Suppr超能文献

沙利度胺通过抗炎途径对链脲佐菌素诱导的糖尿病大鼠的肾脏保护作用。

Renal-protective effect of thalidomide in streptozotocin-induced diabetic rats through anti-inflammatory pathway.

作者信息

Zhang Hongxia, Yang Yanlan, Wang Yanqin, Wang Baodong, Li Rongshan

机构信息

Department of Nephrology.

Department of Endocrinology, Affiliated People's Hospital of Shanxi Medical University, Shanxi Provincial People's Hospital, Taiyuan, Shanxi, People's Republic of China.

出版信息

Drug Des Devel Ther. 2018 Jan 9;12:89-98. doi: 10.2147/DDDT.S149298. eCollection 2018.

Abstract

BACKGROUND

Diabetic nephropathy (DN) is a major microvascular complication in diabetes. An increasing body of evidence has shown that DN is related to chronic inflammation, kidney hypertrophy, and fibrosis. While thalidomide has been shown to have anti-inflammatory and antifibrotic effects, the effects of thalidomide on the pathogenesis of DN are unclear. This study was undertaken to explore whether thalidomide has renal-protective effects in diabetic rats.

METHODS

Male Sprague Dawley rats were injected intraperitoneally with 50 mg/kg streptozotocin to induce diabetes. Diabetic rats were treated with thalidomide (200 mg/kg/d) for 8 weeks, and then blood and urine were collected for measurement of renal function-related parameters. Histopathology, immunohistochemistry, enzyme-linked immunosorbent assay, and Western blot analyses were performed to assess renal proinflammatory cytokines, fibrotic protein, and related signaling pathways.

RESULTS

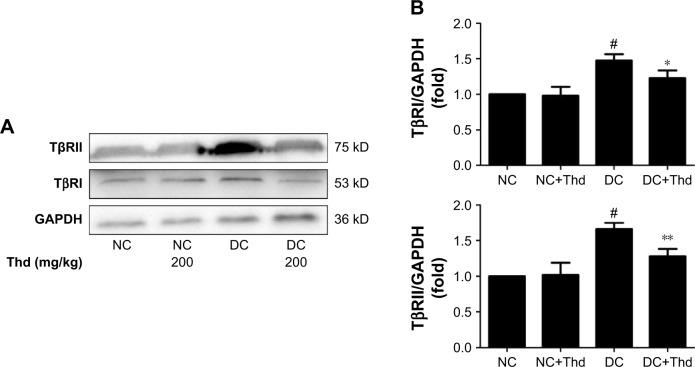
Diabetic rats exhibited obvious renal structural and functional abnormalities, as well as renal inflammation and fibrosis. Compared with diabetic control rats, those treated with thalidomide showed significantly improved histological alterations and biomarkers of renal function, as well as reduced expression of renal inflammatory cytokines, including NF-κB and MCP-1. Furthermore, renal fibrotic proteins, such as TGF-β1, TβRII, TβRI, smad3, collagen IV, and fibronectin were also remarkably suppressed. Treatment with thalidomide markedly stimulated the phosphorylation of AMPKα.

CONCLUSION

In this study, thalidomide suppressed the inflammatory and fibrotic processes in DN. These effects were partly mediated by the activation of AMPKα, and inhibition of the NF-κB/MCP-1 and TGF-β1/Smad signaling pathways. These results suggest that thalidomide may have therapeutic potential in diabetic renal injury through the anti-inflammatory pathway.

摘要

背景

糖尿病肾病(DN)是糖尿病主要的微血管并发症。越来越多的证据表明,DN与慢性炎症、肾脏肥大及纤维化有关。虽然沙利度胺已被证明具有抗炎和抗纤维化作用,但沙利度胺对DN发病机制的影响尚不清楚。本研究旨在探讨沙利度胺对糖尿病大鼠是否具有肾脏保护作用。

方法

雄性Sprague Dawley大鼠腹腔注射50mg/kg链脲佐菌素诱导糖尿病。糖尿病大鼠用沙利度胺(200mg/kg/d)治疗8周,然后采集血液和尿液以测定肾功能相关参数。进行组织病理学、免疫组织化学、酶联免疫吸附测定及蛋白质印迹分析,以评估肾脏促炎细胞因子、纤维化蛋白及相关信号通路。

结果

糖尿病大鼠表现出明显的肾脏结构和功能异常,以及肾脏炎症和纤维化。与糖尿病对照大鼠相比,接受沙利度胺治疗的大鼠组织学改变和肾功能生物标志物显著改善,肾脏炎症细胞因子包括NF-κB和MCP-1的表达降低。此外,肾脏纤维化蛋白如TGF-β1、TβRII、TβRI、smad3、IV型胶原和纤连蛋白也受到显著抑制。沙利度胺治疗显著刺激了AMPKα的磷酸化。

结论

在本研究中,沙利度胺抑制了DN中的炎症和纤维化过程。这些作用部分是由AMPKα的激活以及NF-κB/MCP-1和TGF-β1/Smad信号通路的抑制介导的。这些结果表明,沙利度胺可能通过抗炎途径对糖尿病肾损伤具有治疗潜力。

https://cdn.ncbi.nlm.nih.gov/pmc/blobs/1137/5765978/793538f02ce2/dddt-12-089Fig1.jpg

文献AI研究员

20分钟写一篇综述,助力文献阅读效率提升50倍。

立即体验

用中文搜PubMed

大模型驱动的PubMed中文搜索引擎

马上搜索

文档翻译

学术文献翻译模型,支持多种主流文档格式。

立即体验