Suppr超能文献

硬膜外麻醉和全身麻醉后脊髓梗死:一例报告

Spinal cord infarction following epidural and general anesthesia: a case report.

作者信息

Kobayashi Kaori, Narimatsu Noriko, Oyoshi Takafumi, Ikeda Takashi, Tohya Toshimitsu

机构信息

1Department of Anesthesiology, Kumamoto Rosai Hospital, 1670, Takehara-machi, Yatsushiro, Kumamoto Japan.

2Department of Orthopedic Surgery, Kumamoto Rosai Hospital, Yatsushiro, Japan.

出版信息

JA Clin Rep. 2017;3(1):42. doi: 10.1186/s40981-017-0109-2. Epub 2017 Aug 16.

Abstract

BACKGROUND

Epidural anesthesia is widely used for postoperative analgesia and rarely causes permanent neurological complications. We report a case of paraplegia following abdominal surgery under combined epidural/general anesthesia.

CASE PRESENTATION

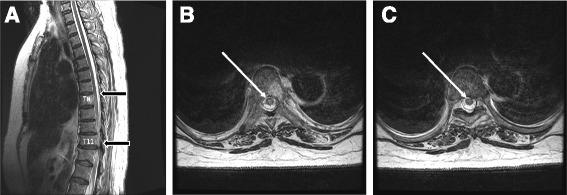
A 75-year-old woman underwent a scheduled abdominal total hysterectomy and bilateral salpingo-oophorectomy for suspected endometrial cancer. In the operating room, an epidural catheter was inserted at T11/12 while the patient was conscious. The needle entered smoothly, with no observed bleeding, paresthesia, or pain, and general anesthesia was induced. During surgery, 4 mL of 0.25% levobupivacaine and 0.1 mg of fentanyl were administered via the epidural catheter, and a solution of 2.5 μg/mL fentanyl and 0.2% levobupivacaine was continuously infused at 4 mL/h for postoperative analgesia. The patient promptly regained consciousness and could move her bilateral lower extremities without difficulty upon leaving the operating room. During the first postoperative night, she complained of an absence of sensation and weakness in the lower extremities. By the morning of the second postoperative day, she had developed paralysis and sensory losses associated with touch, temperature, pinprick, and vibration below T5. The epidural infusion was stopped. Magnetic resonance imaging (MRI) revealed a hyperintense area of the thoracic cord from T8 to T11, and spinal cord infarction was suspected. Ossification of the yellow spinal ligaments between T11 and T12, resulting in thoracic canal stenosis and thoracic spinal cord compression, were observed. Notably, the epidural catheter was inserted at the same site where the thoracic canal stenosis was present.

CONCLUSIONS

Permanent neurological complications of epidural anesthesia are rare. Studies of neurological complications after epidural/spinal anesthesia have noted the possibility of spinal anomalies, such as lumbar stenosis, in relation to neurological complications after epidural/spinal anesthesia. In this case, the onset of spinal cord infarction may have occurred coincidentally with catheter insertion into the site of existing spinal stenosis. Therefore, it is important to evaluate lower extremity symptoms and consider spinal disease before administering epidural anesthesia. Spinal cord infarction may be prevented by preoperatively identifying spinal lesions using computed tomography or MRI in cases of suspected spinal disease.

摘要

背景

硬膜外麻醉广泛用于术后镇痛,很少引起永久性神经并发症。我们报告一例在硬膜外/全身联合麻醉下腹部手术后发生截瘫的病例。

病例介绍

一名75岁女性因疑似子宫内膜癌接受了计划性腹式全子宫切除术及双侧输卵管卵巢切除术。在手术室,患者清醒时于T11/12置入硬膜外导管。穿刺针顺利进入,未见出血、感觉异常或疼痛,随后诱导全身麻醉。手术期间,经硬膜外导管给予4毫升0.25%左旋布比卡因和0.1毫克芬太尼,并以4毫升/小时的速度持续输注2.5微克/毫升芬太尼和0.2%左旋布比卡因溶液用于术后镇痛。患者离开手术室后迅速苏醒,双侧下肢活动自如。术后第一个晚上,她诉说下肢感觉缺失和无力。术后第二天早晨,她出现了T5以下与触觉、温度觉、针刺觉和振动觉相关的瘫痪和感觉丧失。停止硬膜外输注。磁共振成像(MRI)显示T8至T11胸段脊髓有高信号区,怀疑为脊髓梗死。观察到T11和T12之间的黄韧带骨化,导致胸段椎管狭窄和胸段脊髓受压。值得注意的是,硬膜外导管插入的部位正是存在胸段椎管狭窄的部位。

