• 文献检索
  • 文档翻译
  • 深度研究
  • 学术资讯
  • Suppr Zotero 插件Zotero 插件
  • 邀请有礼
  • 套餐&价格
  • 历史记录
应用&插件
Suppr Zotero 插件Zotero 插件浏览器插件Mac 客户端Windows 客户端微信小程序
定价
高级版会员购买积分包购买API积分包
服务
文献检索文档翻译深度研究API 文档MCP 服务
关于我们
关于 Suppr公司介绍联系我们用户协议隐私条款
关注我们

Suppr 超能文献

核心技术专利:CN118964589B侵权必究
粤ICP备2023148730 号-1Suppr @ 2026

文献检索

告别复杂PubMed语法,用中文像聊天一样搜索,搜遍4000万医学文献。AI智能推荐,让科研检索更轻松。

立即免费搜索

文件翻译

保留排版,准确专业,支持PDF/Word/PPT等文件格式,支持 12+语言互译。

免费翻译文档

深度研究

AI帮你快速写综述,25分钟生成高质量综述,智能提取关键信息,辅助科研写作。

立即免费体验

成人全生命周期静息态功能磁共振成像信号复杂性的赫斯特指数分析

Hurst Exponent Analysis of Resting-State fMRI Signal Complexity across the Adult Lifespan.

作者信息

Dong Jianxin, Jing Bin, Ma Xiangyu, Liu Han, Mo Xiao, Li Haiyun

机构信息

School of Biomedical Engineering, Capital Medical University, Beijing, China.

Yanjing Medical College, Capital Medical University, Beijing, China.

出版信息

Front Neurosci. 2018 Feb 2;12:34. doi: 10.3389/fnins.2018.00034. eCollection 2018.

DOI:10.3389/fnins.2018.00034
PMID:29456489
原文链接:https://pmc.ncbi.nlm.nih.gov/articles/PMC5801317/
Abstract

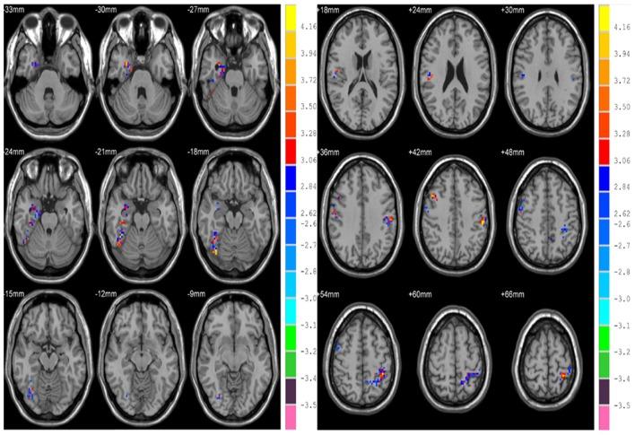
Exploring functional information among various brain regions across time enables understanding of healthy aging process and holds great promise for age-related brain disease diagnosis. This paper proposed a method to explore fractal complexity of the resting-state functional magnetic resonance imaging (rs-fMRI) signal in the human brain across the adult lifespan using Hurst exponent (HE). We took advantage of the examined rs-fMRI data from 116 adults 19 to 85 years of age (44.3 ± 19.4 years, 49 females) from NKI/Rockland sample. Region-wise and voxel-wise analyses were performed to investigate the effects of age, gender, and their interaction on complexity. In region-wise analysis, we found that the healthy aging is accompanied by a loss of complexity in frontal and parietal lobe and increased complexity in insula, limbic, and temporal lobe. Meanwhile, differences in HE between genders were found to be significant in parietal lobe ( = 0.04, corrected). However, there was no interaction between gender and age. In voxel-wise analysis, the significant complexity decrease with aging was found in frontal and parietal lobe, and complexity increase was found in insula, limbic lobe, occipital lobe, and temporal lobe with aging. Meanwhile, differences in HE between genders were found to be significant in frontal, parietal, and limbic lobe. Furthermore, we found age and sex interaction in right parahippocampal gyrus ( = 0.04, corrected). Our findings reveal HE variations of the rs-fMRI signal across the human adult lifespan and show that HE may serve as a new parameter to assess healthy aging process.

