Suppr超能文献

子宫脱垂患者伴膀胱受累的原发性阴道鳞状细胞癌:病例报告。

Primary vaginal squamous cell carcinoma with bladder involvement in uterine prolapsed patient: Case report.

作者信息

Fedus Tadeusz, Raś Renata, Książek Mariusz, Filipowska Justyna, Kaznowska Ewa, Skręt Andrzej, Skręt-Magierło Joanna, Barnaś Edyta

机构信息

Clinical Department of Urology and Urology Oncology Obstetrics and Gynecology Clinic, Frederick Chopin Clinical Provincial Hospital No 1 Department of Patomorphology, Chair of Morphological Sciences, Faculty of Medicine Institute of Nursing and Health Science Institute of Obstetrics and Emergency Medicine, Medical Faculty, University of Rzeszow, Rzeszow, Poland.

出版信息

Medicine (Baltimore). 2017 Dec;96(50):e8993. doi: 10.1097/MD.0000000000008993.

Abstract

RATIONALE

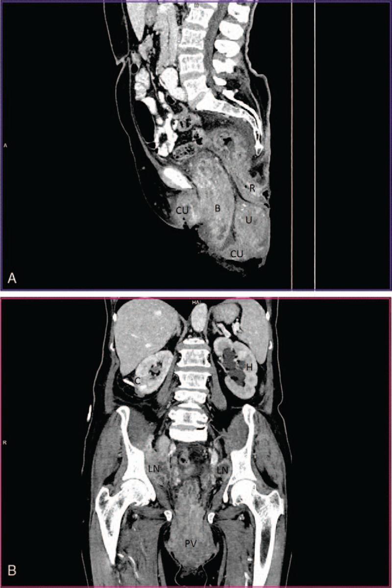
Primary vaginal squamous cell carcinoma (SCC) is a rare disease. Primary SCC in prolapsed vagina is extremely rare. In the presented case additional bladder involvement was found.

PATIENTS CONCERNS

Primary vaginal SCC may be misinterpreted as decubitus in prolapsed vagina and it may delay proper diagnosis and treatment.

DIAGNOSES

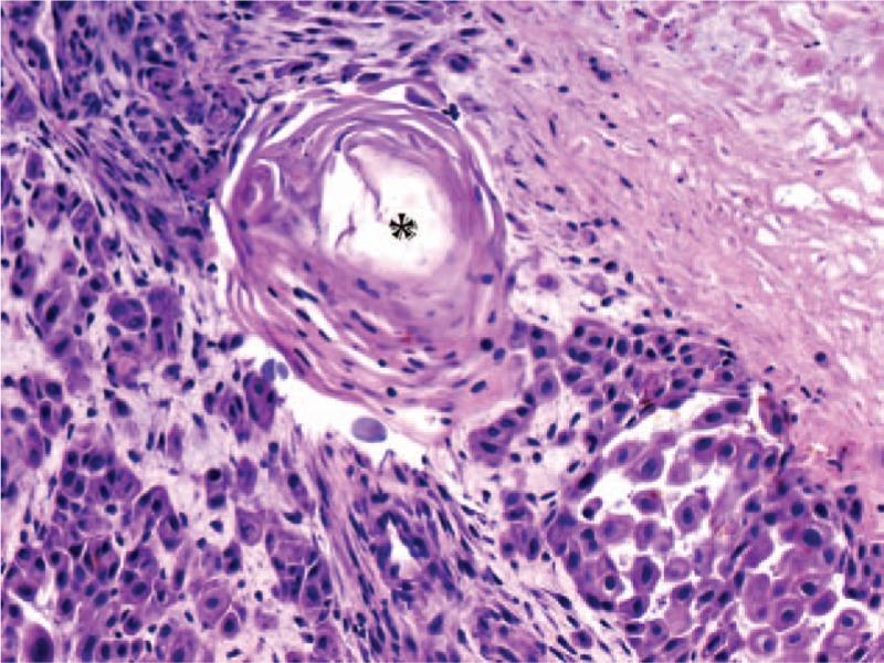
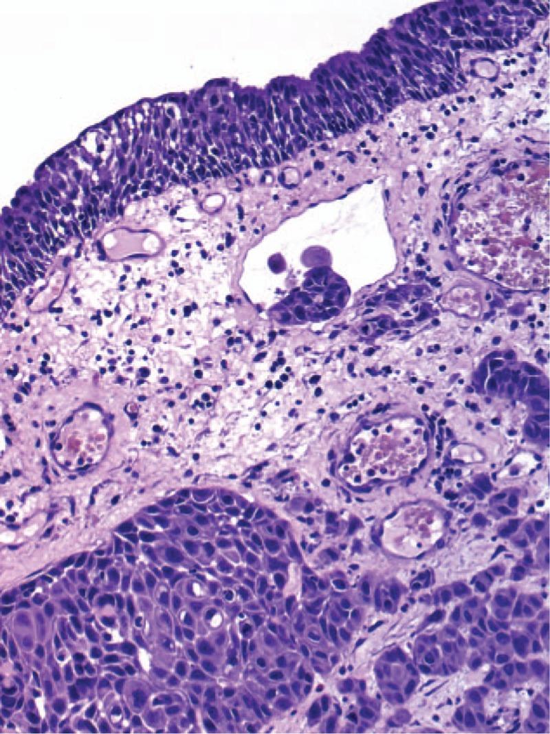
Diagnosis was confirmed by the vaginal ulceration biopsy and cystoscopic biopsy of the involved bladder.

INTERVENTIONS

In the case presented percutaneous nephrostomy was the only possible treatment of hydronephrosis.

OUTCOMES

In advanced primary SCC (Figo IVA) with nodal involvement palliative treatment is only option.

