Suppr超能文献

Trauma-induced Focal Nodular Mucinoses: A Rare Entity.

作者信息

Verma Gunjan, Mrig Pooja A, Gautam R K, Malhotra Purnima

机构信息

Department of Dermatology, PGIMER and Dr Ram Manohar Lohia Hospital, New Delhi, India.

Department of Pathology, PGIMER and Dr Ram Manohar Lohia Hospital, New Delhi, India.

出版信息

Indian Dermatol Online J. 2018 Jan-Feb;9(1):50-52. doi: 10.4103/idoj.IDOJ_63_17.

Abstract

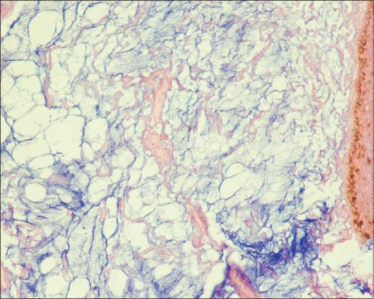
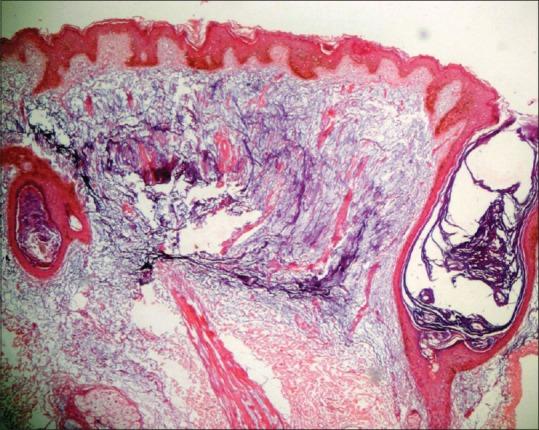
Cutaneous mucinoses refer to disorders with abnormal accumulation of mucin in the skin. Mucin is an amorphous material that is a part of the extracellular matrix in dermis. Cutaneous mucinoses could be primary or secondary. The latter is associated with systemic disorders such as autoimmune diseases, diabetes mellitus, paraproteinemia, or altered thyroid function. Here, we report an adult female patient with trauma-induced cutaneous focal nodular mucinoses on left-sided scapular region. Histology showed replacement of collagen bundles by mucinous deposits in superficial and mid-dermis. Mucinous substance was present in peri-eccrine location on Alcian blue staining.

摘要
https://cdn.ncbi.nlm.nih.gov/pmc/blobs/b0fd/5803944/b272fe05d4fe/IDOJ-9-50-g001.jpg

文献AI研究员

20分钟写一篇综述,助力文献阅读效率提升50倍。

立即体验

用中文搜PubMed

大模型驱动的PubMed中文搜索引擎

马上搜索

文档翻译

学术文献翻译模型,支持多种主流文档格式。

立即体验