摘要

探索不同脑区随时间变化的功能信息,有助于理解健康衰老过程,并为与年龄相关的脑部疾病诊断带来巨大希望。本文提出了一种利用赫斯特指数(HE)来探索人类大脑在成年期静息态功能磁共振成像(rs-fMRI)信号分形复杂性的方法。我们利用了来自NKI/Rockland样本的116名19至85岁成年人(44.3±19.4岁,49名女性)的rs-fMRI数据。进行了区域层面和体素层面的分析,以研究年龄、性别及其相互作用对复杂性的影响。在区域层面分析中,我们发现健康衰老伴随着额叶和顶叶复杂性的降低以及岛叶、边缘叶和颞叶复杂性的增加。同时,发现性别之间在顶叶的HE差异具有显著性( = 0.04,校正后)。然而,性别与年龄之间没有相互作用。在体素层面分析中,发现额叶和顶叶随着衰老复杂性显著降低,而岛叶、边缘叶、枕叶和颞叶随着衰老复杂性增加。同时,发现性别之间在额叶、顶叶和边缘叶的HE差异具有显著性。此外,我们在右侧海马旁回发现了年龄和性别的相互作用( = 0.04,校正后)。我们的研究结果揭示了rs-fMRI信号在人类成年期的HE变化,并表明HE可作为评估健康衰老过程的一个新参数。

https://cdn.ncbi.nlm.nih.gov/pmc/blobs/8651/5801317/b915ed8308d8/fnins-12-00034-g0006.jpg
https://cdn.ncbi.nlm.nih.gov/pmc/blobs/8651/5801317/ae379684e74e/fnins-12-00034-g0001.jpg
https://cdn.ncbi.nlm.nih.gov/pmc/blobs/8651/5801317/f0e4c40b9554/fnins-12-00034-g0002.jpg
https://cdn.ncbi.nlm.nih.gov/pmc/blobs/8651/5801317/77aae3dbc254/fnins-12-00034-g0003.jpg
https://cdn.ncbi.nlm.nih.gov/pmc/blobs/8651/5801317/0b7ae2d83dcf/fnins-12-00034-g0004.jpg
https://cdn.ncbi.nlm.nih.gov/pmc/blobs/8651/5801317/2a94ea237a66/fnins-12-00034-g0005.jpg
https://cdn.ncbi.nlm.nih.gov/pmc/blobs/8651/5801317/b915ed8308d8/fnins-12-00034-g0006.jpg
https://cdn.ncbi.nlm.nih.gov/pmc/blobs/8651/5801317/ae379684e74e/fnins-12-00034-g0001.jpg
https://cdn.ncbi.nlm.nih.gov/pmc/blobs/8651/5801317/f0e4c40b9554/fnins-12-00034-g0002.jpg
https://cdn.ncbi.nlm.nih.gov/pmc/blobs/8651/5801317/77aae3dbc254/fnins-12-00034-g0003.jpg
https://cdn.ncbi.nlm.nih.gov/pmc/blobs/8651/5801317/0b7ae2d83dcf/fnins-12-00034-g0004.jpg
https://cdn.ncbi.nlm.nih.gov/pmc/blobs/8651/5801317/2a94ea237a66/fnins-12-00034-g0005.jpg
https://cdn.ncbi.nlm.nih.gov/pmc/blobs/8651/5801317/b915ed8308d8/fnins-12-00034-g0006.jpg

