed626d5411a1/medi-97-e9710-g001.jpg
https://cdn.ncbi.nlm.nih.gov/pmc/blobs/63ae/5805422/b4d45ef0dcdd/medi-97-e9710-g002.jpg
https://cdn.ncbi.nlm.nih.gov/pmc/blobs/63ae/5805422/7b1713d3ce16/medi-97-e9710-g003.jpg

相似文献

1
Successful diagnosis and treatment of ingested wooden toothpicks: Two case reports.摄入木质牙签的成功诊断与治疗:两例病例报告
Medicine (Baltimore). 2018 Feb;97(5):e9710. doi: 10.1097/MD.0000000000009710.
2
Toothpick ingestion causing duodenal perforation.牙签吞食导致十二指肠穿孔。
Pediatr Emerg Care. 2010 Jul;26(7):506-7. doi: 10.1097/PEC.0b013e3181e5bf85.
3
Gastrointestinal perforation secondary to accidental ingestion of toothpicks: A series case report.意外吞食牙签继发胃肠道穿孔:一例系列病例报告。
Medicine (Baltimore). 2017 Dec;96(50):e9066. doi: 10.1097/MD.0000000000009066.
4
Sonographic and CT imaging features of intestinal perforation from a pill and packing: A case report.药丸及填充物导致肠道穿孔的超声和CT影像特征:一例报告
Medicine (Baltimore). 2018 Apr;97(16):e0427. doi: 10.1097/MD.0000000000010427.
5
Toothpick injury mimicking renal colic: case report and systematic review.牙签损伤酷似肾绞痛:病例报告及系统评价
J Emerg Med. 2002 Jul;23(1):35-8. doi: 10.1016/s0736-4679(02)00458-4.
6
Toothpick perforation of the caecum.
JBR-BTR. 2014 Jan-Feb;97(1):47. doi: 10.5334/jbr-btr.9.
7
An unusual cause of abdominal pain in an older female.老年女性腹痛的不常见病因。
Rev Esp Enferm Dig. 2024 May;116(5):285-286. doi: 10.17235/reed.2023.9898/2023.
8
Accidentally ingested toothpicks causing severe gastrointestinal injury: a practical guideline for diagnosis and therapy based on 136 case reports.意外摄入牙签导致严重胃肠道损伤:基于136例病例报告的诊断与治疗实用指南
World J Surg. 2014 Feb;38(2):371-7. doi: 10.1007/s00268-013-2307-z.
9
Insidious Onset of Localised Small Intestinal Perforation by Ingested Plastic Fork.食入塑料叉子导致局部小肠穿孔的隐匿性发作。
J Coll Physicians Surg Pak. 2022 Aug;32(8):1070-1072. doi: 10.29271/jcpsp.2022.08.1070.
10
Intestinal Perforation with Ingestion of Blunt Foreign Bodies: A Case Report.吞食钝性异物致肠穿孔 1 例报告
JNMA J Nepal Med Assoc. 2022 Sep 1;60(253):817-820. doi: 10.31729/jnma.7650.

引用本文的文献

1
Gastrointestinal bleeding as a result of entero-iliac fistula due to intestinal foreign body.肠道异物导致回肠-髂骨瘘引起的胃肠道出血。
Ann Med Surg (Lond). 2020 Apr 1;53:20-22. doi: 10.1016/j.amsu.2020.03.004. eCollection 2020 May.

本文引用的文献

1
Suppurative duodenitis and superior mesenteric vein thrombosis after toothpick ingestion.
Clin Gastroenterol Hepatol. 2015 Jun;13(6):A25-6. doi: 10.1016/j.cgh.2015.01.021. Epub 2015 Jan 28.
2
Perforation of the splenic flexure of the colon by an ingested wooden toothpick.摄入的木质牙签导致结肠脾曲穿孔。
J Surg Case Rep. 2015 Jan 14;2015(1):rju149. doi: 10.1093/jscr/rju149.
3
Toothpick ingestion complicated by cecal perforation: case report and literature review.牙签吞食致盲肠穿孔:病例报告及文献复习。
World J Emerg Surg. 2014 Dec 19;9(1):63. doi: 10.1186/1749-7922-9-63. eCollection 2014.
4
Perforation of the cecum by a toothpick: report of a case and review of the literature.牙签导致的盲肠穿孔:一例报告及文献复习
J Emerg Med. 2014 Dec;47(6):e133-7. doi: 10.1016/j.jemermed.2014.06.065. Epub 2014 Oct 7.
5
Successful treatment of liver abscess secondary to foreign body penetration of the alimentary tract: a case report and literature review.消化道异物穿透继发肝脓肿的成功治疗:一例报告及文献综述
World J Gastroenterol. 2014 Apr 7;20(13):3703-11. doi: 10.3748/wjg.v20.i13.3703.
6
Foreign bodies ingestion: what responsibility?异物摄入:责任何在?
J Forensic Leg Med. 2014 Mar;23:5-8. doi: 10.1016/j.jflm.2013.12.024. Epub 2014 Jan 21.
7
Accidentally ingested toothpicks causing severe gastrointestinal injury: a practical guideline for diagnosis and therapy based on 136 case reports.意外摄入牙签导致严重胃肠道损伤:基于136例病例报告的诊断与治疗实用指南
World J Surg. 2014 Feb;38(2):371-7. doi: 10.1007/s00268-013-2307-z.
8
Radiological diagnosis of a small bowel perforation secondary to toothpick ingestion.牙签吞食继发小肠穿孔的放射学诊断
BMJ Case Rep. 2013 Aug 9;2013:bcr2013009869. doi: 10.1136/bcr-2013-009869.
9
Toothpick perforation of the intestines presenting as recurrent abdominal pain: possible roles of abdominal ultrasound and MRI.牙签穿孔致肠道损伤表现为反复腹痛:腹部超声和磁共振成像的可能作用
Clin Med Insights Case Rep. 2013 Jul 7;6:131-5. doi: 10.4137/CCRep.S11486. Print 2013.
10
Problems of diagnosis and treatment caused by ingested foreign bodies.摄入异物引起的诊断和治疗问题。
Chirurgia (Bucur). 2013 May-Jun;108(3):400-6.