Liu Huaqin, Yu Zhui, Li Ying, Xu Bin, Yan Baihui, Paschen Wulf, Warner David S, Yang Wei, Sheng Huaxin
1The Multidisciplinary Neuroprotection Laboratories, Department of Anesthesiology, Duke University Medical Center, Durham, NC, USA.
2Department of Anesthesiology, The 4th Hospital of Hebei Medical University, Shijiazhuang, China.
Aging Dis. 2018 Feb 1;9(1):31-39. doi: 10.14336/AD.2017.0221. eCollection 2018 Feb.
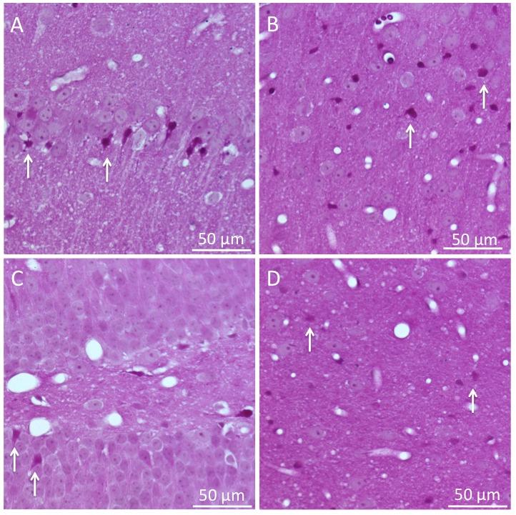
Experimental cardiac arrest (CA) in aging research is infrequently studied in part due to the limitation of animal models. We aimed to develop an easily performed mouse CA model to meet this need. A standard mouse KCl-induced CA model using chest compressions and intravenous epinephrine for resuscitation was modified by blood withdrawal prior to CA onset, so as to decrease the requisite KCl dose to induce CA by decreasing the circulating blood volume. The modification was then compared to the standard model in young adult mice subjected to 8 min CA. 22-month old mice were then subjected to 8 min CA, resuscitated, and compared to young adult mice. Post-CA functional recovery was evaluated by measuring spontaneous locomotor activity pre-injury, and on post-CA days 1, 2, and 3. Neurological score and brain histology were examined on day 3. Brain elF2α phosphorylation levels were measured at 1 h to verify tissue stress. Compared to the standard model, the modification decreased cardiopulmonary resuscitation duration and increased 3-day survival in young mice. For aged mice, survival was 100 % at 24 h and 54% at 72 h. Neurological deficit was present 3 days post-CA, although more severe versus young mice. Mild neuronal necrosis was present in the cortex and hippocampus. The modified model markedly induced elF2α phosphorylation in both age groups. This modified procedure makes the CA model feasible in aged mice and provides a practical platform for understanding injury mechanisms and developing therapeutics for elderly patients.
衰老研究中的实验性心脏骤停(CA)由于动物模型的局限性而较少被研究。我们旨在开发一种易于实施的小鼠CA模型以满足这一需求。通过在CA发作前采血来修改标准的小鼠氯化钾诱导的CA模型,该模型使用胸部按压和静脉注射肾上腺素进行复苏,从而通过减少循环血量来降低诱导CA所需的氯化钾剂量。然后将这种修改后的模型与接受8分钟CA的年轻成年小鼠的标准模型进行比较。然后对22个月大的小鼠进行8分钟CA,进行复苏,并与年轻成年小鼠进行比较。通过测量损伤前以及CA后第1、2和3天的自发运动活动来评估CA后的功能恢复情况。在第3天检查神经学评分和脑组织学。在1小时测量脑内eIF2α磷酸化水平以验证组织应激。与标准模型相比,这种修改减少了年轻小鼠的心肺复苏持续时间并提高了3天生存率。对于老年小鼠,24小时生存率为100%,72小时生存率为54%。CA后3天出现神经功能缺损,尽管比年轻小鼠更严重。在皮质和海马中存在轻度神经元坏死。改良模型在两个年龄组中均显著诱导eIF2α磷酸化。这种改良方法使CA模型在老年小鼠中可行,并为理解损伤机制和为老年患者开发治疗方法提供了一个实用平台。