• 文献检索
  • 文档翻译
  • 深度研究
  • 学术资讯
  • Suppr Zotero 插件Zotero 插件
  • 邀请有礼
  • 套餐&价格
  • 历史记录
应用&插件
Suppr Zotero 插件Zotero 插件浏览器插件Mac 客户端Windows 客户端微信小程序
定价
高级版会员购买积分包购买API积分包
服务
文献检索文档翻译深度研究API 文档MCP 服务
关于我们
关于 Suppr公司介绍联系我们用户协议隐私条款
关注我们

Suppr 超能文献

核心技术专利:CN118964589B侵权必究
粤ICP备2023148730 号-1Suppr @ 2026

文献检索

告别复杂PubMed语法,用中文像聊天一样搜索,搜遍4000万医学文献。AI智能推荐,让科研检索更轻松。

立即免费搜索

文件翻译

保留排版,准确专业,支持PDF/Word/PPT等文件格式,支持 12+语言互译。

免费翻译文档

深度研究

AI帮你快速写综述,25分钟生成高质量综述,智能提取关键信息,辅助科研写作。

立即免费体验

JNK3使Bax蛋白磷酸化,并诱导其在双层脂质膜上形成孔的能力。

JNK3 phosphorylates Bax protein and induces ability to form pore on bilayer lipid membrane.

作者信息

Gupta Rajeev, Ghosh Subhendu

机构信息

Department of Physiology, All India Institute of Medical Sciences, India.

Department of Biophysics, University of Delhi South Campus, India.

出版信息

Biochim Open. 2017 Feb 11;4:41-46. doi: 10.1016/j.biopen.2017.02.001. eCollection 2017 Jun.

DOI:10.1016/j.biopen.2017.02.001
PMID:29450140
原文链接:https://pmc.ncbi.nlm.nih.gov/articles/PMC5801821/
Abstract

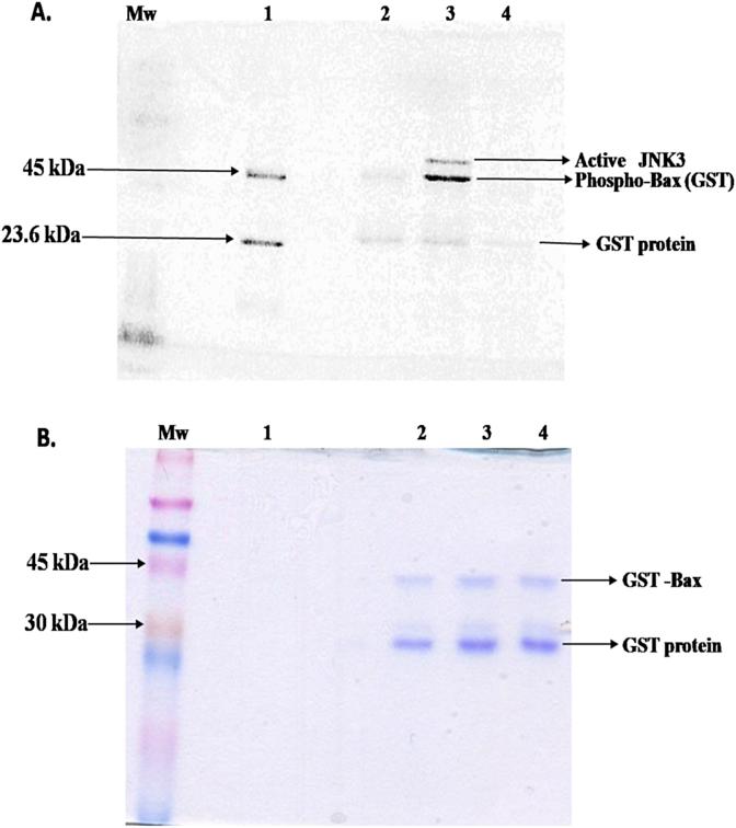
Bax is a pro-apoptotic cytosolic protein. In this work native (unphosphorylated) and JNK3 phosphorylated Bax proteins are studied on artificial bilayer membranes for pore formation. Phosphorylated Bax formed pore on the bilayer lipid membrane whereas native one does not. In cells undergoing apoptosis the pore formed by the phosphorylated Bax could be important in cytochrome release from the mitochondrial intermembrane space to the cytosol. The low conductance (1.5 nS) of the open state of the phosphorylated Bax pore corresponds to pore diameter of 0.9 nm which is small to release cytochrome (∼3.4 nm). We hypothesized that JNK3 phosphorylated Bax protein can form bigger pores after forming complexes with other mitochondrial proteins like VDAC, t-Bid etc. to release cytochrome .