相似文献

1
Hurst Exponent Analysis of Resting-State fMRI Signal Complexity across the Adult Lifespan.成人全生命周期静息态功能磁共振成像信号复杂性的赫斯特指数分析
Front Neurosci. 2018 Feb 2;12:34. doi: 10.3389/fnins.2018.00034. eCollection 2018.
2
Brain functional connectivity during storage based on resting state functional magnetic resonance imaging with synchronous urodynamic testing in healthy volunteers.基于静息态功能磁共振成像和健康志愿者同步尿动力学测试的储存期脑功能连接。
Brain Imaging Behav. 2021 Jun;15(3):1676-1684. doi: 10.1007/s11682-020-00362-y.
3
Increased regional Hurst exponent reflects response inhibition related neural complexity alterations in pediatric bipolar disorder patients during an emotional Go-Nogo task.在执行情绪 Go-Nogo 任务时,增加的区域赫斯特指数反映了儿童双相障碍患者与反应抑制相关的神经复杂性改变。
Cereb Cortex. 2024 Jan 14;34(1). doi: 10.1093/cercor/bhad442.
4
Gender differences in brain regional homogeneity of healthy subjects after normal sleep and after sleep deprivation: a resting-state fMRI study.健康受试者正常睡眠和睡眠剥夺后脑区局部一致性的性别差异:一项静息态 fMRI 研究。
Sleep Med. 2012 Jun;13(6):720-7. doi: 10.1016/j.sleep.2011.09.019. Epub 2012 Apr 13.
5
A Brainnetome Atlas Based Mild Cognitive Impairment Identification Using Hurst Exponent.基于脑网络组图谱并利用赫斯特指数识别轻度认知障碍
Front Aging Neurosci. 2018 Apr 10;10:103. doi: 10.3389/fnagi.2018.00103. eCollection 2018.
6
A Study of Spontaneous Brain Activity on Resting-State Functional Magnetic Resonance Imaging in Adults with MRI-Negative Temporal Lobe Epilepsy.MRI阴性颞叶癫痫成人静息态功能磁共振成像的自发脑活动研究
Neuropsychiatr Dis Treat. 2022 Jun 2;18:1107-1116. doi: 10.2147/NDT.S366189. eCollection 2022.
7
The Assessment of Brain Functional Changes in the Temporal Lobe Epilepsy Patient with Cognitive Impairment by Resting-state Functional Magnetic Resonance Imaging.基于静息态功能磁共振成像对伴有认知障碍的颞叶癫痫患者脑功能变化的评估
J Clin Imaging Sci. 2020 Aug 17;10:50. doi: 10.25259/JCIS_55_2020. eCollection 2020.
8
Fuzzy approximate entropy analysis of resting state fMRI signal complexity across the adult life span.成年期静息态功能磁共振成像信号复杂性的模糊近似熵分析
Med Eng Phys. 2015 Nov;37(11):1082-90. doi: 10.1016/j.medengphy.2015.09.001. Epub 2015 Oct 21.
9
Frequency-dependent changes in local intrinsic oscillations in chronic primary insomnia: A study of the amplitude of low-frequency fluctuations in the resting state.慢性原发性失眠中局部内在振荡的频率依赖性变化:静息状态下低频波动幅度的研究
Neuroimage Clin. 2016 May 26;15:458-465. doi: 10.1016/j.nicl.2016.05.011. eCollection 2017.
10
[Diffusion tensor imaging and resting-state functional magnetic resonance imaging in patients with delirium in intensive care unit].[重症监护病房谵妄患者的扩散张量成像与静息态功能磁共振成像]
Zhonghua Wei Zhong Bing Ji Jiu Yi Xue. 2020 Jan;32(1):88-93. doi: 10.3760/cma.j.cn121430-20190905-00016.

引用本文的文献

1
Normative Brain Entropy Across the Lifespan.一生中的规范性脑熵
bioRxiv. 2025 May 14:2025.05.08.652915. doi: 10.1101/2025.05.08.652915.
2
The lifelong nonlinear development of spatial variability of brain signals.大脑信号空间变异性的终身非线性发展。
Commun Biol. 2025 Mar 26;8(1):500. doi: 10.1038/s42003-025-07939-7.
3
A longitudinal study of functional brain complexity in progressive Alzheimer's disease.一项关于进行性阿尔茨海默病患者大脑功能复杂性的纵向研究。