结论

硬膜外麻醉的永久性神经并发症很少见。硬膜外/脊髓麻醉后神经并发症的研究指出,存在诸如腰椎管狭窄等脊柱异常与硬膜外/脊髓麻醉后神经并发症有关。在本病例中,脊髓梗死的发生可能与导管插入现有的椎管狭窄部位巧合有关。因此,在实施硬膜外麻醉前评估下肢症状并考虑脊柱疾病很重要。对于疑似脊柱疾病的病例,术前使用计算机断层扫描或MRI识别脊柱病变可预防脊髓梗死。

https://cdn.ncbi.nlm.nih.gov/pmc/blobs/4961/6967305/effc54fb5ce1/40981_2017_109_Fig1_HTML.jpg

相似文献

1
Spinal cord infarction following epidural and general anesthesia: a case report.
JA Clin Rep. 2017;3(1):42. doi: 10.1186/s40981-017-0109-2. Epub 2017 Aug 16.
4
Spinal cord ischemia following thoracotomy without epidural anesthesia.
Can J Anaesth. 2006 Jun;53(6):551-5. doi: 10.1007/BF03021844.
9
Post-operative paraplegia following spinal cord infarction.
Acta Anaesthesiol Scand. 2002 Apr;46(4):469-72. doi: 10.1034/j.1399-6576.2002.460425.x.

引用本文的文献

2
Postoperative spinal cord infarction on a gravid woman with suspected IV drug use: a case report.
BMC Pregnancy Childbirth. 2022 Dec 7;22(1):914. doi: 10.1186/s12884-022-05157-1.
3
Postpartum Spinal Cord Infarction: A Case Report and Review of the Literature.
Medicines (Basel). 2022 Oct 31;9(11):54. doi: 10.3390/medicines9110054.
4
Regional Catheters for Postoperative Pain Control: Review and Observational Data.
Anesth Pain Med. 2020 Feb 19;10(1):e99745. doi: 10.5812/aapm.99745. eCollection 2020 Feb.

本文引用的文献

3
Recovery after spinal cord infarcts: long-term outcome in 115 patients.
Neurology. 2012 Jan 10;78(2):114-21. doi: 10.1212/WNL.0b013e31823efc93. Epub 2011 Dec 28.
4
Characteristics of spinal cord stroke in clinical neurology.
Eur Neurol. 2011;66(5):305-9. doi: 10.1159/000332616. Epub 2011 Nov 10.
6
Severe and long-lasting complications of the nerve root and spinal cord after central neuraxial blockade.
Anesth Analg. 2007 Apr;104(4):975-9. doi: 10.1213/01.ane.0000253485.75797.e7.
7
Thoracic myelopathy in Japan: epidemiological retrospective study in Miyagi Prefecture during 15 years.
Tohoku J Exp Med. 2006 Nov;210(3):199-208. doi: 10.1620/tjem.210.199.
8
Spinal cord ischemia: clinical and imaging patterns, pathogenesis, and outcomes in 27 patients.
Arch Neurol. 2006 Aug;63(8):1113-20. doi: 10.1001/archneur.63.8.1113.
9
Transient profound neurologic deficit associated with thoracic epidural analgesia in an elderly patient.
Anesthesiology. 2004 Dec;101(6):1470-1. doi: 10.1097/00000542-200412000-00031.
10
Post-operative paraplegia following spinal cord infarction.
Acta Anaesthesiol Scand. 2002 Apr;46(4):469-72. doi: 10.1034/j.1399-6576.2002.460425.x.

文献AI研究员

20分钟写一篇综述,助力文献阅读效率提升50倍。

立即体验

用中文搜PubMed

大模型驱动的PubMed中文搜索引擎

马上搜索

文档翻译

学术文献翻译模型,支持多种主流文档格式。

立即体验