Suppr超能文献

细胞凋亡与自噬之间的平衡调节着季节性繁殖的南美草原 vizcacha(草原兔鼠,Lagostomus maximus)睾丸的退化和再生。

The balance between apoptosis and autophagy regulates testis regression and recrudescence in the seasonal-breeding South American plains vizcacha, Lagostomus maximus.

作者信息

González Candela R, Muscarsel Isla María L, Vitullo Alfredo D

机构信息

Centro de Estudios Biomédicos, Biotecnológicos, Ambientales y Diagnóstico- Universidad Maimónides, Buenos Aires, Argentina.

Consejo Nacional de Investigaciones Científicas y Técnicas, CONICET, Buenos Aires, Argentina.

出版信息

PLoS One. 2018 Jan 31;13(1):e0191126. doi: 10.1371/journal.pone.0191126. eCollection 2018.

Abstract

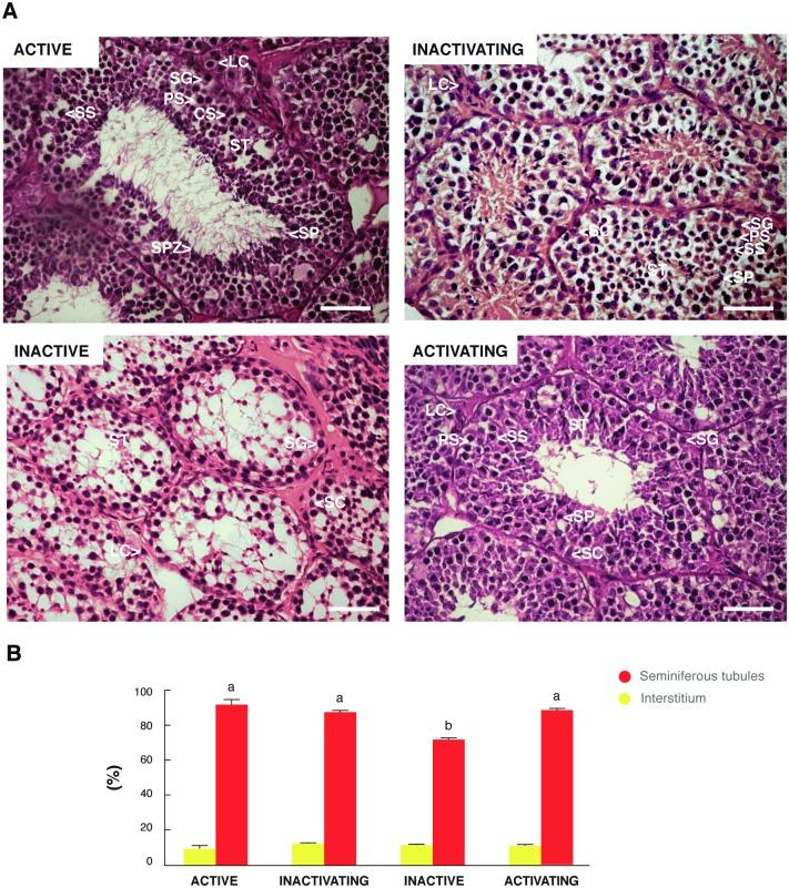
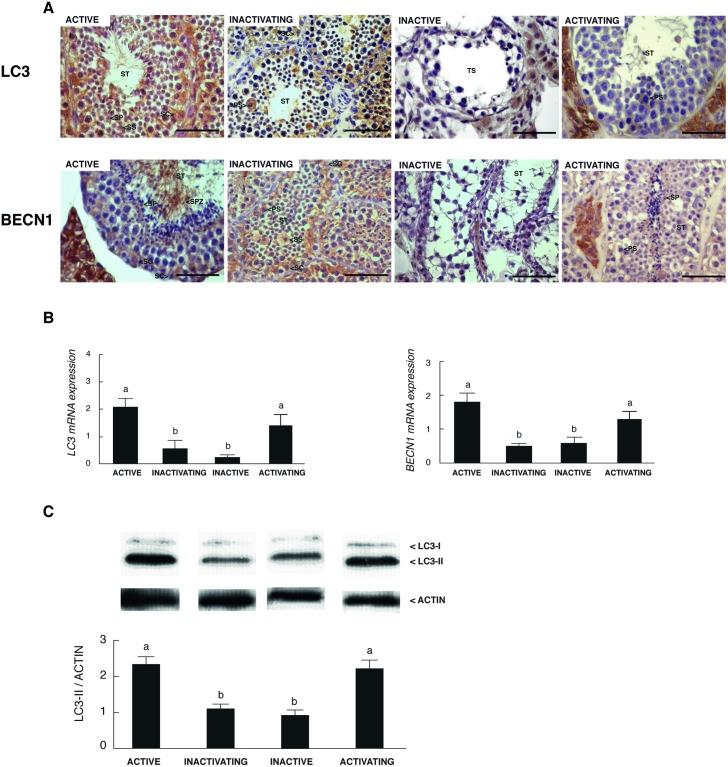
Mammalian testis undergoes deep changes in their architecture and function during photoregression conditions in seasonal breeders. Particularly, the testicular mechanisms that regulate the transition between the active (functional) and inactive (regression) stage vary between species. The aim of the present study was to analyze the incidence of proliferation, apoptosis and autophagy in the testicular seminiferous ephitelium of a seasonal breeder, Lagostomus maximus, during the annual reproductive cycle. We observed that proliferating spermatogonia increased from the active testis until reaching the maximum peak in the activating testis. During the annual reproductive cycle, the quantity of apoptotic-TUNEL positive spermatogonia and meiotic germ cells was constant and this might be regulated by the members of the BCL2 family. Only in the activating testis, apoptosis of germ cells was almost undetectable. The analysis of the autophagic-related proteins BECN1 and LC3 showed their localization in Leydig cells and the germ cells in the active and activating testis. In the inactive testis, BECN1 and LC3 ceased to be immunolocalized within the seminiferous tubules and the mRNA expression of both regulators decreased. Moreover, the expression of BECN1 and LC3 and also the apoptotic index were up regulated in testicular cultures subjected to nutritional stress. These results suggest a possible interaction between apoptosis and autophagy in the active and activating testis (characterized by high metabolic requirement and nutrient), where autophagy could promote survival over cell death. In the inactive testis, the absence of autophagic-related proteins might explain the massive loss of germ cells, suggesting that autophagy plays new and key role in the alterations of the seminiferous epithelium during photoregression.