LESSONS

Primary SCC mimicking decubitus which appeared in prolapsed vagina, may be accompanied by bladder involvement.

摘要

理论依据

原发性阴道鳞状细胞癌(SCC)是一种罕见疾病。脱垂阴道中的原发性SCC极为罕见。在本病例中,发现了额外的膀胱受累情况。

患者关注问题

原发性阴道SCC可能被误诊为脱垂阴道中的褥疮,这可能会延迟正确的诊断和治疗。

诊断

通过阴道溃疡活检和受累膀胱的膀胱镜活检确诊。

干预措施

在本病例中,经皮肾造瘘术是肾积水的唯一可能治疗方法。

结果

在伴有淋巴结受累的晚期原发性SCC(国际妇产科联盟[FIGO] IVA期)中,姑息治疗是唯一选择。

经验教训

模仿脱垂阴道中褥疮出现的原发性SCC,可能伴有膀胱受累。

https://cdn.ncbi.nlm.nih.gov/pmc/blobs/9f52/5815706/a5ee29066b2a/medi-96-e8993-g001.jpg

相似文献

1
Primary vaginal squamous cell carcinoma with bladder involvement in uterine prolapsed patient: Case report.
Medicine (Baltimore). 2017 Dec;96(50):e8993. doi: 10.1097/MD.0000000000008993.
2
Primary Vaginal Carcinoma Arising on Cystocele Mimicking Vulvar Cancer.
J Obstet Gynaecol Can. 2020 Dec;42(12):1543-1545. doi: 10.1016/j.jogc.2020.03.007. Epub 2020 Apr 6.
3
Uterine prolapse complicated by vaginal cancer: a case report and literature review.
Gynecol Obstet Invest. 2014;77(2):141-4. doi: 10.1159/000357566. Epub 2014 Jan 23.
4
A rare case of invasive vaginal carcinoma associated with vaginal prolapse.
Arch Gynecol Obstet. 2009 Nov;280(5):845-8. doi: 10.1007/s00404-009-1016-1. Epub 2009 Mar 5.
6
Primary invasive carcinoma of vagina with third degree uterovaginal prolapse: a case report and review of literature.
Arch Gynecol Obstet. 2009 Jan;279(1):91-3. doi: 10.1007/s00404-008-0815-0. Epub 2008 Oct 21.
7
Carcinoma of vagina in utero-vaginal prolapse: a rare presentation.
JNMA J Nepal Med Assoc. 2012 Apr-Jun;52(186):82-4.
8
Vaginal carcinoma in a completely prolapsed uterus. A case report.
Arch Gynecol Obstet. 2007 Jun;275(6):503-5. doi: 10.1007/s00404-006-0284-2. Epub 2006 Nov 23.
9
Primary carcinoma of vagina with uterine prolapse.
J Indian Med Assoc. 1989 Jan;87(1):10-2.
10
Radiation therapy for vaginal cancer in complete uterine prolapse with intrauterine adhesion: a case report.
BMC Womens Health. 2019 May 23;19(1):69. doi: 10.1186/s12905-019-0767-5.

引用本文的文献

本文引用的文献

1
A case of renal dysfunction caused by pelvic organ prolapse.
CEN Case Rep. 2017 Nov;6(2):125-128. doi: 10.1007/s13730-017-0257-2. Epub 2017 Jun 20.
2
Bladder and vaginal transitional cell carcinoma: A case report.
Oncol Lett. 2016 Sep;12(3):2181-2183. doi: 10.3892/ol.2016.4894. Epub 2016 Jul 20.
3
Staging for vaginal cancer.
Best Pract Res Clin Obstet Gynaecol. 2015 Aug;29(6):822-32. doi: 10.1016/j.bpobgyn.2015.01.006. Epub 2015 Mar 4.
4
A case of vaginal cancer with uterine prolapse.
J Menopausal Med. 2013 Dec;19(3):139-42. doi: 10.6118/jmm.2013.19.3.139. Epub 2013 Dec 27.
5
FIGO staging for carcinoma of the vulva, cervix, and corpus uteri.
Int J Gynaecol Obstet. 2014 May;125(2):97-8. doi: 10.1016/j.ijgo.2014.02.003. Epub 2014 Feb 22.
6
Uterine prolapse complicated by vaginal cancer: a case report and literature review.
Gynecol Obstet Invest. 2014;77(2):141-4. doi: 10.1159/000357566. Epub 2014 Jan 23.
7
Primary vaginal carcinoma of lower one-third of posterior vagina associated with third-degree prolapse: a rare case.
J Obstet Gynaecol India. 2013 Oct;63(5):356-8. doi: 10.1007/s13224-012-0199-8. Epub 2013 Apr 12.
8
Incidence of hydronephrosis in severe uterovaginal or vault prolapse.
Singapore Med J. 2013 Mar;54(3):160-2. doi: 10.11622/smedj.2013048.
9
Urothelial carcinoma involving the gynecologic tract: a morphologic and immunohistochemical study of 6 cases.
Am J Surg Pathol. 2012 Jul;36(7):1058-65. doi: 10.1097/PAS.0b013e318251eade.
10
Non-muscle invasive bladder cancer with concomitant vaginal urothelial carcinoma: a case report and review of the literature.
Int J Clin Oncol. 2010 Dec;15(6):626-30. doi: 10.1007/s10147-010-0097-y. Epub 2010 Jun 11.

文献AI研究员

20分钟写一篇综述,助力文献阅读效率提升50倍。

立即体验

用中文搜PubMed

大模型驱动的PubMed中文搜索引擎

马上搜索

文档翻译

学术文献翻译模型,支持多种主流文档格式。

立即体验