摘要

Bax是一种促凋亡的胞质蛋白。在这项研究中,对天然(未磷酸化)和JNK3磷酸化的Bax蛋白在人工双层膜上形成孔的情况进行了研究。磷酸化的Bax在双层脂质膜上形成孔,而天然的Bax则不能。在经历凋亡的细胞中,磷酸化的Bax形成的孔对于细胞色素从线粒体膜间隙释放到细胞质中可能很重要。磷酸化的Bax孔开放状态下的低电导率(1.5 nS)对应于0.9 nm的孔径,该孔径太小以至于无法释放细胞色素(约3.4 nm)。我们推测,JNK3磷酸化的Bax蛋白在与其他线粒体蛋白(如VDAC、t-Bid等)形成复合物后可以形成更大的孔,从而释放细胞色素。

https://cdn.ncbi.nlm.nih.gov/pmc/blobs/184f/5801821/c75647089cbe/gr4.jpg
https://cdn.ncbi.nlm.nih.gov/pmc/blobs/184f/5801821/ba3261a104ec/gr1.jpg
https://cdn.ncbi.nlm.nih.gov/pmc/blobs/184f/5801821/759836fb50f6/gr2.jpg
https://cdn.ncbi.nlm.nih.gov/pmc/blobs/184f/5801821/f594519cadc8/gr3.jpg
https://cdn.ncbi.nlm.nih.gov/pmc/blobs/184f/5801821/c75647089cbe/gr4.jpg
https://cdn.ncbi.nlm.nih.gov/pmc/blobs/184f/5801821/ba3261a104ec/gr1.jpg
https://cdn.ncbi.nlm.nih.gov/pmc/blobs/184f/5801821/759836fb50f6/gr2.jpg
https://cdn.ncbi.nlm.nih.gov/pmc/blobs/184f/5801821/f594519cadc8/gr3.jpg
https://cdn.ncbi.nlm.nih.gov/pmc/blobs/184f/5801821/c75647089cbe/gr4.jpg