本文引用的文献

1
Gender Differences in Emotion Regulation: An fMRI Study of Cognitive Reappraisal.情绪调节中的性别差异:一项关于认知重评的功能磁共振成像研究
Group Process Intergroup Relat. 2008 Apr;11(2):143-162. doi: 10.1177/1368430207088035.
2
Age-dependent changes in task-based modular organization of the human brain.人类大脑基于任务的模块化组织随年龄的变化
Neuroimage. 2017 Feb 1;146:741-762. doi: 10.1016/j.neuroimage.2016.09.001. Epub 2016 Sep 3.
3
Functional neuroimaging of normal aging: Declining brain, adapting brain.正常衰老的功能神经影像学:不断变化的大脑,适应的大脑。
Alzheimers Dement (Amst). 2025 Jan 16;17(1):e70059. doi: 10.1002/dad2.70059. eCollection 2025 Jan-Mar.
4
Older is order: entropy reduction in cortical spontaneous activity marks healthy aging.越有序越健康:皮层自发活动中的熵减少标志着健康衰老。
BMC Neurosci. 2024 Dec 3;25(1):74. doi: 10.1186/s12868-024-00916-6.
5
Temporal complexity of the BOLD-signal in preterm versus term infants.早产儿与足月儿脑血氧水平依赖信号的时变复杂性。
Cereb Cortex. 2024 Oct 3;34(10). doi: 10.1093/cercor/bhae426.
6
Fractal Time Series: Background, Estimation Methods, and Performances.分形时间序列:背景、估计方法和性能。
Adv Neurobiol. 2024;36:95-137. doi: 10.1007/978-3-031-47606-8_5.
7
Decreased long-range temporal correlations in the resting-state functional magnetic resonance imaging blood-oxygen-level-dependent signal reflect motor sequence learning up to 2 weeks following training.静息状态功能磁共振成像血氧水平依赖信号的长程时间相关性降低反映了运动序列学习,这种改变可在训练后长达 2 周的时间内被观察到。
Hum Brain Mapp. 2024 Mar;45(4):e26539. doi: 10.1002/hbm.26539. Epub 2023 Dec 20.
8
Increased regional Hurst exponent reflects response inhibition related neural complexity alterations in pediatric bipolar disorder patients during an emotional Go-Nogo task.在执行情绪 Go-Nogo 任务时,增加的区域赫斯特指数反映了儿童双相障碍患者与反应抑制相关的神经复杂性改变。
Cereb Cortex. 2024 Jan 14;34(1). doi: 10.1093/cercor/bhad442.
9
Complexity Measures for EEG Microstate Sequences: Concepts and Algorithms.脑电微状态序列的复杂度测度:概念与算法。
Brain Topogr. 2024 Mar;37(2):296-311. doi: 10.1007/s10548-023-01006-2. Epub 2023 Sep 26.
10
Scale-free dynamics of core-periphery topography.无标度核心-边缘拓扑的动态特性。
Hum Brain Mapp. 2023 Apr 1;44(5):1997-2017. doi: 10.1002/hbm.26187. Epub 2022 Dec 29.
Ageing Res Rev. 2016 Sep;30:61-72. doi: 10.1016/j.arr.2016.02.006. Epub 2016 Mar 14.
4
Fuzzy approximate entropy analysis of resting state fMRI signal complexity across the adult life span.成年期静息态功能磁共振成像信号复杂性的模糊近似熵分析
Med Eng Phys. 2015 Nov;37(11):1082-90. doi: 10.1016/j.medengphy.2015.09.001. Epub 2015 Oct 21.
5
Proneness to social anxiety modulates neural complexity in the absence of exposure: A resting state fMRI study using Hurst exponent.易患社交焦虑症会调节无暴露状态下的神经复杂性:使用赫斯特指数的静息态 fMRI 研究。
Psychiatry Res. 2015 May 30;232(2):135-44. doi: 10.1016/j.pscychresns.2015.03.005. Epub 2015 Mar 23.
6
BOLD fractional contribution to resting-state functional connectivity above 0.1 Hz.高于0.1 Hz时,静息态功能连接的血氧水平依赖分数贡献。
Neuroimage. 2015 Feb 15;107:207-218. doi: 10.1016/j.neuroimage.2014.12.012. Epub 2014 Dec 12.
7
An age-related shift of resting-state functional connectivity of the subthalamic nucleus: a potential mechanism for compensating motor performance decline in older adults.亚急性震颤麻痹患者苍白球毁损术后丘脑底核电刺激的疗效及安全性研究
Front Aging Neurosci. 2014 Jul 23;6:178. doi: 10.3389/fnagi.2014.00178. eCollection 2014.
8
Scale-free brain activity: past, present, and future.无标度脑活动:过去、现在与未来。
Trends Cogn Sci. 2014 Sep;18(9):480-7. doi: 10.1016/j.tics.2014.04.003. Epub 2014 Apr 28.
9
Contributions of the insula to cognition and emotion.脑岛在认知和情绪中的作用。
Neuropsychol Rev. 2014 Jun;24(2):77-87. doi: 10.1007/s11065-014-9246-9. Epub 2014 Jan 18.
10
Multiple time scale complexity analysis of resting state FMRI.静息态 fMRI 的多时间尺度复杂度分析。
Brain Imaging Behav. 2014 Jun;8(2):284-91. doi: 10.1007/s11682-013-9276-6. Epub 2013 Nov 16.