摘要

在季节性繁殖动物的光消退条件下,哺乳动物睾丸的结构和功能会发生深刻变化。特别是,调节活跃(功能性)和非活跃(退化)阶段之间转换的睾丸机制因物种而异。本研究的目的是分析季节性繁殖动物草原狐(Lagostomus maximus)在年度生殖周期中睾丸生精上皮细胞增殖、凋亡和自噬的发生率。我们观察到,增殖的精原细胞从活跃睾丸期开始增加,直至在激活睾丸期达到最高峰。在年度生殖周期中,凋亡的TUNEL阳性精原细胞和减数分裂生殖细胞数量保持恒定,这可能受BCL2家族成员调控。仅在激活睾丸期,生殖细胞凋亡几乎无法检测到。对自噬相关蛋白BECN1和LC3的分析表明,它们定位于活跃和激活睾丸期的睾丸间质细胞和生殖细胞中。在非活跃睾丸期,BECN1和LC3在生精小管内不再有免疫定位,且这两种调节因子的mRNA表达均下降。此外,在遭受营养应激的睾丸培养物中,BECN1和LC3的表达以及凋亡指数均上调。这些结果表明,在活跃和激活睾丸期(其特征为高代谢需求和营养需求),凋亡与自噬之间可能存在相互作用,其中自噬可促进细胞存活而非死亡。在非活跃睾丸期,自噬相关蛋白的缺失可能解释了生殖细胞的大量损失,这表明自噬在光消退过程中生精上皮的改变中发挥着新的关键作用。

https://cdn.ncbi.nlm.nih.gov/pmc/blobs/5cb7/5791971/1027345fd3c2/pone.0191126.g001.jpg

文献检索

告别复杂PubMed语法,用中文像聊天一样搜索,搜遍4000万医学文献。AI智能推荐,让科研检索更轻松。

立即免费搜索

文件翻译

保留排版,准确专业,支持PDF/Word/PPT等文件格式,支持 12+语言互译。

免费翻译文档

深度研究

AI帮你快速写综述,25分钟生成高质量综述,智能提取关键信息,辅助科研写作。

立即免费体验