相似文献

1
JNK3 phosphorylates Bax protein and induces ability to form pore on bilayer lipid membrane.JNK3使Bax蛋白磷酸化,并诱导其在双层脂质膜上形成孔的能力。
Biochim Open. 2017 Feb 11;4:41-46. doi: 10.1016/j.biopen.2017.02.001. eCollection 2017 Jun.
2
Phosphorylation of purified mitochondrial Voltage-Dependent Anion Channel by c-Jun N-terminal Kinase-3 modifies channel voltage-dependence.c-Jun氨基末端激酶-3对纯化的线粒体电压依赖性阴离子通道的磷酸化作用改变了通道的电压依赖性。
Biochim Open. 2017 Mar 10;4:78-87. doi: 10.1016/j.biopen.2017.03.002. eCollection 2017 Jun.
3
Phosphorylation of voltage-dependent anion channel by c-Jun N-terminal Kinase-3 leads to closure of the channel.c-Jun氨基末端激酶3对电压依赖性阴离子通道的磷酸化作用导致该通道关闭。
Biochem Biophys Res Commun. 2015 Mar 27;459(1):100-6. doi: 10.1016/j.bbrc.2015.02.077. Epub 2015 Feb 23.
4
Phosphorylation of rat brain purified mitochondrial Voltage-Dependent Anion Channel by c-Jun N-terminal kinase-3 modifies open-channel noise.c-Jun氨基末端激酶-3对大鼠脑纯化线粒体电压依赖性阴离子通道的磷酸化作用改变了开放通道噪声。
Biochem Biophys Res Commun. 2017 Sep 2;490(4):1221-1225. doi: 10.1016/j.bbrc.2017.06.194. Epub 2017 Jul 1.
5
Bax and Bif-1 proteins interact on Bilayer Lipid Membrane and form pore.Bax蛋白和Bif-1蛋白在双层脂质膜上相互作用并形成孔道。
Biochem Biophys Res Commun. 2015 Aug 7;463(4):751-5. doi: 10.1016/j.bbrc.2015.06.007. Epub 2015 Jun 4.
6
Investigation of bax-induced release of cytochrome c from yeast mitochondria permeability of mitochondrial membranes, role of VDAC and ATP requirement.对bax诱导酵母线粒体释放细胞色素c的研究:线粒体膜通透性、电压依赖性阴离子通道的作用及ATP需求
Eur J Biochem. 1999 Mar;260(3):684-91. doi: 10.1046/j.1432-1327.1999.00198.x.
7
Phosphorylation of rat brain mitochondrial voltage-dependent anion as a potential tool to control leakage of cytochrome c.大鼠脑线粒体电压依赖性阴离子的磷酸化作为控制细胞色素c泄漏的潜在工具。
J Neurochem. 2006 Aug;98(3):670-6. doi: 10.1111/j.1471-4159.2006.03853.x. Epub 2006 Jun 19.
8
Bid induces cytochrome c-impermeable Bax channels in liposomes.Bid可在脂质体中诱导形成对细胞色素c不通透的Bax通道。
Biochem J. 2002 May 1;363(Pt 3):547-52. doi: 10.1042/0264-6021:3630547.
9
An amphipathic Bax core dimer forms part of the apoptotic pore wall in the mitochondrial␣membrane.两亲性 Bax 核心二聚体构成线粒体外膜凋亡孔壁的一部分。
EMBO J. 2021 Jul 15;40(14):e106438. doi: 10.15252/embj.2020106438. Epub 2021 Jun 8.
10
Pro-apoptotic cascade activates BID, which oligomerizes BAK or BAX into pores that result in the release of cytochrome c.促凋亡级联激活BID,BID将BAK或BAX寡聚化形成孔道,导致细胞色素c释放。
Cell Death Differ. 2000 Dec;7(12):1166-73. doi: 10.1038/sj.cdd.4400783.

引用本文的文献

1
Determining the Functional Oligomeric State of Membrane-Associated Protein Oligomers Forming Membrane Pores on Giant Lipid Vesicles.确定在巨大脂质囊泡上形成膜孔的膜相关蛋白寡聚物的功能寡聚状态。
Anal Chem. 2023 Jun 13;95(23):8807-8815. doi: 10.1021/acs.analchem.2c05692. Epub 2023 May 6.
2
Homocysteine-Thiolactone Modulates Gating of Mitochondrial Voltage-Dependent Anion Channel (VDAC) and Protects It from Induced Oxidative Stress.同型半胱氨酸-硫内酯调节线粒体电压依赖性阴离子通道(VDAC)的门控并保护其免受诱导的氧化应激。
J Membr Biol. 2022 Feb;255(1):79-97. doi: 10.1007/s00232-022-00215-3. Epub 2022 Feb 1.
3
Mechanisms of nucleophosmin (NPM)-mediated regulated cell death elucidated by Hsp70 during renal ischemia.

本文引用的文献

1
Bax assembly into rings and arcs in apoptotic mitochondria is linked to membrane pores.凋亡线粒体中 Bax 组装成环和弧与膜孔有关。
EMBO J. 2016 Feb 15;35(4):389-401. doi: 10.15252/embj.201593384. Epub 2016 Jan 18.
2
Regulation of Bax/mitochondria interaction by AKT.AKT对Bax与线粒体相互作用的调节
FEBS Lett. 2016 Jan;590(1):13-21. doi: 10.1002/1873-3468.12030. Epub 2015 Dec 30.
3
Bax monomers form dimer units in the membrane that further self-assemble into multiple oligomeric species.Bax单体在膜中形成二聚体单元,这些二聚体单元进一步自组装成多种寡聚体。
热休克蛋白 70 在肾缺血时通过核仁磷酸蛋白(NPM)介导的调控细胞死亡机制的阐明。
Apoptosis. 2022 Feb;27(1-2):22-33. doi: 10.1007/s10495-021-01696-8. Epub 2021 Nov 11.
4
Phosphorylation of purified mitochondrial Voltage-Dependent Anion Channel by c-Jun N-terminal Kinase-3 modifies channel voltage-dependence.c-Jun氨基末端激酶-3对纯化的线粒体电压依赖性阴离子通道的磷酸化作用改变了通道的电压依赖性。
Biochim Open. 2017 Mar 10;4:78-87. doi: 10.1016/j.biopen.2017.03.002. eCollection 2017 Jun.
5
Putative roles of mitochondrial Voltage-Dependent Anion Channel, Bcl-2 family proteins and c-Jun N-terminal Kinases in ischemic stroke associated apoptosis.线粒体电压依赖性阴离子通道、Bcl-2家族蛋白和c-Jun氨基末端激酶在缺血性脑卒中相关细胞凋亡中的假定作用。
Biochim Open. 2017 Feb 16;4:47-55. doi: 10.1016/j.biopen.2017.02.002. eCollection 2017 Jun.
Nat Commun. 2015 Aug 14;6:8042. doi: 10.1038/ncomms9042.
4
Crystal structure of Bax bound to the BH3 peptide of Bim identifies important contacts for interaction.与Bim的BH3肽结合的Bax晶体结构确定了相互作用的重要接触点。
Cell Death Dis. 2015 Jul 9;6(7):e1809. doi: 10.1038/cddis.2015.141.
5
Bax and Bif-1 proteins interact on Bilayer Lipid Membrane and form pore.Bax蛋白和Bif-1蛋白在双层脂质膜上相互作用并形成孔道。
Biochem Biophys Res Commun. 2015 Aug 7;463(4):751-5. doi: 10.1016/j.bbrc.2015.06.007. Epub 2015 Jun 4.
6
Hydrogen-rich saline attenuates skin ischemia/reperfusion induced apoptosis via regulating Bax/Bcl-2 ratio and ASK-1/JNK pathway.富氢盐水通过调节Bax/Bcl-2比值和ASK-1/JNK信号通路减轻皮肤缺血/再灌注诱导的细胞凋亡。
J Plast Reconstr Aesthet Surg. 2015 Jul;68(7):e147-56. doi: 10.1016/j.bjps.2015.03.001. Epub 2015 Mar 19.
7
Phosphorylation of voltage-dependent anion channel by c-Jun N-terminal Kinase-3 leads to closure of the channel.c-Jun氨基末端激酶3对电压依赖性阴离子通道的磷酸化作用导致该通道关闭。
Biochem Biophys Res Commun. 2015 Mar 27;459(1):100-6. doi: 10.1016/j.bbrc.2015.02.077. Epub 2015 Feb 23.
8
P38α MAPK underlies muscular dystrophy and myofiber death through a Bax-dependent mechanism.P38α丝裂原活化蛋白激酶通过一种依赖于Bax的机制导致肌肉萎缩和肌纤维死亡。
Hum Mol Genet. 2014 Oct 15;23(20):5452-63. doi: 10.1093/hmg/ddu270. Epub 2014 May 29.
9
Bax channel triplet: co-operativity and voltage gating.Bax 通道三聚体:协同性和电压门控。
Biochem J. 2014 Apr 15;459(2):397-404. doi: 10.1042/BJ20131441.
10
ROS-dependent phosphorylation of Bax by wortmannin sensitizes melanoma cells for TRAIL-induced apoptosis.wortmannin 依赖 ROS 的 Bax 磷酸化使黑色素瘤细胞对 TRAIL 诱导的细胞凋亡敏感。
Cell Death Dis. 2013 Oct 10;4(10):e839. doi: 10.1038/cddis.2013.344.